The hub of my research has been and is “Membrane Proteins” (MPs), from a functional point of view (cyt b6f and C. reinhardtii) and overproduction, which remains one of the major bottlenecks in structural genomics. My work is centred on two major lines. On one side, I will participate at B. Miroux projects on the approaches for the large-scale production of membrane proteins (MPs) using mutant E. coli as host. On the other side, I will exploit my expertise on the green alga C. reinhardtii and utilise this organism for two main purposes: i) to make use of C. reinhardtii chloroplast as a green factory for MPs overproduction, ii) to elucidate the signal transduction in State Transitions.

Eukaryotic membrane proteins production in E. coli

Integral membrane proteins (MP) are difficult to produce, hampering their structural and functional studies. The most versatile, and most widely used, host in structural biology of MPs, Escherichia coli, accounts for 200 of the 440 unique X-ray and NMR MP structures found in the Protein Data Bank (PDB). Several bacterial hosts as C41(DE3) and C43(DE3) (Miroux & Walker, 1999), display a reduced basal level of T7RNApol and this increases the induction fold of the expression of the target gene. Both strains have had an important impact in the structural Biology of MP (28% of non E.coli membrane protein structures, 50% of -helical MP structures (Hattab et al. 2015)) and it has been proposed that a reduced basal level of expression of the target gene should facilitate the expression of different MPs. This finding should scope out the isolation of new mutants for large amount of MPs production.

For more information on this project see Bruno Miroux’ page.

Around Chlamydomonas reinhardtii

  • Green unicellular alga

    7-8 µm, generation time 10h, microbiology techniques

  • Facultatif phototrophe (acetate):

    * maintain of photosynthetic mutants
    * in vivo radioactive precursors incorporation

  • Accessible to genetic transformation of nucleus (aleatory recombination) and chloroplast (homologous recombination)©

  • Sexual cycle: classical genetic

  • In vivo spectroscopy/fluorescence

I am a molecular geneticist who has developed in the last 20 years a toolbox of synthetic biology techniques such as chloroplast overexpression of proteins of interest, genetics and transformation techniques. I worked out my expertise in the model organism Chlamydomonas reinhardtii, which has been for years considered the photosynthetic alter ego of yeast (Rochaix, 1995).

C. reinhardtii chloroplast as a green factory for MPs overproduction: Tuning cyanobacteria and chloroplasts for membrane proteins overexpression

Labex Dynamo founding
Collaboration with Elisabetta Bergantino, Padua University

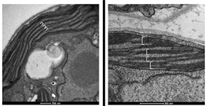
Trasmission electron microscopy of wt (A) and ATPase b subunit expressing (B) chloroplasts. Image suggest that in B the expression of subB alters the thylakoid organisation

 

We plan to overexpress in parallel a palette of MPs including ATPase b subunit to test its impact on membrane proliferation, Bacteriorhodopsin (BR) as model protein and uncoupling proteins (UCP) because they are difficult to produce in other expression systems.

Comparing both expression systems should gave some hints on codon usage, gene sequence, and membrane dynamic. This project will hopefully contribute to elucidate basic molecular mechanism of MPs production in the two organisms, which represent keystones in photosynthetic organisms evolution. In addition it will be intriguing to evaluate the degree of tolerance of thylakoid membranes to the “intrusion” of heterologous proteins.

Chloroplast synthetic biology for photosynthesis, metabolism and cell signaling

ANR Photoregul 2019-2022
Collaboration with Jean Alric, CEA Cadarache

How is the redox signal transmitted across the membrane, from the Qo site to the kinase domain ?

Photosynthetic productivity is the final frontier for improving biomass production and one way to reach the goal is exploring ways of redesigning photosynthesis (Ort et al 2015).

For such an ambitious undertaking, an integrated approach is essential, starting from the molecular level and analyzing the effects of changes at increasingly organized levels. To prove the feasibility of this approach, we have chosen to target the cytochrome b6f, which represents a limiting step for photosynthesis under non-limiting CO2 concentrations. The cyt b6f is central in the regulation of both electron and proton transfer, it is also a key regulatory point for photo-protective mechanisms such as state transitions (Dumas et al 2016, 2017, 2018; Alric et al 2015; Zito et al, 1999; Zito et al 2002; de Lacroix et al 2007).

The aim of this approach is to consolidate the information on the connection among the receptor of the signal (Subunit IV of cyt b6f complex in red in the figure), the source of the signal (Plastoquinone binding site Qo in Subunit b6) and the target of the signal (STT7 kinase) using a random mutagenesis technique. Chlamydomonas reinhardtii is our organism of choice, due to ease of transformation and genetic manipulation, we have already obtained solid evidences that cytochrome b6f complex can be randomly mutagenized and reassembled de novo, a first step towards the directed evolution of chloroplast enzymes.

References

  1. Alric J. 2015 The plastoquinone pool, poised for cyclic electron flow? Front Plant Sci. 6:540.
  2. Dumas L, Chazaux M, Peltier G, Johnson X, Alric J. (2016) Cytochrome b 6 f function and localization, phosphorylation state of thylakoid membrane proteins and consequences on cyclic electron flow. Photosynth Res. 129:307-320.
  3. Dumas L, Zito F, Blangy S, Auroy P, Johnson X, Peltier G, Alric J (2017) A stromal region of cytochrome b6f subunit IV is involved in the activation of the Stt7 kinase in Chlamydomonas PNAS 114:12063-12068.
  4. Dumas L, Zito F, Auroy P, Johnson X, Peltier G, Alric J (2018) Random mutagenesis of a Chlamydomonas chloroplast gene by error-prone PCR Plant Physiol., 77: 465-475
  5. Hattab, G, Warschawski D.E., Moncoq K, and Miroux B. (2015). «Escherichia coli as host for membrane protein structure determination: a global analysis». Scientific Reports 5 . doi:10.1038/srep12097.
  6. de Lacroix de Lavalette A, Finazzi G and Zito F. (2008) b6f-Associated chlorophyll: structural and dynamic contribution to the different cytochrome functions. Biochemistry. 47: 5259-5265.
  7. Ort DR, Merchant SS, Alric J, Barkan A, Blankenship RE, Bock R, Croce R, Hanson MR, Hibberd JM, Long SP, Moore TA, Moroney J, Niyogi KK, Parry MA, Peralta-Yahya PP, Prince RC, Redding KE, Spalding MH, van Wijk KJ, Vermaas WF, von Caemmerer S, Weber AP, Yeates TO, Yuan JS, Zhu XG. (2015) Redesigning photosynthesis to sustainably meet global food and bioenergy demand. Proc Natl Acad Sci U S A 14;112:8529-8536.
  8. Rochaix JD. (1995) Chlamydomonas reinhardtii as the photosynthetic yeast Annu Rev Genet. 29:209-230.
  9. Walker, J., and Miroux, B. (1999). Selection of Escherichia coli Hosts That Are Optimized for the Overexpression of Proteins. In Manual of Industrial Microbiology and Biotechnology, 2nd Edition (MIMB2)., (A.L. Demain and J.E. Davies)
  10. Zito F., Finazzi G., Delosme R., Nitschke W., Picot D. and Wollman F.-A. (1999) The Qo site of cytochrome b6f complexes controls the activation of the LHCII-kinase. EMBO J. 18 : 2961-2969
  11. Zito F, Vinh J., Popot J.L. and Finazzi G. (2002) Chimeric fusions of subunits IV and PetL in the b6 f complex of Chlamydomonas reinhardtii. Structural implications and Consequences on State Transitions. J. Biol. Chem. 277 : 12446-12455.

Complete bibliography

2503009 Zito 1 journal-of-theoretical-biology 50 date desc Zito 520 https://bpm.ibpc.fr/wp-content/plugins/zotpress/
%7B%22status%22%3A%22success%22%2C%22updateneeded%22%3Afalse%2C%22instance%22%3Afalse%2C%22meta%22%3A%7B%22request_last%22%3A0%2C%22request_next%22%3A0%2C%22used_cache%22%3Atrue%7D%2C%22data%22%3A%5B%7B%22key%22%3A%22PHTAURBT%22%2C%22library%22%3A%7B%22id%22%3A2503009%7D%2C%22meta%22%3A%7B%22creatorSummary%22%3A%22Kareya%20et%20al.%22%2C%22parsedDate%22%3A%222026-03-03%22%2C%22numChildren%22%3A0%7D%2C%22bib%22%3A%22%26lt%3Bdiv%20class%3D%26quot%3Bcsl-bib-body%26quot%3B%20style%3D%26quot%3Bline-height%3A%201.35%3B%20padding-left%3A%201em%3B%20text-indent%3A-1em%3B%26quot%3B%26gt%3B%5Cn%20%20%26lt%3Bdiv%20class%3D%26quot%3Bcsl-entry%26quot%3B%26gt%3BKareya%2C%20M.S.%2C%20Royes%2C%20J.%2C%20Angius%2C%20F.%2C%20Szczepaniak%2C%20F.%2C%20Boldrin%2C%20F.%2C%20Hamon%2C%20M.%2C%20Talbot%2C%20P.%2C%20Ilioaia%2C%20O.%2C%20Madigou%2C%20C.%2C%20Tribet%2C%20C.%2C%20Dehez%2C%20F.%2C%20Waltz%2C%20F.%2C%20%26lt%3Bstrong%26gt%3BZito%26lt%3B%5C%2Fstrong%26gt%3B%2C%20F.%2C%20Miroux%2C%20B.%2C%202026.%20F1F0-ATP-synthase%20subunit%20b%20head-to-head%20interactions%20shape%20intracellular%20membranes%20in%20Escherichia%20coli.%20%26lt%3Ba%20class%3D%26%23039%3Bzp-DOIURL%26%23039%3B%20href%3D%26%23039%3Bhttps%3A%5C%2F%5C%2Fdoi.org%5C%2F10.64898%5C%2F2026.03.03.708934%26%23039%3B%26gt%3Bhttps%3A%5C%2F%5C%2Fdoi.org%5C%2F10.64898%5C%2F2026.03.03.708934%26lt%3B%5C%2Fa%26gt%3B%26lt%3B%5C%2Fdiv%26gt%3B%5Cn%26lt%3B%5C%2Fdiv%26gt%3B%22%2C%22data%22%3A%7B%22itemType%22%3A%22preprint%22%2C%22title%22%3A%22F1F0-ATP-synthase%20subunit%20b%20head-to-head%20interactions%20shape%20intracellular%20membranes%20in%20Escherichia%20coli%22%2C%22creators%22%3A%5B%7B%22creatorType%22%3A%22author%22%2C%22firstName%22%3A%22Mukul%20S.%22%2C%22lastName%22%3A%22Kareya%22%7D%2C%7B%22creatorType%22%3A%22author%22%2C%22firstName%22%3A%22Jorge%22%2C%22lastName%22%3A%22Royes%22%7D%2C%7B%22creatorType%22%3A%22author%22%2C%22firstName%22%3A%22Federica%22%2C%22lastName%22%3A%22Angius%22%7D%2C%7B%22creatorType%22%3A%22author%22%2C%22firstName%22%3A%22Florence%22%2C%22lastName%22%3A%22Szczepaniak%22%7D%2C%7B%22creatorType%22%3A%22author%22%2C%22firstName%22%3A%22Francesco%22%2C%22lastName%22%3A%22Boldrin%22%7D%2C%7B%22creatorType%22%3A%22author%22%2C%22firstName%22%3A%22Marion%22%2C%22lastName%22%3A%22Hamon%22%7D%2C%7B%22creatorType%22%3A%22author%22%2C%22firstName%22%3A%22Pauline%22%2C%22lastName%22%3A%22Talbot%22%7D%2C%7B%22creatorType%22%3A%22author%22%2C%22firstName%22%3A%22Oana%22%2C%22lastName%22%3A%22Ilioaia%22%7D%2C%7B%22creatorType%22%3A%22author%22%2C%22firstName%22%3A%22C%5Cu00e9line%22%2C%22lastName%22%3A%22Madigou%22%7D%2C%7B%22creatorType%22%3A%22author%22%2C%22firstName%22%3A%22Christophe%22%2C%22lastName%22%3A%22Tribet%22%7D%2C%7B%22creatorType%22%3A%22author%22%2C%22firstName%22%3A%22Fran%5Cu00e7ois%22%2C%22lastName%22%3A%22Dehez%22%7D%2C%7B%22creatorType%22%3A%22author%22%2C%22firstName%22%3A%22Florent%22%2C%22lastName%22%3A%22Waltz%22%7D%2C%7B%22creatorType%22%3A%22author%22%2C%22firstName%22%3A%22Francesca%22%2C%22lastName%22%3A%22Zito%22%7D%2C%7B%22creatorType%22%3A%22author%22%2C%22firstName%22%3A%22Bruno%22%2C%22lastName%22%3A%22Miroux%22%7D%5D%2C%22abstractNote%22%3A%221%20Abstract%5CnIntracellular%20membrane%20%28ICM%29%20compartments%20in%20bacteria%20remain%20poorly%20understood.%20In%20Escherichia%20coli%2C%20ICMs%20form%20upon%20the%20overproduction%20of%20certain%20membrane%20proteins.%20Here%2C%20we%20investigate%20at%20the%20molecular%20level%20how%20overproduction%20of%20subunit%20b%20of%20the%20F1Fo-ATP%20synthase%20complex%20shapes%20ICMs.%20Through%20a%20combination%20of%20subunit%20b%20deletions%2C%20electron%20microscopy%2C%20and%20biochemical%20analyses%2C%20we%20demonstrate%20that%20ICMs%20network%20structuration%20is%20mediated%20by%20the%20C-terminal%20domain%20of%20subunit%20b.%20High-resolution%20cryo-electron%20tomography%20and%20molecular%20dynamics%20simulations%20reveal%20that%20this%20domain%20forms%20tetrameric%20assemblies%2C%20bridging%20membranes%20and%20maintaining%20a%20regular%2026%20nm%20spacing.%20Transcriptomic%20and%20proteomic%20analyses%20further%20show%20that%20the%20cell%20responds%20to%20ICMs%20formation%20by%20upregulating%20energy%20metabolism%20genes%20and%20the%20ESCRT-III%20homolog%20PspA%2C%20while%20downregulating%20ribosomal%20and%20translational%20machinery.%5CnThese%20results%20uncover%20a%20novel%20mechanism%20by%20which%20the%20C-terminal%20domain%20of%20subunit%20b%20drives%20the%20structuring%20of%20intracellular%20membranes.%20Additionally%2C%20they%20highlight%20how%20E.%20coli%20adapts%20to%20membrane%20stress%20by%20overexpressing%20membrane-remodeling%20proteins%2C%20a%20response%20that%20shares%20similarities%20with%20intracellular%20membrane%20homeostasis%20mechanisms%20in%20photosynthetic%20bacteria%20and%20unicellular%20algae.%22%2C%22genre%22%3A%22%22%2C%22repository%22%3A%22bioRxiv%22%2C%22archiveID%22%3A%22%22%2C%22date%22%3A%222026-03-03%22%2C%22DOI%22%3A%2210.64898%5C%2F2026.03.03.708934%22%2C%22citationKey%22%3A%22%22%2C%22url%22%3A%22https%3A%5C%2F%5C%2Fwww.biorxiv.org%5C%2Fcontent%5C%2F10.64898%5C%2F2026.03.03.708934v1%22%2C%22language%22%3A%22en%22%2C%22collections%22%3A%5B%2263TU6NVS%22%5D%2C%22dateModified%22%3A%222026-05-06T10%3A02%3A28Z%22%7D%7D%2C%7B%22key%22%3A%22YN6QPBFS%22%2C%22library%22%3A%7B%22id%22%3A2503009%7D%2C%22meta%22%3A%7B%22creatorSummary%22%3A%22Rich%5Cu00e9%20et%20al.%22%2C%22parsedDate%22%3A%222024-07-04%22%2C%22numChildren%22%3A1%7D%2C%22bib%22%3A%22%26lt%3Bdiv%20class%3D%26quot%3Bcsl-bib-body%26quot%3B%20style%3D%26quot%3Bline-height%3A%201.35%3B%20padding-left%3A%201em%3B%20text-indent%3A-1em%3B%26quot%3B%26gt%3B%5Cn%20%20%26lt%3Bdiv%20class%3D%26quot%3Bcsl-entry%26quot%3B%26gt%3BRich%26%23xE9%3B%2C%20A.%2C%20Dumas%2C%20L.%2C%20Malesinski%2C%20S.%2C%20Bossan%2C%20G.%2C%20Madigou%2C%20C.%2C%20%26lt%3Bstrong%26gt%3BZito%26lt%3B%5C%2Fstrong%26gt%3B%2C%20F.%2C%20Alric%2C%20J.%2C%202024.%20The%20stromal%20side%20of%20the%20cytochrome%20b6f%20complex%20regulates%20state%20transitions.%20Plant%20Cell%20koae190.%20%26lt%3Ba%20class%3D%26%23039%3Bzp-DOIURL%26%23039%3B%20href%3D%26%23039%3Bhttps%3A%5C%2F%5C%2Fdoi.org%5C%2F10.1093%5C%2Fplcell%5C%2Fkoae190%26%23039%3B%26gt%3Bhttps%3A%5C%2F%5C%2Fdoi.org%5C%2F10.1093%5C%2Fplcell%5C%2Fkoae190%26lt%3B%5C%2Fa%26gt%3B%26lt%3B%5C%2Fdiv%26gt%3B%5Cn%26lt%3B%5C%2Fdiv%26gt%3B%22%2C%22data%22%3A%7B%22itemType%22%3A%22journalArticle%22%2C%22title%22%3A%22The%20stromal%20side%20of%20the%20cytochrome%20b6f%20complex%20regulates%20state%20transitions%22%2C%22creators%22%3A%5B%7B%22creatorType%22%3A%22author%22%2C%22firstName%22%3A%22Alexis%22%2C%22lastName%22%3A%22Rich%5Cu00e9%22%7D%2C%7B%22creatorType%22%3A%22author%22%2C%22firstName%22%3A%22Louis%22%2C%22lastName%22%3A%22Dumas%22%7D%2C%7B%22creatorType%22%3A%22author%22%2C%22firstName%22%3A%22Soazig%22%2C%22lastName%22%3A%22Malesinski%22%7D%2C%7B%22creatorType%22%3A%22author%22%2C%22firstName%22%3A%22Guillaume%22%2C%22lastName%22%3A%22Bossan%22%7D%2C%7B%22creatorType%22%3A%22author%22%2C%22firstName%22%3A%22C%5Cu00e9line%22%2C%22lastName%22%3A%22Madigou%22%7D%2C%7B%22creatorType%22%3A%22author%22%2C%22firstName%22%3A%22Francesca%22%2C%22lastName%22%3A%22Zito%22%7D%2C%7B%22creatorType%22%3A%22author%22%2C%22firstName%22%3A%22Jean%22%2C%22lastName%22%3A%22Alric%22%7D%5D%2C%22abstractNote%22%3A%22In%20oxygenic%20photosynthesis%2C%20state%20transitions%20distribute%20light%20energy%20between%20Photosystem%20I%20and%20Photosystem%20II.%20This%20regulation%20involves%20reduction%20of%20the%20plastoquinone%20pool%2C%20activation%20of%20the%20State%20Transitions%207%20%28STT7%29%20protein%20kinase%20by%20the%20cytochrome%20b6f%20complex%2C%20and%20phosphorylation%20and%20migration%20of%20Light%20Harvesting%20Complex%20II%20%28LHCII%29.%20Here%2C%20we%20show%20that%20in%20Chlamydomonas%20reinhardtii%2C%20the%20C-terminus%20of%20the%20cyt%20b6%20subunit%20PetB%20acts%20on%20phosphorylation%20of%20STT7%20and%20state%20transitions.%20We%20used%20site-directed%20mutagenesis%20of%20the%20chloroplast%20petB%20gene%20to%20truncate%20%28remove%20L215b6%29%20or%20elongate%20%28add%20G216b6%29%20the%20cyt%20b6%20subunit.%20Modified%20complexes%20are%20devoid%20of%20heme%20ci%20and%20degraded%20by%20FTSH%20protease%2C%20revealing%20that%20salt%20bridge%20formation%20between%20cyt%20b6%20%28PetB%29%20and%20subunit%20IV%20%28PetD%29%20is%20key%20to%20the%20assembly%20of%20the%20complex.%20In%20double%20mutants%20where%20FTSH%20is%20inactivated%2C%20modified%20cyt%20b6f%20accumulated%20but%20the%20phosphorylation%20cascade%20was%20blocked.%20We%20also%20replaced%20the%20arginine%20interacting%20with%20heme%20ci%20propionate%20%28R207Kb6%29.%20In%20this%20modified%20complex%2C%20heme%20ci%20is%20present%20but%20the%20kinetics%20of%20phosphorylation%20are%20slower.%20We%20show%20that%20highly%20phosphorylated%20forms%20of%20STT7%20accumulated%20transiently%20after%20reduction%20of%20the%20PQ%20pool%20and%20represent%20the%20active%20forms%20of%20the%20protein%20kinase.%20Phosphorylation%20of%20the%20LHCII%20targets%20is%20favored%20at%20the%20expense%20of%20the%20protein%20kinase%2C%20and%20the%20migration%20of%20LHCII%20towards%20PSI%20is%20the%20limiting%20step%20for%20state%20transitions.%22%2C%22date%22%3A%222024-07-04%22%2C%22section%22%3A%22%22%2C%22partNumber%22%3A%22%22%2C%22partTitle%22%3A%22%22%2C%22DOI%22%3A%2210.1093%5C%2Fplcell%5C%2Fkoae190%22%2C%22citationKey%22%3A%22%22%2C%22url%22%3A%22%22%2C%22PMID%22%3A%2238963887%22%2C%22PMCID%22%3A%22%22%2C%22ISSN%22%3A%221532-298X%22%2C%22language%22%3A%22eng%22%2C%22collections%22%3A%5B%2263TU6NVS%22%5D%2C%22dateModified%22%3A%222024-07-16T15%3A19%3A37Z%22%7D%7D%2C%7B%22key%22%3A%2277E29BR9%22%2C%22library%22%3A%7B%22id%22%3A2503009%7D%2C%22meta%22%3A%7B%22creatorSummary%22%3A%22Royes%20et%20al.%22%2C%22parsedDate%22%3A%222022%22%2C%22numChildren%22%3A1%7D%2C%22bib%22%3A%22%26lt%3Bdiv%20class%3D%26quot%3Bcsl-bib-body%26quot%3B%20style%3D%26quot%3Bline-height%3A%201.35%3B%20padding-left%3A%201em%3B%20text-indent%3A-1em%3B%26quot%3B%26gt%3B%5Cn%20%20%26lt%3Bdiv%20class%3D%26quot%3Bcsl-entry%26quot%3B%26gt%3BRoyes%2C%20J.%2C%20Talbot%2C%20P.%2C%20Le%20Bon%2C%20C.%2C%20Moncoq%2C%20K.%2C%20Uzan%2C%20M.%2C%20%26lt%3Bstrong%26gt%3BZito%26lt%3B%5C%2Fstrong%26gt%3B%2C%20F.%2C%20Miroux%2C%20B.%2C%202022.%20Membrane%20Protein%20Production%20in%20Escherichia%20coli%3A%20Protocols%20and%20Rules.%20Methods%20Mol%20Biol%202507%2C%2019%26%23×2013%3B39.%20%26lt%3Ba%20class%3D%26%23039%3Bzp-DOIURL%26%23039%3B%20href%3D%26%23039%3Bhttps%3A%5C%2F%5C%2Fdoi.org%5C%2F10.1007%5C%2F978-1-0716-2368-8_2%26%23039%3B%26gt%3Bhttps%3A%5C%2F%5C%2Fdoi.org%5C%2F10.1007%5C%2F978-1-0716-2368-8_2%26lt%3B%5C%2Fa%26gt%3B%26lt%3B%5C%2Fdiv%26gt%3B%5Cn%26lt%3B%5C%2Fdiv%26gt%3B%22%2C%22data%22%3A%7B%22itemType%22%3A%22journalArticle%22%2C%22title%22%3A%22Membrane%20Protein%20Production%20in%20Escherichia%20coli%3A%20Protocols%20and%20Rules%22%2C%22creators%22%3A%5B%7B%22creatorType%22%3A%22author%22%2C%22firstName%22%3A%22Jordi%22%2C%22lastName%22%3A%22Royes%22%7D%2C%7B%22creatorType%22%3A%22author%22%2C%22firstName%22%3A%22Pauline%22%2C%22lastName%22%3A%22Talbot%22%7D%2C%7B%22creatorType%22%3A%22author%22%2C%22firstName%22%3A%22Christel%22%2C%22lastName%22%3A%22Le%20Bon%22%7D%2C%7B%22creatorType%22%3A%22author%22%2C%22firstName%22%3A%22Karine%22%2C%22lastName%22%3A%22Moncoq%22%7D%2C%7B%22creatorType%22%3A%22author%22%2C%22firstName%22%3A%22Marc%22%2C%22lastName%22%3A%22Uzan%22%7D%2C%7B%22creatorType%22%3A%22author%22%2C%22firstName%22%3A%22Francesca%22%2C%22lastName%22%3A%22Zito%22%7D%2C%7B%22creatorType%22%3A%22author%22%2C%22firstName%22%3A%22Bruno%22%2C%22lastName%22%3A%22Miroux%22%7D%5D%2C%22abstractNote%22%3A%22Despite%20recent%20progresses%20in%20the%20use%20of%20eukaryotic%20expression%20system%2C%20production%20of%20membrane%20proteins%20for%20structural%20studies%20still%20relies%20on%20microbial%20expression%20systems.%20In%20this%20review%2C%20we%20provide%20protocols%20to%20achieve%20high%20level%20expression%20of%20membrane%20proteins%20in%20Escherichia%20coli%2C%20especially%20using%20the%20T7%20RNA%20polymerase%20based%20expression%20system.%20From%20the%20design%20of%20the%20construct%2C%20the%20choice%20of%20the%20appropriate%20vector-host%20combination%2C%20the%20assessment%20of%20the%20bacterial%20fitness%2C%20to%20the%20selection%20of%20bacterial%20mutant%20adapted%20to%20the%20production%20of%20the%20target%20membrane%20protein%2C%20the%20chapter%20covers%20all%20necessary%20methods%20for%20a%20rapid%20optimization%20of%20a%20specific%20target%20membrane%20protein.%20In%20addition%2C%20we%20provide%20a%20protocol%20for%20membrane%20protein%20solubilization%20based%20on%20our%20recent%20analysis%20of%20the%20Protein%20Data%20Bank.%22%2C%22date%22%3A%222022%22%2C%22section%22%3A%22%22%2C%22partNumber%22%3A%22%22%2C%22partTitle%22%3A%22%22%2C%22DOI%22%3A%2210.1007%5C%2F978-1-0716-2368-8_2%22%2C%22citationKey%22%3A%22%22%2C%22url%22%3A%22%22%2C%22PMID%22%3A%2235773575%22%2C%22PMCID%22%3A%22%22%2C%22ISSN%22%3A%221940-6029%22%2C%22language%22%3A%22eng%22%2C%22collections%22%3A%5B%2263TU6NVS%22%5D%2C%22dateModified%22%3A%222022-09-26T14%3A51%3A26Z%22%7D%7D%2C%7B%22key%22%3A%224AKDNU2W%22%2C%22library%22%3A%7B%22id%22%3A2503009%7D%2C%22meta%22%3A%7B%22creatorSummary%22%3A%22Robescu%20et%20al.%22%2C%22parsedDate%22%3A%222020-05-07%22%2C%22numChildren%22%3A0%7D%2C%22bib%22%3A%22%26lt%3Bdiv%20class%3D%26quot%3Bcsl-bib-body%26quot%3B%20style%3D%26quot%3Bline-height%3A%201.35%3B%20padding-left%3A%201em%3B%20text-indent%3A-1em%3B%26quot%3B%26gt%3B%5Cn%20%20%26lt%3Bdiv%20class%3D%26quot%3Bcsl-entry%26quot%3B%26gt%3BRobescu%2C%20M.S.%2C%20Rubini%2C%20R.%2C%20Beneventi%2C%20E.%2C%20Tavanti%2C%20M.%2C%20Lonigro%2C%20C.%2C%20%26lt%3Bstrong%26gt%3BZito%26lt%3B%5C%2Fstrong%26gt%3B%2C%20F.%2C%20Filippini%2C%20F.%2C%20Cendron%2C%20L.%2C%20Bergantino%2C%20E.%2C%202020.%20From%20the%20Amelioration%20of%20a%20NADP%2B-dependent%20Formate%20Dehydrogenase%20to%20the%20Discovery%20of%20a%20New%20Enzyme%3A%20Round%20Trip%20from%20Theory%20to%20Practice.%20ChemCatChem%2012%2C%202478%26%23×2013%3B2487.%20%26lt%3Ba%20class%3D%26%23039%3Bzp-DOIURL%26%23039%3B%20href%3D%26%23039%3Bhttps%3A%5C%2F%5C%2Fdoi.org%5C%2F10.1002%5C%2Fcctc.201902089%26%23039%3B%26gt%3Bhttps%3A%5C%2F%5C%2Fdoi.org%5C%2F10.1002%5C%2Fcctc.201902089%26lt%3B%5C%2Fa%26gt%3B%26lt%3B%5C%2Fdiv%26gt%3B%5Cn%26lt%3B%5C%2Fdiv%26gt%3B%22%2C%22data%22%3A%7B%22itemType%22%3A%22journalArticle%22%2C%22title%22%3A%22From%20the%20Amelioration%20of%20a%20NADP%2B-dependent%20Formate%20Dehydrogenase%20to%20the%20Discovery%20of%20a%20New%20Enzyme%3A%20Round%20Trip%20from%20Theory%20to%20Practice%22%2C%22creators%22%3A%5B%7B%22creatorType%22%3A%22author%22%2C%22firstName%22%3A%22Marina%20Simona%22%2C%22lastName%22%3A%22Robescu%22%7D%2C%7B%22creatorType%22%3A%22author%22%2C%22firstName%22%3A%22Rudy%22%2C%22lastName%22%3A%22Rubini%22%7D%2C%7B%22creatorType%22%3A%22author%22%2C%22firstName%22%3A%22Elisa%22%2C%22lastName%22%3A%22Beneventi%22%7D%2C%7B%22creatorType%22%3A%22author%22%2C%22firstName%22%3A%22Michele%22%2C%22lastName%22%3A%22Tavanti%22%7D%2C%7B%22creatorType%22%3A%22author%22%2C%22firstName%22%3A%22Chiara%22%2C%22lastName%22%3A%22Lonigro%22%7D%2C%7B%22creatorType%22%3A%22author%22%2C%22firstName%22%3A%22Francesca%22%2C%22lastName%22%3A%22Zito%22%7D%2C%7B%22creatorType%22%3A%22author%22%2C%22firstName%22%3A%22Francesco%22%2C%22lastName%22%3A%22Filippini%22%7D%2C%7B%22creatorType%22%3A%22author%22%2C%22firstName%22%3A%22Laura%22%2C%22lastName%22%3A%22Cendron%22%7D%2C%7B%22creatorType%22%3A%22author%22%2C%22firstName%22%3A%22Elisabetta%22%2C%22lastName%22%3A%22Bergantino%22%7D%5D%2C%22abstractNote%22%3A%22Abstract%20NADP%2B-dependent%20formate%20dehydrogenases%20%28FDHs%29%20are%20biotechnologically%20relevant%20enzymes%20for%20cofactors%20regeneration%20in%20industrial%20processes%20employing%20redox%20biocatalysts.%20Their%20effective%20applicability%20is%20however%20hampered%20by%20the%20low%20cofactor%20and%20substrate%20affinities%20of%20the%20few%20enzymes%20described%20so%20far.%20After%20different%20efforts%20to%20ameliorate%20the%20previously%20studied%20GraFDH%20from%20the%20acidobacterium%20Granulicella%20mallensis%20MP5ACTX8%2C%20an%20enzyme%20having%20double%20%28NAD%2B%20and%20NADP%2B%29%20cofactor%20specificity%2C%20we%20started%20over%20our%20search%20with%20the%20advantage%20of%20hindsight.%20We%20identified%20and%20characterized%20GraFDH2%2C%20a%20novel%20highly%20active%20FDH%2C%20which%20proved%20to%20be%20a%20good%20NAD%2B-dependent%20catalyst.%20A%20rational%20engineering%20approach%20permitted%20to%20switch%20its%20cofactor%20specificity%2C%20producing%20an%20enzyme%20variant%20that%20displays%20a%2010-fold%20activity%20improvement%20over%20the%20wild-type%20enzyme%20with%20NADP%2B.%20Such%20variant%20resulted%20to%20be%20one%20of%20the%20best%20performing%20enzyme%20among%20the%20NADP%2B-dependent%20FDHs%20reported%20so%20far%20in%20terms%20of%20catalytic%20performance.%22%2C%22date%22%3A%22May%207%2C%202020%22%2C%22section%22%3A%22%22%2C%22partNumber%22%3A%22%22%2C%22partTitle%22%3A%22%22%2C%22DOI%22%3A%2210.1002%5C%2Fcctc.201902089%22%2C%22citationKey%22%3A%22%22%2C%22url%22%3A%22https%3A%5C%2F%5C%2Fchemistry-europe.onlinelibrary.wiley.com%5C%2Fdoi%5C%2Fabs%5C%2F10.1002%5C%2Fcctc.201902089%22%2C%22PMID%22%3A%22%22%2C%22PMCID%22%3A%22%22%2C%22ISSN%22%3A%221867-3880%22%2C%22language%22%3A%22%22%2C%22collections%22%3A%5B%2263TU6NVS%22%5D%2C%22dateModified%22%3A%222020-06-11T10%3A58%3A21Z%22%7D%7D%2C%7B%22key%22%3A%22W84M222H%22%2C%22library%22%3A%7B%22id%22%3A2503009%7D%2C%22meta%22%3A%7B%22creatorSummary%22%3A%22Romoli%20et%20al.%22%2C%22parsedDate%22%3A%222019%22%2C%22numChildren%22%3A1%7D%2C%22bib%22%3A%22%26lt%3Bdiv%20class%3D%26quot%3Bcsl-bib-body%26quot%3B%20style%3D%26quot%3Bline-height%3A%201.35%3B%20padding-left%3A%201em%3B%20text-indent%3A-1em%3B%26quot%3B%26gt%3B%5Cn%20%20%26lt%3Bdiv%20class%3D%26quot%3Bcsl-entry%26quot%3B%26gt%3BRomoli%2C%20O.%2C%20Mukherjee%2C%20S.%2C%20Mohid%2C%20S.A.%2C%20Dutta%2C%20A.%2C%20Montali%2C%20A.%2C%20Franzolin%2C%20E.%2C%20Brady%2C%20D.%2C%20%26lt%3Bstrong%26gt%3BZito%26lt%3B%5C%2Fstrong%26gt%3B%2C%20F.%2C%20Bergantino%2C%20E.%2C%20Rampazzo%2C%20C.%2C%20Tettamanti%2C%20G.%2C%20Bhunia%2C%20A.%2C%20Sandrelli%2C%20F.%2C%202019.%20Enhanced%20Silkworm%20Cecropin%20B%20Antimicrobial%20Activity%20against%20Pseudomonas%20aeruginosa%20from%20Single%20Amino%20Acid%20Variation.%20ACS%20Infect%20Dis%205%2C%201200%26%23×2013%3B1213.%20%26lt%3Ba%20class%3D%26%23039%3Bzp-DOIURL%26%23039%3B%20href%3D%26%23039%3Bhttps%3A%5C%2F%5C%2Fdoi.org%5C%2F10.1021%5C%2Facsinfecdis.9b00042%26%23039%3B%26gt%3Bhttps%3A%5C%2F%5C%2Fdoi.org%5C%2F10.1021%5C%2Facsinfecdis.9b00042%26lt%3B%5C%2Fa%26gt%3B%26lt%3B%5C%2Fdiv%26gt%3B%5Cn%26lt%3B%5C%2Fdiv%26gt%3B%22%2C%22data%22%3A%7B%22itemType%22%3A%22journalArticle%22%2C%22title%22%3A%22Enhanced%20Silkworm%20Cecropin%20B%20Antimicrobial%20Activity%20against%20Pseudomonas%20aeruginosa%20from%20Single%20Amino%20Acid%20Variation%22%2C%22creators%22%3A%5B%7B%22creatorType%22%3A%22author%22%2C%22firstName%22%3A%22Ottavia%22%2C%22lastName%22%3A%22Romoli%22%7D%2C%7B%22creatorType%22%3A%22author%22%2C%22firstName%22%3A%22Shruti%22%2C%22lastName%22%3A%22Mukherjee%22%7D%2C%7B%22creatorType%22%3A%22author%22%2C%22firstName%22%3A%22Sk%20Abdul%22%2C%22lastName%22%3A%22Mohid%22%7D%2C%7B%22creatorType%22%3A%22author%22%2C%22firstName%22%3A%22Arkajyoti%22%2C%22lastName%22%3A%22Dutta%22%7D%2C%7B%22creatorType%22%3A%22author%22%2C%22firstName%22%3A%22Aurora%22%2C%22lastName%22%3A%22Montali%22%7D%2C%7B%22creatorType%22%3A%22author%22%2C%22firstName%22%3A%22Elisa%22%2C%22lastName%22%3A%22Franzolin%22%7D%2C%7B%22creatorType%22%3A%22author%22%2C%22firstName%22%3A%22Daniel%22%2C%22lastName%22%3A%22Brady%22%7D%2C%7B%22creatorType%22%3A%22author%22%2C%22firstName%22%3A%22Francesca%22%2C%22lastName%22%3A%22Zito%22%7D%2C%7B%22creatorType%22%3A%22author%22%2C%22firstName%22%3A%22Elisabetta%22%2C%22lastName%22%3A%22Bergantino%22%7D%2C%7B%22creatorType%22%3A%22author%22%2C%22firstName%22%3A%22Chiara%22%2C%22lastName%22%3A%22Rampazzo%22%7D%2C%7B%22creatorType%22%3A%22author%22%2C%22firstName%22%3A%22Gianluca%22%2C%22lastName%22%3A%22Tettamanti%22%7D%2C%7B%22creatorType%22%3A%22author%22%2C%22firstName%22%3A%22Anirban%22%2C%22lastName%22%3A%22Bhunia%22%7D%2C%7B%22creatorType%22%3A%22author%22%2C%22firstName%22%3A%22Federica%22%2C%22lastName%22%3A%22Sandrelli%22%7D%5D%2C%22abstractNote%22%3A%22Pseudomonas%20aeruginosa%20is%20an%20opportunistic%20bacterial%20pathogen%20causing%20severe%20infections%20in%20hospitalized%20and%20immunosuppressed%20patients%2C%20particularly%20individuals%20affected%20by%20cystic%20fibrosis.%20Several%20clinically%20isolated%20P.%20aeruginosa%20strains%20were%20found%20to%20be%20resistant%20to%20three%20or%20more%20antimicrobial%20classes%20indicating%20the%20importance%20of%20identifying%20new%20antimicrobials%20active%20against%20this%20pathogen.%20Here%2C%20we%20characterized%20the%20antimicrobial%20activity%20and%20the%20action%20mechanisms%20against%20P.%20aeruginosa%20of%20two%20natural%20isoforms%20of%20the%20antimicrobial%20peptide%20cecropin%20B%2C%20both%20isolated%20from%20the%20silkworm%20Bombyx%20mori.%20These%20cecropin%20B%20isoforms%20differ%20in%20a%20single%20amino%20acid%20substitution%20within%20the%20active%20portion%20of%20the%20peptide%2C%20so%20that%20the%20glutamic%20acid%20of%20the%20E53%20CecB%20variant%20is%20replaced%20by%20a%20glutamine%20in%20the%20Q53%20CecB%20isoform.%20Both%20peptides%20showed%20a%20high%20antimicrobial%20and%20membranolytic%20activity%20against%20P.%20aeruginosa%2C%20with%20Q53%20CecB%20displaying%20greater%20activity%20compared%20with%20the%20E53%20CecB%20isoform.%20Biophysical%20analyses%2C%20live-cell%20NMR%2C%20and%20molecular-dynamic-simulation%20studies%20indicated%20that%20both%20peptides%20might%20act%20as%20membrane-interacting%20elements%2C%20which%20can%20disrupt%20outer-membrane%20organization%2C%20facilitating%20their%20translocation%20toward%20the%20inner%20membrane%20of%20the%20bacterial%20cell.%20Our%20data%20also%20suggest%20that%20the%20amino%20acid%20variation%20of%20the%20Q53%20CecB%20isoform%20represents%20a%20critical%20factor%20in%20stabilizing%20the%20hydrophobic%20segment%20that%20interacts%20with%20the%20bacterial%20membrane%2C%20determining%20the%20highest%20antimicrobial%20activity%20of%20the%20whole%20peptide.%20Its%20high%20stability%20to%20pH%20and%20temperature%20variations%2C%20tolerance%20to%20high%20salt%20concentrations%2C%20and%20low%20toxicity%20against%20human%20cells%20make%20Q53%20CecB%20a%20promising%20candidate%20in%20the%20development%20of%20CecB-derived%20compounds%20against%20P.%20aeruginosa.%22%2C%22date%22%3A%2207%2012%2C%202019%22%2C%22section%22%3A%22%22%2C%22partNumber%22%3A%22%22%2C%22partTitle%22%3A%22%22%2C%22DOI%22%3A%2210.1021%5C%2Facsinfecdis.9b00042%22%2C%22citationKey%22%3A%22%22%2C%22url%22%3A%22%22%2C%22PMID%22%3A%2231045339%22%2C%22PMCID%22%3A%22%22%2C%22ISSN%22%3A%222373-8227%22%2C%22language%22%3A%22eng%22%2C%22collections%22%3A%5B%2263TU6NVS%22%5D%2C%22dateModified%22%3A%222020-05-19T07%3A37%3A35Z%22%7D%7D%2C%7B%22key%22%3A%22QC8KWPJG%22%2C%22library%22%3A%7B%22id%22%3A2503009%7D%2C%22meta%22%3A%7B%22creatorSummary%22%3A%22Angius%20et%20al.%22%2C%22parsedDate%22%3A%222018-06-05%22%2C%22numChildren%22%3A1%7D%2C%22bib%22%3A%22%26lt%3Bdiv%20class%3D%26quot%3Bcsl-bib-body%26quot%3B%20style%3D%26quot%3Bline-height%3A%201.35%3B%20padding-left%3A%201em%3B%20text-indent%3A-1em%3B%26quot%3B%26gt%3B%5Cn%20%20%26lt%3Bdiv%20class%3D%26quot%3Bcsl-entry%26quot%3B%26gt%3BAngius%2C%20F.%2C%20Ilioaia%2C%20O.%2C%20Amrani%2C%20A.%2C%20Suisse%2C%20A.%2C%20Rosset%2C%20L.%2C%20Legrand%2C%20A.%2C%20Abou-Hamdan%2C%20A.%2C%20Uzan%2C%20M.%2C%20%26lt%3Bstrong%26gt%3BZito%26lt%3B%5C%2Fstrong%26gt%3B%2C%20F.%2C%20Miroux%2C%20B.%2C%202018.%20A%20novel%20regulation%20mechanism%20of%20the%20T7%20RNA%20polymerase%20based%20expression%20system%20improves%20overproduction%20and%20folding%20of%20membrane%20proteins.%20Sci%20Rep%208%2C%208572.%20%26lt%3Ba%20class%3D%26%23039%3Bzp-DOIURL%26%23039%3B%20href%3D%26%23039%3Bhttps%3A%5C%2F%5C%2Fdoi.org%5C%2F10.1038%5C%2Fs41598-018-26668-y%26%23039%3B%26gt%3Bhttps%3A%5C%2F%5C%2Fdoi.org%5C%2F10.1038%5C%2Fs41598-018-26668-y%26lt%3B%5C%2Fa%26gt%3B%26lt%3B%5C%2Fdiv%26gt%3B%5Cn%26lt%3B%5C%2Fdiv%26gt%3B%22%2C%22data%22%3A%7B%22itemType%22%3A%22journalArticle%22%2C%22title%22%3A%22A%20novel%20regulation%20mechanism%20of%20the%20T7%20RNA%20polymerase%20based%20expression%20system%20improves%20overproduction%20and%20folding%20of%20membrane%20proteins%22%2C%22creators%22%3A%5B%7B%22creatorType%22%3A%22author%22%2C%22firstName%22%3A%22Federica%22%2C%22lastName%22%3A%22Angius%22%7D%2C%7B%22creatorType%22%3A%22author%22%2C%22firstName%22%3A%22Oana%22%2C%22lastName%22%3A%22Ilioaia%22%7D%2C%7B%22creatorType%22%3A%22author%22%2C%22firstName%22%3A%22Amira%22%2C%22lastName%22%3A%22Amrani%22%7D%2C%7B%22creatorType%22%3A%22author%22%2C%22firstName%22%3A%22Annabelle%22%2C%22lastName%22%3A%22Suisse%22%7D%2C%7B%22creatorType%22%3A%22author%22%2C%22firstName%22%3A%22Lindsay%22%2C%22lastName%22%3A%22Rosset%22%7D%2C%7B%22creatorType%22%3A%22author%22%2C%22firstName%22%3A%22Am%5Cu00e9lie%22%2C%22lastName%22%3A%22Legrand%22%7D%2C%7B%22creatorType%22%3A%22author%22%2C%22firstName%22%3A%22Abbas%22%2C%22lastName%22%3A%22Abou-Hamdan%22%7D%2C%7B%22creatorType%22%3A%22author%22%2C%22firstName%22%3A%22Marc%22%2C%22lastName%22%3A%22Uzan%22%7D%2C%7B%22creatorType%22%3A%22author%22%2C%22firstName%22%3A%22Francesca%22%2C%22lastName%22%3A%22Zito%22%7D%2C%7B%22creatorType%22%3A%22author%22%2C%22firstName%22%3A%22Bruno%22%2C%22lastName%22%3A%22Miroux%22%7D%5D%2C%22abstractNote%22%3A%22Membrane%20protein%20%28MP%29%20overproduction%20is%20one%20of%20the%20major%20bottlenecks%20in%20structural%20genomics%20and%20biotechnology.%20Despite%20the%20emergence%20of%20eukaryotic%20expression%20systems%2C%20bacteria%20remain%20a%20cost%20effective%20and%20powerful%20tool%20for%20protein%20production.%20The%20T7%20RNA%20polymerase%20%28T7RNAP%29-based%20expression%20system%20is%20a%20successful%20and%20efficient%20expression%20system%2C%20which%20achieves%20high-level%20production%20of%20proteins.%20However%20some%20foreign%20MPs%20require%20a%20fine-tuning%20of%20their%20expression%20to%20minimize%20the%20toxicity%20associated%20with%20their%20production.%20Here%20we%20report%20a%20novel%20regulation%20mechanism%20for%20the%20T7%20expression%20system.%20We%20have%20isolated%20two%20bacterial%20hosts%2C%20namely%20C44%28DE3%29%20and%20C45%28DE3%29%2C%20harboring%20a%20stop%20codon%20in%20the%20T7RNAP%20gene%2C%20whose%20translation%20is%20under%20the%20control%20of%20the%20basal%20nonsense%20suppressive%20activity%20of%20the%20BL21%28DE3%29%20host.%20Evaluation%20of%20hosts%20with%20superfolder%20green%20fluorescent%20protein%20%28sfGFP%29%20revealed%20an%20unprecedented%20tighter%20control%20of%20transgene%20expression%20with%20a%20marked%20accumulation%20of%20the%20recombinant%20protein%20during%20stationary%20phase.%20Analysis%20of%20a%20collection%20of%20twenty%20MP%20fused%20to%20GFP%20showed%20an%20improved%20production%20yield%20and%20quality%20of%20several%20bacterial%20MPs%20and%20of%20one%20human%20monotopic%20MP.%20These%20mutant%20hosts%20are%20complementary%20to%20the%20other%20existing%20T7%20hosts%20and%20will%20increase%20the%20versatility%20of%20the%20T7%20expression%20system.%22%2C%22date%22%3A%22Jun%2005%2C%202018%22%2C%22section%22%3A%22%22%2C%22partNumber%22%3A%22%22%2C%22partTitle%22%3A%22%22%2C%22DOI%22%3A%2210.1038%5C%2Fs41598-018-26668-y%22%2C%22citationKey%22%3A%22%22%2C%22url%22%3A%22%22%2C%22PMID%22%3A%2229872064%22%2C%22PMCID%22%3A%22%22%2C%22ISSN%22%3A%222045-2322%22%2C%22language%22%3A%22eng%22%2C%22collections%22%3A%5B%2263TU6NVS%22%5D%2C%22dateModified%22%3A%222020-06-11T10%3A44%3A36Z%22%7D%7D%2C%7B%22key%22%3A%22TXEKBIXX%22%2C%22library%22%3A%7B%22id%22%3A2503009%7D%2C%22meta%22%3A%7B%22creatorSummary%22%3A%22Dumas%20et%20al.%22%2C%22parsedDate%22%3A%222018-01-01%22%2C%22numChildren%22%3A1%7D%2C%22bib%22%3A%22%26lt%3Bdiv%20class%3D%26quot%3Bcsl-bib-body%26quot%3B%20style%3D%26quot%3Bline-height%3A%201.35%3B%20padding-left%3A%201em%3B%20text-indent%3A-1em%3B%26quot%3B%26gt%3B%5Cn%20%20%26lt%3Bdiv%20class%3D%26quot%3Bcsl-entry%26quot%3B%26gt%3BDumas%2C%20L.%2C%20%26lt%3Bstrong%26gt%3BZito%26lt%3B%5C%2Fstrong%26gt%3B%2C%20F.%2C%20Auroy%2C%20P.%2C%20Johnson%2C%20X.%2C%20Peltier%2C%20G.%2C%20Alric%2C%20J.%2C%202018.%20Structure-function%20analysis%20of%20chloroplast%20proteins%20via%20random%20mutagenesis%20using%20error-prone%20PCR.%20Plant%20Physiology%20177%2C%20465%26%23×2013%3B475.%20%26lt%3Ba%20class%3D%26%23039%3Bzp-DOIURL%26%23039%3B%20href%3D%26%23039%3Bhttps%3A%5C%2F%5C%2Fdoi.org%5C%2F10.1104%5C%2Fpp.17.01618%26%23039%3B%26gt%3Bhttps%3A%5C%2F%5C%2Fdoi.org%5C%2F10.1104%5C%2Fpp.17.01618%26lt%3B%5C%2Fa%26gt%3B%26lt%3B%5C%2Fdiv%26gt%3B%5Cn%26lt%3B%5C%2Fdiv%26gt%3B%22%2C%22data%22%3A%7B%22itemType%22%3A%22journalArticle%22%2C%22title%22%3A%22Structure-function%20analysis%20of%20chloroplast%20proteins%20via%20random%20mutagenesis%20using%20error-prone%20PCR%22%2C%22creators%22%3A%5B%7B%22creatorType%22%3A%22author%22%2C%22firstName%22%3A%22Louis%22%2C%22lastName%22%3A%22Dumas%22%7D%2C%7B%22creatorType%22%3A%22author%22%2C%22firstName%22%3A%22Francesca%22%2C%22lastName%22%3A%22Zito%22%7D%2C%7B%22creatorType%22%3A%22author%22%2C%22firstName%22%3A%22Pascaline%22%2C%22lastName%22%3A%22Auroy%22%7D%2C%7B%22creatorType%22%3A%22author%22%2C%22firstName%22%3A%22Xenie%22%2C%22lastName%22%3A%22Johnson%22%7D%2C%7B%22creatorType%22%3A%22author%22%2C%22firstName%22%3A%22Gilles%22%2C%22lastName%22%3A%22Peltier%22%7D%2C%7B%22creatorType%22%3A%22author%22%2C%22firstName%22%3A%22Jean%22%2C%22lastName%22%3A%22Alric%22%7D%5D%2C%22abstractNote%22%3A%22Site-directed%20mutagenesis%20of%20chloroplast%20genes%20was%20developed%20three%20decades%20ago%20and%20has%20greatly%20advanced%20the%20field%20of%20photosynthesis%20research.%20Here%2C%20we%20describe%20a%20new%20approach%20for%20generating%20random%20chloroplast%20gene%20mutants%20that%20combines%20error-prone%20PCR%20of%20a%20gene%20of%20interest%20with%20chloroplast%20complementation%20of%20the%20knock-out%20Chlamydomonas%20reinhardtii%20mutant.%20As%20a%20proof-of-concept%2C%20we%20targeted%20a%20300-bp%20sequence%20of%20the%20petD%20gene%2C%20which%20encodes%20subunit%20IV%20of%20the%20thylakoid%20membrane-bound%20cytochrome%20b6f%20complex.%20By%20sequencing%20chloroplast%20transformants%2C%20we%20revealed%20149%20mutations%20in%20the%20300-bp%20target%20petD%20sequence%20that%20resulted%20in%2092%20amino%20acid%20substitutions%20in%20the%20100-residue%20target%20subunit%20IV%20sequence.%20Our%20results%20show%20that%20this%20method%20is%20suited%20to%20the%20study%20of%20highly%20hydrophobic%2C%20multi-subunit%20and%20chloroplast-encoded%20proteins%20containing%20cofactors%20such%20as%20hemes%2C%20iron-sulfur%20clusters%20and%20chlorophyll%20pigments.%20Moreover%2C%20we%20show%20that%20mutant%20screening%20and%20sequencing%20can%20be%20used%20to%20study%20photosynthetic%20mechanisms%20or%20probe%20the%20mutational%20robustness%20of%20chloroplast-encoded%20proteins%2C%20and%20propose%20that%20this%20method%20is%20a%20valuable%20tool%20for%20the%20directed%20evolution%20of%20enzymes%20in%20the%20chloroplast.%22%2C%22date%22%3A%222018%5C%2F01%5C%2F01%22%2C%22section%22%3A%22%22%2C%22partNumber%22%3A%22%22%2C%22partTitle%22%3A%22%22%2C%22DOI%22%3A%2210.1104%5C%2Fpp.17.01618%22%2C%22citationKey%22%3A%22%22%2C%22url%22%3A%22http%3A%5C%2F%5C%2Fwww.plantphysiol.org%5C%2Fcontent%5C%2Fearly%5C%2F2018%5C%2F04%5C%2F27%5C%2Fpp.17.01618%22%2C%22PMID%22%3A%2229703866%22%2C%22PMCID%22%3A%22%22%2C%22ISSN%22%3A%220032-0889%2C%201532-2548%22%2C%22language%22%3A%22en%22%2C%22collections%22%3A%5B%2263TU6NVS%22%5D%2C%22dateModified%22%3A%222020-06-11T10%3A50%3A01Z%22%7D%7D%2C%7B%22key%22%3A%22I9EAATJR%22%2C%22library%22%3A%7B%22id%22%3A2503009%7D%2C%22meta%22%3A%7B%22creatorSummary%22%3A%22Dumas%20et%20al.%22%2C%22parsedDate%22%3A%222017-10-24%22%2C%22numChildren%22%3A0%7D%2C%22bib%22%3A%22%26lt%3Bdiv%20class%3D%26quot%3Bcsl-bib-body%26quot%3B%20style%3D%26quot%3Bline-height%3A%201.35%3B%20padding-left%3A%201em%3B%20text-indent%3A-1em%3B%26quot%3B%26gt%3B%5Cn%20%20%26lt%3Bdiv%20class%3D%26quot%3Bcsl-entry%26quot%3B%26gt%3BDumas%2C%20L.%2C%20%26lt%3Bstrong%26gt%3BZito%26lt%3B%5C%2Fstrong%26gt%3B%2C%20F.%2C%20Blangy%2C%20S.%2C%20Auroy%2C%20P.%2C%20Johnson%2C%20X.%2C%20Peltier%2C%20G.%2C%20Alric%2C%20J.%2C%202017.%20A%20stromal%20region%20of%20cytochrome%20b6f%20subunit%20IV%20is%20involved%20in%20the%20activation%20of%20the%20Stt7%20kinase%20in%20Chlamydomonas.%20PNAS%20201713343.%20%26lt%3Ba%20class%3D%26%23039%3Bzp-DOIURL%26%23039%3B%20href%3D%26%23039%3Bhttps%3A%5C%2F%5C%2Fdoi.org%5C%2F10.1073%5C%2Fpnas.1713343114%26%23039%3B%26gt%3Bhttps%3A%5C%2F%5C%2Fdoi.org%5C%2F10.1073%5C%2Fpnas.1713343114%26lt%3B%5C%2Fa%26gt%3B%26lt%3B%5C%2Fdiv%26gt%3B%5Cn%26lt%3B%5C%2Fdiv%26gt%3B%22%2C%22data%22%3A%7B%22itemType%22%3A%22journalArticle%22%2C%22title%22%3A%22A%20stromal%20region%20of%20cytochrome%20b6f%20subunit%20IV%20is%20involved%20in%20the%20activation%20of%20the%20Stt7%20kinase%20in%20Chlamydomonas%22%2C%22creators%22%3A%5B%7B%22creatorType%22%3A%22author%22%2C%22firstName%22%3A%22Louis%22%2C%22lastName%22%3A%22Dumas%22%7D%2C%7B%22creatorType%22%3A%22author%22%2C%22firstName%22%3A%22Francesca%22%2C%22lastName%22%3A%22Zito%22%7D%2C%7B%22creatorType%22%3A%22author%22%2C%22firstName%22%3A%22St%5Cu00e9phanie%22%2C%22lastName%22%3A%22Blangy%22%7D%2C%7B%22creatorType%22%3A%22author%22%2C%22firstName%22%3A%22Pascaline%22%2C%22lastName%22%3A%22Auroy%22%7D%2C%7B%22creatorType%22%3A%22author%22%2C%22firstName%22%3A%22Xenie%22%2C%22lastName%22%3A%22Johnson%22%7D%2C%7B%22creatorType%22%3A%22author%22%2C%22firstName%22%3A%22Gilles%22%2C%22lastName%22%3A%22Peltier%22%7D%2C%7B%22creatorType%22%3A%22author%22%2C%22firstName%22%3A%22Jean%22%2C%22lastName%22%3A%22Alric%22%7D%5D%2C%22abstractNote%22%3A%22The%20cytochrome%20%28cyt%29%20b6f%20complex%20and%20Stt7%20kinase%20regulate%20the%20antenna%20sizes%20of%20photosystems%20I%20and%20II%20through%20state%20transitions%2C%20which%20are%20mediated%20by%20a%20reversible%20phosphorylation%20of%20light%20harvesting%20complexes%20II%2C%20depending%20on%20the%20redox%20state%20of%20the%20plastoquinone%20pool.%20When%20the%20pool%20is%20reduced%2C%20the%20cyt%20b6f%20activates%20the%20Stt7%20kinase%20through%20a%20mechanism%20that%20is%20still%20poorly%20understood.%20After%20random%20mutagenesis%20of%20the%20chloroplast%20petD%20gene%2C%20coding%20for%20subunit%20IV%20of%20the%20cyt%20b6f%20complex%2C%20and%20complementation%20of%20a%20%5Cu0394petD%20host%20strain%20by%20chloroplast%20transformation%2C%20we%20screened%20for%20impaired%20state%20transitions%20in%20vivo%20by%20chlorophyll%20fluorescence%20imaging.%20We%20show%20that%20residues%20Asn122%2C%20Tyr124%2C%20and%20Arg125%20in%20the%20stromal%20loop%20linking%20helices%20F%20and%20G%20of%20cyt%20b6f%20subunit%20IV%20are%20crucial%20for%20state%20transitions.%20In%20vitro%20reconstitution%20experiments%20with%20purified%20cyt%20b6f%20and%20recombinant%20Stt7%20kinase%20domain%20show%20that%20cyt%20b6f%20enhances%20Stt7%20autophosphorylation%20and%20that%20the%20Arg125%20residue%20is%20directly%20involved%20in%20this%20process.%20The%20peripheral%20stromal%20structure%20of%20the%20cyt%20b6f%20complex%20had%2C%20until%20now%2C%20no%20reported%20function.%20Evidence%20is%20now%20provided%20of%20a%20direct%20interaction%20with%20Stt7%20on%20the%20stromal%20side%20of%20the%20membrane.%22%2C%22date%22%3A%222017-10-24%22%2C%22section%22%3A%22%22%2C%22partNumber%22%3A%22%22%2C%22partTitle%22%3A%22%22%2C%22DOI%22%3A%2210.1073%5C%2Fpnas.1713343114%22%2C%22citationKey%22%3A%22%22%2C%22url%22%3A%22http%3A%5C%2F%5C%2Fwww.pnas.org%5C%2Fcontent%5C%2Fearly%5C%2F2017%5C%2F10%5C%2F23%5C%2F1713343114%22%2C%22PMID%22%3A%22%22%2C%22PMCID%22%3A%22%22%2C%22ISSN%22%3A%220027-8424%2C%201091-6490%22%2C%22language%22%3A%22en%22%2C%22collections%22%3A%5B%2263TU6NVS%22%5D%2C%22dateModified%22%3A%222020-06-11T10%3A50%3A08Z%22%7D%7D%2C%7B%22key%22%3A%224RKKNIQM%22%2C%22library%22%3A%7B%22id%22%3A2503009%7D%2C%22meta%22%3A%7B%22creatorSummary%22%3A%22Zito%22%2C%22parsedDate%22%3A%222016-09%22%2C%22numChildren%22%3A1%7D%2C%22bib%22%3A%22%26lt%3Bdiv%20class%3D%26quot%3Bcsl-bib-body%26quot%3B%20style%3D%26quot%3Bline-height%3A%201.35%3B%20padding-left%3A%201em%3B%20text-indent%3A-1em%3B%26quot%3B%26gt%3B%5Cn%20%20%26lt%3Bdiv%20class%3D%26quot%3Bcsl-entry%26quot%3B%26gt%3B%26lt%3Bstrong%26gt%3BZito%26lt%3B%5C%2Fstrong%26gt%3B%2C%20F.%2C%202016.%20Silent%20or%20Not%20Silent%3F%20Consequences%20of%20the%20Human%20mt-cyb%20Polymorphism.%20Hum.%20Mutat.%2037%2C%20833.%20%26lt%3Ba%20class%3D%26%23039%3Bzp-DOIURL%26%23039%3B%20href%3D%26%23039%3Bhttps%3A%5C%2F%5C%2Fdoi.org%5C%2F10.1002%5C%2Fhumu.22885%26%23039%3B%26gt%3Bhttps%3A%5C%2F%5C%2Fdoi.org%5C%2F10.1002%5C%2Fhumu.22885%26lt%3B%5C%2Fa%26gt%3B%26lt%3B%5C%2Fdiv%26gt%3B%5Cn%26lt%3B%5C%2Fdiv%26gt%3B%22%2C%22data%22%3A%7B%22itemType%22%3A%22journalArticle%22%2C%22title%22%3A%22Silent%20or%20Not%20Silent%3F%20Consequences%20of%20the%20Human%20mt-cyb%20Polymorphism%22%2C%22creators%22%3A%5B%7B%22creatorType%22%3A%22author%22%2C%22firstName%22%3A%22Francesca%22%2C%22lastName%22%3A%22Zito%22%7D%5D%2C%22abstractNote%22%3A%22%22%2C%22date%22%3A%22Sep%202016%22%2C%22section%22%3A%22%22%2C%22partNumber%22%3A%22%22%2C%22partTitle%22%3A%22%22%2C%22DOI%22%3A%2210.1002%5C%2Fhumu.22885%22%2C%22citationKey%22%3A%22%22%2C%22url%22%3A%22%22%2C%22PMID%22%3A%2227516124%22%2C%22PMCID%22%3A%22%22%2C%22ISSN%22%3A%221098-1004%22%2C%22language%22%3A%22eng%22%2C%22collections%22%3A%5B%2263TU6NVS%22%5D%2C%22dateModified%22%3A%222020-05-19T14%3A03%3A01Z%22%7D%7D%2C%7B%22key%22%3A%22UW9GQET6%22%2C%22library%22%3A%7B%22id%22%3A2503009%7D%2C%22meta%22%3A%7B%22creatorSummary%22%3A%22Zito%20and%20Alric%22%2C%22parsedDate%22%3A%222016%22%2C%22numChildren%22%3A0%7D%2C%22bib%22%3A%22%26lt%3Bdiv%20class%3D%26quot%3Bcsl-bib-body%26quot%3B%20style%3D%26quot%3Bline-height%3A%201.35%3B%20padding-left%3A%201em%3B%20text-indent%3A-1em%3B%26quot%3B%26gt%3B%5Cn%20%20%26lt%3Bdiv%20class%3D%26quot%3Bcsl-entry%26quot%3B%26gt%3B%26lt%3Bstrong%26gt%3BZito%26lt%3B%5C%2Fstrong%26gt%3B%2C%20F.%2C%20Alric%2C%20J.%2C%202016.%20Heme%20ci%20or%20cn%20of%20the%20Cytochrome%20b6f%20Complex%2C%20A%20Short%20Retrospective%2C%20in%3A%20Cytochrome%20Complexes%3A%20Evolution%2C%20Structures%2C%20Energy%20Transduction%2C%20and%20Signaling%2C%20Advances%20in%20Photosynthesis%20and%20Respiration.%20Springer%2C%20Dordrecht%2C%20pp.%20295%26%23×2013%3B306.%20%26lt%3Ba%20class%3D%26%23039%3Bzp-DOIURL%26%23039%3B%20href%3D%26%23039%3Bhttps%3A%5C%2F%5C%2Fdoi.org%5C%2F10.1007%5C%2F978-94-017-7481-9_15%26%23039%3B%26gt%3Bhttps%3A%5C%2F%5C%2Fdoi.org%5C%2F10.1007%5C%2F978-94-017-7481-9_15%26lt%3B%5C%2Fa%26gt%3B%26lt%3B%5C%2Fdiv%26gt%3B%5Cn%26lt%3B%5C%2Fdiv%26gt%3B%22%2C%22data%22%3A%7B%22itemType%22%3A%22bookSection%22%2C%22title%22%3A%22Heme%20ci%20or%20cn%20of%20the%20Cytochrome%20b6f%20Complex%2C%20A%20Short%20Retrospective%22%2C%22creators%22%3A%5B%7B%22creatorType%22%3A%22author%22%2C%22firstName%22%3A%22Francesca%22%2C%22lastName%22%3A%22Zito%22%7D%2C%7B%22creatorType%22%3A%22author%22%2C%22firstName%22%3A%22Jean%22%2C%22lastName%22%3A%22Alric%22%7D%5D%2C%22abstractNote%22%3A%22SummaryThe%20unexpected%20existence%20of%20heme%20ci%20%28or%20cn%29%20of%20cytochrome%20b6f%20complex%20was%20revealed%20to%20the%20scientific%20community%20in%20Spring%202003%20at%20the%20Gordon%20Bioenergetics%20conference%2C%20taking%20place%20at%20Kimball%20Union%20Academy%2C%20NH%2C%20USA.%20The%20three-dimensional%20structures%20of%20the%20complex%20were%20published%20back-to-back%20by%20two%20independent%20groups%20in%20Fall%202003%20%28Kurisu%20et%20al.%20Science%20302%3A1009%5Cu20131014%2C%202003%3B%20Stroebel%20et%20al.%20Nature%20426%3A413%5Cu2013418%2C%202003%29.%20Further%20information%20about%20the%20physico-chemical%20properties%20of%20this%20unusual%20heme%20was%20gathered%20in%20the%20following%20years.%20Here%20we%20shall%20re-examine%20early%20evidence%20for%20the%20presence%20of%20this%20unusual%20cytochrome%2C%20originally%20called%20G%20%28Lavergne.%20Biochim%20Biophys%20Acta%20725%3A25%5Cu201333%2C%201983%3B%20Joliot%20and%20Joliot.%20Biochim%20Biophys%20Acta%20933%3A319%5Cu2013333%2C%201988%29%2C%20which%20show%20the%20role%20that%20heme%20ci%20plays%20in%20electron%20transfer%20in%20the%20cytochrome%20b6f%20complex.%22%2C%22bookTitle%22%3A%22Cytochrome%20Complexes%3A%20Evolution%2C%20Structures%2C%20Energy%20Transduction%2C%20and%20Signaling%22%2C%22date%22%3A%222016%22%2C%22originalDate%22%3A%22%22%2C%22originalPublisher%22%3A%22%22%2C%22originalPlace%22%3A%22%22%2C%22format%22%3A%22%22%2C%22ISBN%22%3A%22978-94-017-7479-6%20978-94-017-7481-9%22%2C%22DOI%22%3A%2210.1007%5C%2F978-94-017-7481-9_15%22%2C%22citationKey%22%3A%22%22%2C%22url%22%3A%22https%3A%5C%2F%5C%2Flink.springer.com%5C%2Fchapter%5C%2F10.1007%5C%2F978-94-017-7481-9_15%22%2C%22ISSN%22%3A%22%22%2C%22language%22%3A%22en%22%2C%22collections%22%3A%5B%2263TU6NVS%22%5D%2C%22dateModified%22%3A%222020-05-19T14%3A02%3A58Z%22%7D%7D%2C%7B%22key%22%3A%22YCRHU6V2%22%2C%22library%22%3A%7B%22id%22%3A2503009%7D%2C%22meta%22%3A%7B%22creatorSummary%22%3A%22Arnold%20et%20al.%22%2C%22parsedDate%22%3A%222015-01%22%2C%22numChildren%22%3A1%7D%2C%22bib%22%3A%22%26lt%3Bdiv%20class%3D%26quot%3Bcsl-bib-body%26quot%3B%20style%3D%26quot%3Bline-height%3A%201.35%3B%20padding-left%3A%201em%3B%20text-indent%3A-1em%3B%26quot%3B%26gt%3B%5Cn%20%20%26lt%3Bdiv%20class%3D%26quot%3Bcsl-entry%26quot%3B%26gt%3BArnold%2C%20A.A.%2C%20Genard%2C%20B.%2C%20%26lt%3Bstrong%26gt%3BZito%26lt%3B%5C%2Fstrong%26gt%3B%2C%20F.%2C%20Tremblay%2C%20R.%2C%20Warschawski%2C%20D.E.%2C%20Marcotte%2C%20I.%2C%202015.%20Identification%20of%20lipid%20and%20saccharide%20constituents%20of%20whole%20microalgal%20cells%20by%20%26lt%3Bsup%26gt%3B1%26lt%3B%5C%2Fsup%26gt%3B%26lt%3Bsup%26gt%3B3%26lt%3B%5C%2Fsup%26gt%3BC%20solid-state%20NMR.%20Biochim.%20Biophys.%20Acta%201848%2C%20369%26%23×2013%3B377.%20%26lt%3Ba%20class%3D%26%23039%3Bzp-DOIURL%26%23039%3B%20href%3D%26%23039%3Bhttps%3A%5C%2F%5C%2Fdoi.org%5C%2F10.1016%5C%2Fj.bbamem.2014.07.017%26%23039%3B%26gt%3Bhttps%3A%5C%2F%5C%2Fdoi.org%5C%2F10.1016%5C%2Fj.bbamem.2014.07.017%26lt%3B%5C%2Fa%26gt%3B%26lt%3B%5C%2Fdiv%26gt%3B%5Cn%26lt%3B%5C%2Fdiv%26gt%3B%22%2C%22data%22%3A%7B%22itemType%22%3A%22journalArticle%22%2C%22title%22%3A%22Identification%20of%20lipid%20and%20saccharide%20constituents%20of%20whole%20microalgal%20cells%20by%20%5Cu00b9%5Cu00b3C%20solid-state%20NMR%22%2C%22creators%22%3A%5B%7B%22creatorType%22%3A%22author%22%2C%22firstName%22%3A%22Alexandre%20A.%22%2C%22lastName%22%3A%22Arnold%22%7D%2C%7B%22creatorType%22%3A%22author%22%2C%22firstName%22%3A%22Bertrand%22%2C%22lastName%22%3A%22Genard%22%7D%2C%7B%22creatorType%22%3A%22author%22%2C%22firstName%22%3A%22Francesca%22%2C%22lastName%22%3A%22Zito%22%7D%2C%7B%22creatorType%22%3A%22author%22%2C%22firstName%22%3A%22R%5Cu00e9jean%22%2C%22lastName%22%3A%22Tremblay%22%7D%2C%7B%22creatorType%22%3A%22author%22%2C%22firstName%22%3A%22Dror%20E.%22%2C%22lastName%22%3A%22Warschawski%22%7D%2C%7B%22creatorType%22%3A%22author%22%2C%22firstName%22%3A%22Isabelle%22%2C%22lastName%22%3A%22Marcotte%22%7D%5D%2C%22abstractNote%22%3A%22Microalgae%20are%20unicellular%20organisms%20in%20which%20plasma%20membrane%20is%20protected%20by%20a%20complex%20cell%20wall.%20The%20chemical%20nature%20of%20this%20barrier%20is%20important%20not%20only%20for%20taxonomic%20identification%2C%20but%20also%20for%20interactions%20with%20exogenous%20molecules%20such%20as%20contaminants.%20In%20this%20work%2C%20we%20have%20studied%20freshwater%20%28Chlamydomonas%20reinhardtii%29%20and%20marine%20%28Pavlova%20lutheri%20and%20Nannochloropsis%20oculata%29%20microalgae%20with%20different%20cell%20wall%20characteristics.%20C.%20reinhardtii%20is%20covered%20by%20a%20network%20of%20fibrils%20and%20glycoproteins%2C%20while%20P.%20lutheri%20is%20protected%20by%20small%20cellulose%20scales%2C%20and%20the%20picoplankton%20N.%20oculata%20by%20a%20rigid%20cellulose%20wall.%20The%20objective%20of%20this%20work%20was%20to%20determine%20to%20what%20extent%20the%20different%20components%20of%20these%20microorganisms%20%28proteins%2C%20carbohydrates%2C%20lipids%29%20can%20be%20distinguished%20by%20%5Cu00b9%5Cu00b3C%20solid-state%20NMR%20with%20an%20emphasis%20on%20isolating%20the%20signature%20of%20their%20cell%20walls%20and%20membrane%20lipid%20constituents.%20By%20using%20NMR%20experiments%20which%20select%20rigid%20or%20mobile%20zones%2C%20as%20well%20as%20%5Cu00b9%5Cu00b3C-enriched%20microalgal%20cells%2C%20we%20improved%20the%20spectral%20resolution%20and%20simplified%20the%20highly%20crowded%20spectra.%20Interspecies%20differences%20in%20cell%20wall%20constituents%2C%20storage%20sugars%20and%20membrane%20lipid%20compositions%20were%20thus%20evidenced.%20Carbohydrates%20from%20the%20cell%20walls%20could%20be%20distinguished%20from%20those%20incorporated%20into%20sugar%20reserves%20or%20glycolipids.%20Lipids%20from%20the%20plasmalemma%20and%20organelle%20membranes%20and%20from%20storage%20vacuoles%20could%20also%20be%20identified.%20This%20work%20establishes%20a%20basis%20for%20a%20complete%20characterization%20of%20phytoplankton%20cells%20by%20solid-state%20NMR.%22%2C%22date%22%3A%22Jan%202015%22%2C%22section%22%3A%22%22%2C%22partNumber%22%3A%22%22%2C%22partTitle%22%3A%22%22%2C%22DOI%22%3A%2210.1016%5C%2Fj.bbamem.2014.07.017%22%2C%22citationKey%22%3A%22%22%2C%22url%22%3A%22%22%2C%22PMID%22%3A%2225065670%22%2C%22PMCID%22%3A%22%22%2C%22ISSN%22%3A%220006-3002%22%2C%22language%22%3A%22eng%22%2C%22collections%22%3A%5B%2263TU6NVS%22%5D%2C%22dateModified%22%3A%222020-06-11T10%3A45%3A03Z%22%7D%7D%2C%7B%22key%22%3A%22FWJDKN29%22%2C%22library%22%3A%7B%22id%22%3A2503009%7D%2C%22meta%22%3A%7B%22creatorSummary%22%3A%22Arnold%20et%20al.%22%2C%22parsedDate%22%3A%222014-01-28%22%2C%22numChildren%22%3A0%7D%2C%22bib%22%3A%22%26lt%3Bdiv%20class%3D%26quot%3Bcsl-bib-body%26quot%3B%20style%3D%26quot%3Bline-height%3A%201.35%3B%20padding-left%3A%201em%3B%20text-indent%3A-1em%3B%26quot%3B%26gt%3B%5Cn%20%20%26lt%3Bdiv%20class%3D%26quot%3Bcsl-entry%26quot%3B%26gt%3BArnold%2C%20A.A.%2C%20Genard%2C%20B.%2C%20Silva%2C%20A.L.D.A.G.D.%2C%20Tremblay%2C%20R.%2C%20Warschawski%2C%20D.E.%2C%20%26lt%3Bstrong%26gt%3BZito%26lt%3B%5C%2Fstrong%26gt%3B%2C%20F.%2C%20Marcotte%2C%20I.%2C%202014.%20Screening%20the%20Dynamics%20of%20Membrane%20Constituents%20in%20Intact%20Microalgal%20Cells%20by%20Solid-State%20NMR.%20Biophysical%20Journal%20106%2C%20508a.%20%26lt%3Ba%20class%3D%26%23039%3Bzp-DOIURL%26%23039%3B%20href%3D%26%23039%3Bhttps%3A%5C%2F%5C%2Fdoi.org%5C%2F10.1016%5C%2Fj.bpj.2013.11.2842%26%23039%3B%26gt%3Bhttps%3A%5C%2F%5C%2Fdoi.org%5C%2F10.1016%5C%2Fj.bpj.2013.11.2842%26lt%3B%5C%2Fa%26gt%3B%26lt%3B%5C%2Fdiv%26gt%3B%5Cn%26lt%3B%5C%2Fdiv%26gt%3B%22%2C%22data%22%3A%7B%22itemType%22%3A%22journalArticle%22%2C%22title%22%3A%22Screening%20the%20Dynamics%20of%20Membrane%20Constituents%20in%20Intact%20Microalgal%20Cells%20by%20Solid-State%20NMR%22%2C%22creators%22%3A%5B%7B%22creatorType%22%3A%22author%22%2C%22firstName%22%3A%22Alexandre%20A.%22%2C%22lastName%22%3A%22Arnold%22%7D%2C%7B%22creatorType%22%3A%22author%22%2C%22firstName%22%3A%22Bertrand%22%2C%22lastName%22%3A%22Genard%22%7D%2C%7B%22creatorType%22%3A%22author%22%2C%22firstName%22%3A%22Andre%20L.%20D.%20A.%20G.%20Da%22%2C%22lastName%22%3A%22Silva%22%7D%2C%7B%22creatorType%22%3A%22author%22%2C%22firstName%22%3A%22R%5Cu00e9jean%22%2C%22lastName%22%3A%22Tremblay%22%7D%2C%7B%22creatorType%22%3A%22author%22%2C%22firstName%22%3A%22Dror%20E.%22%2C%22lastName%22%3A%22Warschawski%22%7D%2C%7B%22creatorType%22%3A%22author%22%2C%22firstName%22%3A%22Francesca%22%2C%22lastName%22%3A%22Zito%22%7D%2C%7B%22creatorType%22%3A%22author%22%2C%22firstName%22%3A%22Isabelle%22%2C%22lastName%22%3A%22Marcotte%22%7D%5D%2C%22abstractNote%22%3A%22%22%2C%22date%22%3A%222014-01-28%22%2C%22section%22%3A%22%22%2C%22partNumber%22%3A%22%22%2C%22partTitle%22%3A%22%22%2C%22DOI%22%3A%2210.1016%5C%2Fj.bpj.2013.11.2842%22%2C%22citationKey%22%3A%22%22%2C%22url%22%3A%22http%3A%5C%2F%5C%2Fwww.cell.com%5C%2Fbiophysj%5C%2Fabstract%5C%2FS0006-3495%2813%2904099-X%22%2C%22PMID%22%3A%22%22%2C%22PMCID%22%3A%22%22%2C%22ISSN%22%3A%220006-3495%22%2C%22language%22%3A%22English%22%2C%22collections%22%3A%5B%2263TU6NVS%22%5D%2C%22dateModified%22%3A%222020-05-19T14%3A46%3A27Z%22%7D%7D%2C%7B%22key%22%3A%22QXEX3ZJR%22%2C%22library%22%3A%7B%22id%22%3A2503009%7D%2C%22meta%22%3A%7B%22creatorSummary%22%3A%22Zoonens%20et%20al.%22%2C%22parsedDate%22%3A%222014-01-01%22%2C%22numChildren%22%3A0%7D%2C%22bib%22%3A%22%26lt%3Bdiv%20class%3D%26quot%3Bcsl-bib-body%26quot%3B%20style%3D%26quot%3Bline-height%3A%201.35%3B%20padding-left%3A%201em%3B%20text-indent%3A-1em%3B%26quot%3B%26gt%3B%5Cn%20%20%26lt%3Bdiv%20class%3D%26quot%3Bcsl-entry%26quot%3B%26gt%3BZoonens%2C%20M.%2C%20%26lt%3Bstrong%26gt%3BZito%26lt%3B%5C%2Fstrong%26gt%3B%2C%20F.%2C%20Martinez%2C%20K.L.%2C%20Popot%2C%20J.-L.%2C%202014.%20Amphipols%3A%20A%20General%20Introduction%20and%20Some%20Protocols%2C%20in%3A%20Mus-Veteau%2C%20I.%20%28Ed.%29%2C%20Membrane%20Proteins%20Production%20for%20Structural%20Analysis.%20Springer%20New%20York%2C%20pp.%20173%26%23×2013%3B203.%26lt%3B%5C%2Fdiv%26gt%3B%5Cn%26lt%3B%5C%2Fdiv%26gt%3B%22%2C%22data%22%3A%7B%22itemType%22%3A%22bookSection%22%2C%22title%22%3A%22Amphipols%3A%20A%20General%20Introduction%20and%20Some%20Protocols%22%2C%22creators%22%3A%5B%7B%22creatorType%22%3A%22author%22%2C%22firstName%22%3A%22Manuela%22%2C%22lastName%22%3A%22Zoonens%22%7D%2C%7B%22creatorType%22%3A%22author%22%2C%22firstName%22%3A%22Francesca%22%2C%22lastName%22%3A%22Zito%22%7D%2C%7B%22creatorType%22%3A%22author%22%2C%22firstName%22%3A%22Karen%20L.%22%2C%22lastName%22%3A%22Martinez%22%7D%2C%7B%22creatorType%22%3A%22author%22%2C%22firstName%22%3A%22Jean-Luc%22%2C%22lastName%22%3A%22Popot%22%7D%2C%7B%22creatorType%22%3A%22editor%22%2C%22firstName%22%3A%22Isabelle%22%2C%22lastName%22%3A%22Mus-Veteau%22%7D%5D%2C%22abstractNote%22%3A%22Membrane%20proteins%20%28MPs%29%20exhibit%20a%20broad%20range%20of%20activities%2C%20which%20are%20crucial%20for%20cell%20survival.%20They%20can%20be%20pumps%2C%20channels%2C%20enzymes%2C%20scaffolds%2C%20signal%20transmitters%2C%20or%20a%20combination%20of%20these%20functions.%20Understanding%20their%20molecular%20mechanisms%20generally%20requires%20their%20extraction%20out%20of%20membranes%20and%20their%20purification.%20Solubilization%20and%20isolation%20are%20usually%20carried%20out%20using%20detergents%2C%20which%20disrupt%20the%20membrane%20and%20adsorb%20onto%20the%20hydrophobic%20surface%20of%20the%20transmembrane%20domain%20of%20MPs%2C%20keeping%20them%20water%20soluble.%20Detergents%2C%20however%2C%20tend%20to%20inactivate%20most%20MPs%20more%20or%20less%20rapidly%2C%20making%20their%20biochemical%20and%20biophysical%20studies%20challenging.%20Specially%20designed%20amphipathic%20polymers%20called%20%5Cu201camphipols%5Cu201d%20%28APols%29%20have%20been%20developed%20with%20the%20view%20of%20improving%20the%20stability%20of%20MPs%20in%20aqueous%20solutions.%20In%20this%20chapter%2C%20the%20properties%20of%20APols%20and%20of%20the%20complexes%20they%20form%20with%20MPs%20are%20summarized%2C%20and%20a%20brief%20overview%20of%20APol%20applications%20that%20have%20been%20validated%20thus%20far%20is%20presented.%20Five%20experimental%20protocols%20are%20described%20in%20detail%3A%20%281%29%20trapping%20MPs%20in%20APols%2C%20%282%29%20measuring%20the%20amount%20of%20APol%20bound%20per%20MP%2C%20%283%29%20APol-assisted%20folding%20of%20MPs%2C%20%284%29%20APol-assisted%20production%20of%20MPs%20by%20cell-free%20expression%2C%20and%20%285%29%20immobilizing%20MPs%20onto%20solid%20surfaces%20for%20screening%20purposes%20using%20functionalized%20APols.%22%2C%22bookTitle%22%3A%22Membrane%20Proteins%20Production%20for%20Structural%20Analysis%22%2C%22date%22%3A%222014%5C%2F01%5C%2F01%22%2C%22originalDate%22%3A%22%22%2C%22originalPublisher%22%3A%22%22%2C%22originalPlace%22%3A%22%22%2C%22format%22%3A%22%22%2C%22ISBN%22%3A%22978-1-4939-0661-1%20978-1-4939-0662-8%22%2C%22DOI%22%3A%22%22%2C%22citationKey%22%3A%22%22%2C%22url%22%3A%22http%3A%5C%2F%5C%2Flink.springer.com%5C%2Fchapter%5C%2F10.1007%5C%2F978-1-4939-0662-8_7%22%2C%22ISSN%22%3A%22%22%2C%22language%22%3A%22en%22%2C%22collections%22%3A%5B%2263TU6NVS%22%5D%2C%22dateModified%22%3A%222020-05-19T14%3A44%3A43Z%22%7D%7D%2C%7B%22key%22%3A%22IQGT23LC%22%2C%22library%22%3A%7B%22id%22%3A2503009%7D%2C%22meta%22%3A%7B%22creatorSummary%22%3A%22Santabarbara%20et%20al.%22%2C%22parsedDate%22%3A%222013-01%22%2C%22numChildren%22%3A1%7D%2C%22bib%22%3A%22%26lt%3Bdiv%20class%3D%26quot%3Bcsl-bib-body%26quot%3B%20style%3D%26quot%3Bline-height%3A%201.35%3B%20padding-left%3A%201em%3B%20text-indent%3A-1em%3B%26quot%3B%26gt%3B%5Cn%20%20%26lt%3Bdiv%20class%3D%26quot%3Bcsl-entry%26quot%3B%26gt%3BSantabarbara%2C%20S.%2C%20Casazza%2C%20A.P.%2C%20Ali%2C%20K.%2C%20Economou%2C%20C.K.%2C%20Wannathong%2C%20T.%2C%20%26lt%3Bstrong%26gt%3BZito%26lt%3B%5C%2Fstrong%26gt%3B%2C%20F.%2C%20Redding%2C%20K.E.%2C%20Rappaport%2C%20F.%2C%20Purton%2C%20S.%2C%202013.%20The%20requirement%20for%20carotenoids%20in%20the%20assembly%20and%20function%20of%20the%20photosynthetic%20complexes%20in%20Chlamydomonas%20reinhardtii.%20Plant%20Physiol.%20161%2C%20535%26%23×2013%3B546.%20%26lt%3Ba%20class%3D%26%23039%3Bzp-DOIURL%26%23039%3B%20href%3D%26%23039%3Bhttps%3A%5C%2F%5C%2Fdoi.org%5C%2F10.1104%5C%2Fpp.112.205260%26%23039%3B%26gt%3Bhttps%3A%5C%2F%5C%2Fdoi.org%5C%2F10.1104%5C%2Fpp.112.205260%26lt%3B%5C%2Fa%26gt%3B%26lt%3B%5C%2Fdiv%26gt%3B%5Cn%26lt%3B%5C%2Fdiv%26gt%3B%22%2C%22data%22%3A%7B%22itemType%22%3A%22journalArticle%22%2C%22title%22%3A%22The%20requirement%20for%20carotenoids%20in%20the%20assembly%20and%20function%20of%20the%20photosynthetic%20complexes%20in%20Chlamydomonas%20reinhardtii%22%2C%22creators%22%3A%5B%7B%22creatorType%22%3A%22author%22%2C%22firstName%22%3A%22Stefano%22%2C%22lastName%22%3A%22Santabarbara%22%7D%2C%7B%22creatorType%22%3A%22author%22%2C%22firstName%22%3A%22Anna%20Paola%22%2C%22lastName%22%3A%22Casazza%22%7D%2C%7B%22creatorType%22%3A%22author%22%2C%22firstName%22%3A%22Kulsam%22%2C%22lastName%22%3A%22Ali%22%7D%2C%7B%22creatorType%22%3A%22author%22%2C%22firstName%22%3A%22Chloe%20K.%22%2C%22lastName%22%3A%22Economou%22%7D%2C%7B%22creatorType%22%3A%22author%22%2C%22firstName%22%3A%22Thanyanun%22%2C%22lastName%22%3A%22Wannathong%22%7D%2C%7B%22creatorType%22%3A%22author%22%2C%22firstName%22%3A%22Francesca%22%2C%22lastName%22%3A%22Zito%22%7D%2C%7B%22creatorType%22%3A%22author%22%2C%22firstName%22%3A%22Kevin%20E.%22%2C%22lastName%22%3A%22Redding%22%7D%2C%7B%22creatorType%22%3A%22author%22%2C%22firstName%22%3A%22Fabrice%22%2C%22lastName%22%3A%22Rappaport%22%7D%2C%7B%22creatorType%22%3A%22author%22%2C%22firstName%22%3A%22Saul%22%2C%22lastName%22%3A%22Purton%22%7D%5D%2C%22abstractNote%22%3A%22We%20have%20investigated%20the%20importance%20of%20carotenoids%20on%20the%20accumulation%20and%20function%20of%20the%20photosynthetic%20apparatus%20using%20a%20mutant%20of%20the%20green%20alga%20Chlamydomonas%20reinhardtii%20lacking%20carotenoids.%20The%20FN68%20mutant%20is%20deficient%20in%20phytoene%20synthase%2C%20the%20first%20enzyme%20of%20the%20carotenoid%20biosynthesis%20pathway%2C%20and%20therefore%20is%20unable%20to%20synthesize%20any%20carotenes%20and%20xanthophylls.%20We%20find%20that%20FN68%20is%20unable%20to%20accumulate%20the%20light-harvesting%20complexes%20associated%20with%20both%20photosystems%20as%20well%20as%20the%20RC%20subunits%20of%20photosystem%20II.%20The%20accumulation%20of%20the%20cytochrome%20b%5Cu2086f%20complex%20is%20also%20strongly%20reduced%20to%20a%20level%20approximately%2010%25%20that%20of%20the%20wild%20type.%20However%2C%20the%20residual%20fraction%20of%20assembled%20cytochrome%20b%5Cu2086f%20complexes%20exhibits%20single-turnover%20electron%20transfer%20kinetics%20comparable%20to%20those%20observed%20in%20the%20wild-type%20strain.%20Surprisingly%2C%20photosystem%20I%20is%20assembled%20to%20significant%20levels%20in%20the%20absence%20of%20carotenoids%20in%20FN68%20and%20possesses%20functional%20properties%20that%20are%20very%20similar%20to%20those%20of%20the%20wild-type%20complex.%22%2C%22date%22%3A%22Jan%202013%22%2C%22section%22%3A%22%22%2C%22partNumber%22%3A%22%22%2C%22partTitle%22%3A%22%22%2C%22DOI%22%3A%2210.1104%5C%2Fpp.112.205260%22%2C%22citationKey%22%3A%22%22%2C%22url%22%3A%22%22%2C%22PMID%22%3A%2223161889%22%2C%22PMCID%22%3A%22PMC3532283%22%2C%22ISSN%22%3A%221532-2548%22%2C%22language%22%3A%22eng%22%2C%22collections%22%3A%5B%2263TU6NVS%22%5D%2C%22dateModified%22%3A%222020-05-19T15%3A36%3A29Z%22%7D%7D%2C%7B%22key%22%3A%225SU8M9NE%22%2C%22library%22%3A%7B%22id%22%3A2503009%7D%2C%22meta%22%3A%7B%22creatorSummary%22%3A%22Bechara%20et%20al.%22%2C%22parsedDate%22%3A%222012-07-17%22%2C%22numChildren%22%3A1%7D%2C%22bib%22%3A%22%26lt%3Bdiv%20class%3D%26quot%3Bcsl-bib-body%26quot%3B%20style%3D%26quot%3Bline-height%3A%201.35%3B%20padding-left%3A%201em%3B%20text-indent%3A-1em%3B%26quot%3B%26gt%3B%5Cn%20%20%26lt%3Bdiv%20class%3D%26quot%3Bcsl-entry%26quot%3B%26gt%3BBechara%2C%20C.%2C%20Bolbach%2C%20G.%2C%20Bazzaco%2C%20P.%2C%20Sharma%2C%20K.S.%2C%20Durand%2C%20G.%2C%20Popot%2C%20J.-L.%2C%20%26lt%3Bstrong%26gt%3BZito%26lt%3B%5C%2Fstrong%26gt%3B%2C%20F.%2C%20Sagan%2C%20S.%2C%202012.%20MALDI-TOF%20mass%20spectrometry%20analysis%20of%20amphipol-trapped%20membrane%20proteins.%20Anal.%20Chem.%2084%2C%206128%26%23×2013%3B6135.%20%26lt%3Ba%20class%3D%26%23039%3Bzp-DOIURL%26%23039%3B%20href%3D%26%23039%3Bhttps%3A%5C%2F%5C%2Fdoi.org%5C%2F10.1021%5C%2Fac301035r%26%23039%3B%26gt%3Bhttps%3A%5C%2F%5C%2Fdoi.org%5C%2F10.1021%5C%2Fac301035r%26lt%3B%5C%2Fa%26gt%3B%26lt%3B%5C%2Fdiv%26gt%3B%5Cn%26lt%3B%5C%2Fdiv%26gt%3B%22%2C%22data%22%3A%7B%22itemType%22%3A%22journalArticle%22%2C%22title%22%3A%22MALDI-TOF%20mass%20spectrometry%20analysis%20of%20amphipol-trapped%20membrane%20proteins%22%2C%22creators%22%3A%5B%7B%22creatorType%22%3A%22author%22%2C%22firstName%22%3A%22Ch%5Cu00e9rine%22%2C%22lastName%22%3A%22Bechara%22%7D%2C%7B%22creatorType%22%3A%22author%22%2C%22firstName%22%3A%22G%5Cu00e9rard%22%2C%22lastName%22%3A%22Bolbach%22%7D%2C%7B%22creatorType%22%3A%22author%22%2C%22firstName%22%3A%22Paola%22%2C%22lastName%22%3A%22Bazzaco%22%7D%2C%7B%22creatorType%22%3A%22author%22%2C%22firstName%22%3A%22K.%20Shivaji%22%2C%22lastName%22%3A%22Sharma%22%7D%2C%7B%22creatorType%22%3A%22author%22%2C%22firstName%22%3A%22Gr%5Cu00e9gory%22%2C%22lastName%22%3A%22Durand%22%7D%2C%7B%22creatorType%22%3A%22author%22%2C%22firstName%22%3A%22Jean-Luc%22%2C%22lastName%22%3A%22Popot%22%7D%2C%7B%22creatorType%22%3A%22author%22%2C%22firstName%22%3A%22Francesca%22%2C%22lastName%22%3A%22Zito%22%7D%2C%7B%22creatorType%22%3A%22author%22%2C%22firstName%22%3A%22Sandrine%22%2C%22lastName%22%3A%22Sagan%22%7D%5D%2C%22abstractNote%22%3A%22Amphipols%20%28APols%29%20are%20amphipathic%20polymers%20with%20the%20ability%20to%20substitute%20detergents%20to%20keep%20membrane%20proteins%20%28MPs%29%20soluble%20and%20functional%20in%20aqueous%20solutions.%20APols%20also%20protect%20MPs%20against%20denaturation.%20Here%2C%20we%20have%20examined%20the%20ability%20of%20APol-trapped%20MPs%20to%20be%20analyzed%20by%20matrix-assisted%20laser%20desorption%5C%2Fionization%20time-of-flight%20mass%20spectrometry%20%28MALDI-TOF-MS%29.%20For%20that%20purpose%2C%20we%20have%20used%20ionic%20and%20nonionic%20APols%20and%20as%20model%20proteins%20%28i%29%20the%20transmembrane%20domain%20of%20Escherichia%20coli%20outer%20membrane%20protein%20A%2C%20a%20%5Cu03b2-barrel%2C%20eubacterial%20MP%2C%20%28ii%29%20Halobacterium%20salinarum%20bacteriorhodopsin%2C%20an%20%5Cu03b1-helical%20archaebacterial%20MP%20with%20a%20single%20cofactor%2C%20and%20%28iii%2C%20iv%29%20two%20eukaryotic%20MP%20complexes%20comprising%20multiple%20subunits%20and%20many%20cofactors%2C%20cytochrome%20b%286%29f%20from%20the%20chloroplast%20of%20the%20green%20alga%20Chlamydomonas%20reinhardtii%20and%20cytochrome%20bc%281%29%20from%20beef%20heart%20mitochondria.%20We%20show%20that%20these%20MP%5C%2FAPol%20complexes%20can%20be%20readily%20analyzed%20by%20MALDI-TOF-MS%3B%20most%20of%20the%20subunits%20and%20some%20lipids%20and%20cofactors%20were%20identified.%20APols%20alone%2C%20even%20ionic%20ones%2C%20had%20no%20deleterious%20effects%20on%20MS%20signals%20and%20were%20not%20detected%20in%20mass%20spectra.%20Thus%2C%20the%20combination%20of%20MP%20stabilization%20by%20APols%20and%20MS%20analyses%20provides%20an%20interesting%20new%20approach%20to%20investigating%20supramolecular%20interactions%20in%20biological%20membranes.%22%2C%22date%22%3A%22Jul%2017%2C%202012%22%2C%22section%22%3A%22%22%2C%22partNumber%22%3A%22%22%2C%22partTitle%22%3A%22%22%2C%22DOI%22%3A%2210.1021%5C%2Fac301035r%22%2C%22citationKey%22%3A%22%22%2C%22url%22%3A%22%22%2C%22PMID%22%3A%2222703540%22%2C%22PMCID%22%3A%22%22%2C%22ISSN%22%3A%221520-6882%22%2C%22language%22%3A%22eng%22%2C%22collections%22%3A%5B%2263TU6NVS%22%5D%2C%22dateModified%22%3A%222020-06-11T09%3A58%3A22Z%22%7D%7D%2C%7B%22key%22%3A%22XKC8SRJY%22%2C%22library%22%3A%7B%22id%22%3A2503009%7D%2C%22meta%22%3A%7B%22creatorSummary%22%3A%22Bazzacco%20et%20al.%22%2C%22parsedDate%22%3A%222012-02-21%22%2C%22numChildren%22%3A1%7D%2C%22bib%22%3A%22%26lt%3Bdiv%20class%3D%26quot%3Bcsl-bib-body%26quot%3B%20style%3D%26quot%3Bline-height%3A%201.35%3B%20padding-left%3A%201em%3B%20text-indent%3A-1em%3B%26quot%3B%26gt%3B%5Cn%20%20%26lt%3Bdiv%20class%3D%26quot%3Bcsl-entry%26quot%3B%26gt%3BBazzacco%2C%20P.%2C%20Billon-Denis%2C%20E.%2C%20Sharma%2C%20K.S.%2C%20Catoire%2C%20L.J.%2C%20Mary%2C%20S.%2C%20Le%20Bon%2C%20C.%2C%20Point%2C%20E.%2C%20Ban%26%23xE8%3Bres%2C%20J.-L.%2C%20Durand%2C%20G.%2C%20%26lt%3Bstrong%26gt%3BZito%26lt%3B%5C%2Fstrong%26gt%3B%2C%20F.%2C%20Pucci%2C%20B.%2C%20Popot%2C%20J.-L.%2C%202012.%20Nonionic%20homopolymeric%20amphipols%3A%20application%20to%20membrane%20protein%20folding%2C%20cell-free%20synthesis%2C%20and%20solution%20nuclear%20magnetic%20resonance.%20Biochemistry%2051%2C%201416%26%23×2013%3B1430.%20%26lt%3Ba%20class%3D%26%23039%3Bzp-DOIURL%26%23039%3B%20href%3D%26%23039%3Bhttps%3A%5C%2F%5C%2Fdoi.org%5C%2F10.1021%5C%2Fbi201862v%26%23039%3B%26gt%3Bhttps%3A%5C%2F%5C%2Fdoi.org%5C%2F10.1021%5C%2Fbi201862v%26lt%3B%5C%2Fa%26gt%3B%26lt%3B%5C%2Fdiv%26gt%3B%5Cn%26lt%3B%5C%2Fdiv%26gt%3B%22%2C%22data%22%3A%7B%22itemType%22%3A%22journalArticle%22%2C%22title%22%3A%22Nonionic%20homopolymeric%20amphipols%3A%20application%20to%20membrane%20protein%20folding%2C%20cell-free%20synthesis%2C%20and%20solution%20nuclear%20magnetic%20resonance%22%2C%22creators%22%3A%5B%7B%22creatorType%22%3A%22author%22%2C%22firstName%22%3A%22Paola%22%2C%22lastName%22%3A%22Bazzacco%22%7D%2C%7B%22creatorType%22%3A%22author%22%2C%22firstName%22%3A%22Emmanuelle%22%2C%22lastName%22%3A%22Billon-Denis%22%7D%2C%7B%22creatorType%22%3A%22author%22%2C%22firstName%22%3A%22K.%20Shivaji%22%2C%22lastName%22%3A%22Sharma%22%7D%2C%7B%22creatorType%22%3A%22author%22%2C%22firstName%22%3A%22Laurent%20J.%22%2C%22lastName%22%3A%22Catoire%22%7D%2C%7B%22creatorType%22%3A%22author%22%2C%22firstName%22%3A%22Sophie%22%2C%22lastName%22%3A%22Mary%22%7D%2C%7B%22creatorType%22%3A%22author%22%2C%22firstName%22%3A%22Christel%22%2C%22lastName%22%3A%22Le%20Bon%22%7D%2C%7B%22creatorType%22%3A%22author%22%2C%22firstName%22%3A%22Elodie%22%2C%22lastName%22%3A%22Point%22%7D%2C%7B%22creatorType%22%3A%22author%22%2C%22firstName%22%3A%22Jean-Louis%22%2C%22lastName%22%3A%22Ban%5Cu00e8res%22%7D%2C%7B%22creatorType%22%3A%22author%22%2C%22firstName%22%3A%22Gr%5Cu00e9gory%22%2C%22lastName%22%3A%22Durand%22%7D%2C%7B%22creatorType%22%3A%22author%22%2C%22firstName%22%3A%22Francesca%22%2C%22lastName%22%3A%22Zito%22%7D%2C%7B%22creatorType%22%3A%22author%22%2C%22firstName%22%3A%22Bernard%22%2C%22lastName%22%3A%22Pucci%22%7D%2C%7B%22creatorType%22%3A%22author%22%2C%22firstName%22%3A%22Jean-Luc%22%2C%22lastName%22%3A%22Popot%22%7D%5D%2C%22abstractNote%22%3A%22Nonionic%20amphipols%20%28NAPols%29%20synthesized%20by%20homotelomerization%20of%20an%20amphiphatic%20monomer%20are%20able%20to%20keep%20membrane%20proteins%20%28MPs%29%20stable%20and%20functional%20in%20the%20absence%20of%20detergent.%20Some%20of%20their%20biochemical%20and%20biophysical%20properties%20and%20applications%20have%20been%20examined%2C%20with%20particular%20attention%20being%20paid%20to%20their%20complementarity%20with%20the%20classical%20polyacrylate-based%20amphipol%20A8-35.%20Bacteriorhodopsin%20%28BR%29%20from%20Halobacterium%20salinarum%20and%20the%20cytochrome%20b%286%29f%20complex%20from%20Chlamydomonas%20reinhardtii%20were%20found%20to%20be%20in%20their%20native%20state%20and%20highly%20stable%20following%20complexation%20with%20NAPols.%20NAPol-trapped%20BR%20was%20shown%20to%20undergo%20its%20complete%20photocycle.%20Because%20of%20the%20pH%20insensitivity%20of%20NAPols%2C%20solution%20nuclear%20magnetic%20resonance%20%28NMR%29%20two-dimensional%20%281%29H-%2815%29N%20heteronuclear%20single-quantum%20coherence%20spectra%20of%20NAPol-trapped%20outer%20MP%20X%20from%20Escherichia%20coli%20%28OmpX%29%20could%20be%20recorded%20at%20pH%206.8.%20They%20present%20a%20resolution%20similar%20to%20that%20of%20the%20spectra%20of%20OmpX%5C%2FA8-35%20complexes%20recorded%20at%20pH%208.0%20and%20give%20access%20to%20signals%20from%20solvent-exposed%20rapidy%20exchanging%20amide%20protons.%20Like%20A8-35%2C%20NAPols%20can%20be%20used%20to%20fold%20MPs%20to%20their%20native%20state%20as%20demonstrated%20here%20with%20BR%20and%20with%20the%20ghrelin%20G%20protein-coupled%20receptor%20GHS-R1a%2C%20thus%20extending%20the%20range%20of%20accessible%20folding%20conditions.%20Following%20NAPol-assisted%20folding%2C%20GHS-R1a%20bound%20four%20of%20its%20specific%20ligands%2C%20recruited%20arrestin-2%2C%20and%20activated%20binding%20of%20GTP%5Cu03b3S%20by%20the%20G%28%5Cu03b1q%29%20protein.%20Finally%2C%20cell-free%20synthesis%20of%20MPs%2C%20which%20is%20inhibited%20by%20A8-35%20and%20sulfonated%20amphipols%2C%20was%20found%20to%20be%20very%20efficient%20in%20the%20presence%20of%20NAPols.%20These%20results%20open%20broad%20new%20perspectives%20on%20the%20use%20of%20amphipols%20for%20MP%20studies.%22%2C%22date%22%3A%22Feb%2021%2C%202012%22%2C%22section%22%3A%22%22%2C%22partNumber%22%3A%22%22%2C%22partTitle%22%3A%22%22%2C%22DOI%22%3A%2210.1021%5C%2Fbi201862v%22%2C%22citationKey%22%3A%22%22%2C%22url%22%3A%22%22%2C%22PMID%22%3A%2222304405%22%2C%22PMCID%22%3A%22%22%2C%22ISSN%22%3A%221520-4995%22%2C%22language%22%3A%22eng%22%2C%22collections%22%3A%5B%2263TU6NVS%22%5D%2C%22dateModified%22%3A%222020-06-11T10%3A45%3A35Z%22%7D%7D%2C%7B%22key%22%3A%22VBHLH2HN%22%2C%22library%22%3A%7B%22id%22%3A2503009%7D%2C%22meta%22%3A%7B%22creatorSummary%22%3A%22Park%20et%20al.%22%2C%22parsedDate%22%3A%222011-04-30%22%2C%22numChildren%22%3A1%7D%2C%22bib%22%3A%22%26lt%3Bdiv%20class%3D%26quot%3Bcsl-bib-body%26quot%3B%20style%3D%26quot%3Bline-height%3A%201.35%3B%20padding-left%3A%201em%3B%20text-indent%3A-1em%3B%26quot%3B%26gt%3B%5Cn%20%20%26lt%3Bdiv%20class%3D%26quot%3Bcsl-entry%26quot%3B%26gt%3BPark%2C%20K.-H.%2C%20Billon-Denis%2C%20E.%2C%20Dahmane%2C%20T.%2C%20Lebaupain%2C%20F.%2C%20Pucci%2C%20B.%2C%20Breyton%2C%20C.%2C%20%26lt%3Bstrong%26gt%3BZito%26lt%3B%5C%2Fstrong%26gt%3B%2C%20F.%2C%202011.%20In%20the%20cauldron%20of%20cell-free%20synthesis%20of%20membrane%20proteins%3A%20playing%20with%20new%20surfactants.%20N%20Biotechnol%2028%2C%20255%26%23×2013%3B261.%20%26lt%3Ba%20class%3D%26%23039%3Bzp-DOIURL%26%23039%3B%20href%3D%26%23039%3Bhttps%3A%5C%2F%5C%2Fdoi.org%5C%2F10.1016%5C%2Fj.nbt.2010.08.008%26%23039%3B%26gt%3Bhttps%3A%5C%2F%5C%2Fdoi.org%5C%2F10.1016%5C%2Fj.nbt.2010.08.008%26lt%3B%5C%2Fa%26gt%3B%26lt%3B%5C%2Fdiv%26gt%3B%5Cn%26lt%3B%5C%2Fdiv%26gt%3B%22%2C%22data%22%3A%7B%22itemType%22%3A%22journalArticle%22%2C%22title%22%3A%22In%20the%20cauldron%20of%20cell-free%20synthesis%20of%20membrane%20proteins%3A%20playing%20with%20new%20surfactants%22%2C%22creators%22%3A%5B%7B%22creatorType%22%3A%22author%22%2C%22firstName%22%3A%22Kyu-Ho%22%2C%22lastName%22%3A%22Park%22%7D%2C%7B%22creatorType%22%3A%22author%22%2C%22firstName%22%3A%22Emmanuelle%22%2C%22lastName%22%3A%22Billon-Denis%22%7D%2C%7B%22creatorType%22%3A%22author%22%2C%22firstName%22%3A%22Tassadite%22%2C%22lastName%22%3A%22Dahmane%22%7D%2C%7B%22creatorType%22%3A%22author%22%2C%22firstName%22%3A%22Florence%22%2C%22lastName%22%3A%22Lebaupain%22%7D%2C%7B%22creatorType%22%3A%22author%22%2C%22firstName%22%3A%22Bernard%22%2C%22lastName%22%3A%22Pucci%22%7D%2C%7B%22creatorType%22%3A%22author%22%2C%22firstName%22%3A%22C%5Cu00e9cile%22%2C%22lastName%22%3A%22Breyton%22%7D%2C%7B%22creatorType%22%3A%22author%22%2C%22firstName%22%3A%22Francesca%22%2C%22lastName%22%3A%22Zito%22%7D%5D%2C%22abstractNote%22%3A%22Cell-free%20protein%20synthesis%20is%20a%20well-known%20technique%20for%20the%20roles%20it%20has%20played%20in%20deciphering%20the%20genetic%20code%20and%20in%20the%20beginnings%20of%20signal%20sequence%20studies.%20Since%20then%2C%20many%20efforts%20have%20been%20made%20to%20optimise%20this%20technique%20and%2C%20recently%2C%20to%20adapt%20it%20to%20membrane%20protein%20production%20with%20yields%20compatible%20with%20structural%20investigations.%20The%20versatility%20of%20the%20method%20allows%20membrane%20proteins%20to%20be%20obtained%20directly%20stabilised%20in%20surfactant%20micelles%20or%20inserted%20in%20a%20lipidic%20environment%20%28proteoliposome%2C%20bicelle%2C%20and%20nanodisc%29%20at%20the%20end%20of%20synthesis.%20Among%20the%20surfactants%20used%2C%20non-detergent%20ones%20such%20as%20fluorinated%20surfactants%20proved%20to%20be%20a%20good%20alternative%20in%20terms%20of%20colloidal%20stability%20and%20preservation%20of%20the%20integrity%20of%20membrane%20proteins%2C%20as%20shown%20for%20Escherichia%20coli%20homo-pentameric%20channel%2C%20MscL%20%28Park%20et%20al.%2C%20Biochem.%20J.%2C%20403%3A%20183-187%29.%20Here%20we%20report%20cell-free%20expression%20of%20Escherichia%20coli%20leader%20peptidase%20%28a%20transmembrane%20protease%29%2C%20Halobacterium%20salinarium%20bacteriorhodopsin%20%28a%20transmembrane%20protein%20binding%20a%20hydrophobic%20cofactor%29%20and%20E.%20coli%20MscL%20in%20the%20presence%20of%20non-detergent%20surfactants%2C%20amphipols%20and%20fluorinated%20surfactants%20in%20comparison%20to%20their%20expression%20in%20classical%20detergents.%20The%20results%20confirm%20the%20potentialities%20of%20fluorinated%20surfactants%20and%2C%20although%20pointing%20to%20limitations%20in%20using%20the%20first%20generations%20amphipols%2C%20results%20are%20discussed%20in%20the%20light%20of%20membrane%20protein%20refolding%2C%20especially%20in%20the%20case%20of%20bacteriorhodopsin.%20Preliminary%20experiments%20using%20new%20generations%20of%20amphipols%20supports%20choices%20made%20in%20developing%20new%20molecules.%22%2C%22date%22%3A%22Apr%2030%2C%202011%22%2C%22section%22%3A%22%22%2C%22partNumber%22%3A%22%22%2C%22partTitle%22%3A%22%22%2C%22DOI%22%3A%2210.1016%5C%2Fj.nbt.2010.08.008%22%2C%22citationKey%22%3A%22%22%2C%22url%22%3A%22%22%2C%22PMID%22%3A%2220800706%22%2C%22PMCID%22%3A%22%22%2C%22ISSN%22%3A%221876-4347%22%2C%22language%22%3A%22eng%22%2C%22collections%22%3A%5B%2263TU6NVS%22%5D%2C%22dateModified%22%3A%222020-05-19T16%3A16%3A43Z%22%7D%7D%2C%7B%22key%22%3A%22YJCAMG9Z%22%2C%22library%22%3A%7B%22id%22%3A2503009%7D%2C%22meta%22%3A%7B%22creatorSummary%22%3A%22Popot%20et%20al.%22%2C%22parsedDate%22%3A%222011%22%2C%22numChildren%22%3A1%7D%2C%22bib%22%3A%22%26lt%3Bdiv%20class%3D%26quot%3Bcsl-bib-body%26quot%3B%20style%3D%26quot%3Bline-height%3A%201.35%3B%20padding-left%3A%201em%3B%20text-indent%3A-1em%3B%26quot%3B%26gt%3B%5Cn%20%20%26lt%3Bdiv%20class%3D%26quot%3Bcsl-entry%26quot%3B%26gt%3BPopot%2C%20J.-L.%2C%20Althoff%2C%20T.%2C%20Bagnard%2C%20D.%2C%20Ban%26%23xE8%3Bres%2C%20J.-L.%2C%20Bazzacco%2C%20P.%2C%20Billon-Denis%2C%20E.%2C%20Catoire%2C%20L.J.%2C%20Champeil%2C%20P.%2C%20Charvolin%2C%20D.%2C%20Cocco%2C%20M.J.%2C%20Cr%26%23xE9%3Bmel%2C%20G.%2C%20Dahmane%2C%20T.%2C%20de%20la%20Maza%2C%20L.M.%2C%20Ebel%2C%20C.%2C%20Gabel%2C%20F.%2C%20Giusti%2C%20F.%2C%20Gohon%2C%20Y.%2C%20Goormaghtigh%2C%20E.%2C%20Guittet%2C%20E.%2C%20Kleinschmidt%2C%20J.H.%2C%20K%26%23xFC%3Bhlbrandt%2C%20W.%2C%20Le%20Bon%2C%20C.%2C%20Martinez%2C%20K.L.%2C%20Picard%2C%20M.%2C%20Pucci%2C%20B.%2C%20Sachs%2C%20J.N.%2C%20Tribet%2C%20C.%2C%20van%20Heijenoort%2C%20C.%2C%20Wien%2C%20F.%2C%20%26lt%3Bstrong%26gt%3BZito%26lt%3B%5C%2Fstrong%26gt%3B%2C%20F.%2C%20Zoonens%2C%20M.%2C%202011.%20Amphipols%20from%20A%20to%20Z.%20Annu%20Rev%20Biophys%2040%2C%20379%26%23×2013%3B408.%20%26lt%3Ba%20class%3D%26%23039%3Bzp-DOIURL%26%23039%3B%20href%3D%26%23039%3Bhttps%3A%5C%2F%5C%2Fdoi.org%5C%2F10.1146%5C%2Fannurev-biophys-042910-155219%26%23039%3B%26gt%3Bhttps%3A%5C%2F%5C%2Fdoi.org%5C%2F10.1146%5C%2Fannurev-biophys-042910-155219%26lt%3B%5C%2Fa%26gt%3B%26lt%3B%5C%2Fdiv%26gt%3B%5Cn%26lt%3B%5C%2Fdiv%26gt%3B%22%2C%22data%22%3A%7B%22itemType%22%3A%22journalArticle%22%2C%22title%22%3A%22Amphipols%20from%20A%20to%20Z%22%2C%22creators%22%3A%5B%7B%22creatorType%22%3A%22author%22%2C%22firstName%22%3A%22J.-L.%22%2C%22lastName%22%3A%22Popot%22%7D%2C%7B%22creatorType%22%3A%22author%22%2C%22firstName%22%3A%22T.%22%2C%22lastName%22%3A%22Althoff%22%7D%2C%7B%22creatorType%22%3A%22author%22%2C%22firstName%22%3A%22D.%22%2C%22lastName%22%3A%22Bagnard%22%7D%2C%7B%22creatorType%22%3A%22author%22%2C%22firstName%22%3A%22J.-L.%22%2C%22lastName%22%3A%22Ban%5Cu00e8res%22%7D%2C%7B%22creatorType%22%3A%22author%22%2C%22firstName%22%3A%22P.%22%2C%22lastName%22%3A%22Bazzacco%22%7D%2C%7B%22creatorType%22%3A%22author%22%2C%22firstName%22%3A%22E.%22%2C%22lastName%22%3A%22Billon-Denis%22%7D%2C%7B%22creatorType%22%3A%22author%22%2C%22firstName%22%3A%22L.%20J.%22%2C%22lastName%22%3A%22Catoire%22%7D%2C%7B%22creatorType%22%3A%22author%22%2C%22firstName%22%3A%22P.%22%2C%22lastName%22%3A%22Champeil%22%7D%2C%7B%22creatorType%22%3A%22author%22%2C%22firstName%22%3A%22D.%22%2C%22lastName%22%3A%22Charvolin%22%7D%2C%7B%22creatorType%22%3A%22author%22%2C%22firstName%22%3A%22M.%20J.%22%2C%22lastName%22%3A%22Cocco%22%7D%2C%7B%22creatorType%22%3A%22author%22%2C%22firstName%22%3A%22G.%22%2C%22lastName%22%3A%22Cr%5Cu00e9mel%22%7D%2C%7B%22creatorType%22%3A%22author%22%2C%22firstName%22%3A%22T.%22%2C%22lastName%22%3A%22Dahmane%22%7D%2C%7B%22creatorType%22%3A%22author%22%2C%22firstName%22%3A%22L.%20M.%22%2C%22lastName%22%3A%22de%20la%20Maza%22%7D%2C%7B%22creatorType%22%3A%22author%22%2C%22firstName%22%3A%22C.%22%2C%22lastName%22%3A%22Ebel%22%7D%2C%7B%22creatorType%22%3A%22author%22%2C%22firstName%22%3A%22F.%22%2C%22lastName%22%3A%22Gabel%22%7D%2C%7B%22creatorType%22%3A%22author%22%2C%22firstName%22%3A%22F.%22%2C%22lastName%22%3A%22Giusti%22%7D%2C%7B%22creatorType%22%3A%22author%22%2C%22firstName%22%3A%22Y.%22%2C%22lastName%22%3A%22Gohon%22%7D%2C%7B%22creatorType%22%3A%22author%22%2C%22firstName%22%3A%22E.%22%2C%22lastName%22%3A%22Goormaghtigh%22%7D%2C%7B%22creatorType%22%3A%22author%22%2C%22firstName%22%3A%22E.%22%2C%22lastName%22%3A%22Guittet%22%7D%2C%7B%22creatorType%22%3A%22author%22%2C%22firstName%22%3A%22J.%20H.%22%2C%22lastName%22%3A%22Kleinschmidt%22%7D%2C%7B%22creatorType%22%3A%22author%22%2C%22firstName%22%3A%22W.%22%2C%22lastName%22%3A%22K%5Cu00fchlbrandt%22%7D%2C%7B%22creatorType%22%3A%22author%22%2C%22firstName%22%3A%22C.%22%2C%22lastName%22%3A%22Le%20Bon%22%7D%2C%7B%22creatorType%22%3A%22author%22%2C%22firstName%22%3A%22K.%20L.%22%2C%22lastName%22%3A%22Martinez%22%7D%2C%7B%22creatorType%22%3A%22author%22%2C%22firstName%22%3A%22M.%22%2C%22lastName%22%3A%22Picard%22%7D%2C%7B%22creatorType%22%3A%22author%22%2C%22firstName%22%3A%22B.%22%2C%22lastName%22%3A%22Pucci%22%7D%2C%7B%22creatorType%22%3A%22author%22%2C%22firstName%22%3A%22J.%20N.%22%2C%22lastName%22%3A%22Sachs%22%7D%2C%7B%22creatorType%22%3A%22author%22%2C%22firstName%22%3A%22C.%22%2C%22lastName%22%3A%22Tribet%22%7D%2C%7B%22creatorType%22%3A%22author%22%2C%22firstName%22%3A%22C.%22%2C%22lastName%22%3A%22van%20Heijenoort%22%7D%2C%7B%22creatorType%22%3A%22author%22%2C%22firstName%22%3A%22F.%22%2C%22lastName%22%3A%22Wien%22%7D%2C%7B%22creatorType%22%3A%22author%22%2C%22firstName%22%3A%22F.%22%2C%22lastName%22%3A%22Zito%22%7D%2C%7B%22creatorType%22%3A%22author%22%2C%22firstName%22%3A%22M.%22%2C%22lastName%22%3A%22Zoonens%22%7D%5D%2C%22abstractNote%22%3A%22Amphipols%20%28APols%29%20are%20short%20amphipathic%20polymers%20that%20can%20substitute%20for%20detergents%20to%20keep%20integral%20membrane%20proteins%20%28MPs%29%20water%20soluble.%20In%20this%20review%2C%20we%20discuss%20their%20structure%20and%20solution%20behavior%3B%20the%20way%20they%20associate%20with%20MPs%3B%20and%20the%20structure%2C%20dynamics%2C%20and%20solution%20properties%20of%20the%20resulting%20complexes.%20All%20MPs%20tested%20to%20date%20form%20water-soluble%20complexes%20with%20APols%2C%20and%20their%20biochemical%20stability%20is%20in%20general%20greatly%20improved%20compared%20with%20MPs%20in%20detergent%20solutions.%20The%20functionality%20and%20ligand-binding%20properties%20of%20APol-trapped%20MPs%20are%20reviewed%2C%20and%20the%20mechanisms%20by%20which%20APols%20stabilize%20MPs%20are%20discussed.%20Applications%20of%20APols%20include%20MP%20folding%20and%20cell-free%20synthesis%2C%20structural%20studies%20by%20NMR%2C%20electron%20microscopy%20and%20X-ray%20diffraction%2C%20APol-mediated%20immobilization%20of%20MPs%20onto%20solid%20supports%2C%20proteomics%2C%20delivery%20of%20MPs%20to%20preexisting%20membranes%2C%20and%20vaccine%20formulation.%22%2C%22date%22%3A%222011%22%2C%22section%22%3A%22%22%2C%22partNumber%22%3A%22%22%2C%22partTitle%22%3A%22%22%2C%22DOI%22%3A%2210.1146%5C%2Fannurev-biophys-042910-155219%22%2C%22citationKey%22%3A%22%22%2C%22url%22%3A%22%22%2C%22PMID%22%3A%2221545287%22%2C%22PMCID%22%3A%22%22%2C%22ISSN%22%3A%221936-1238%22%2C%22language%22%3A%22eng%22%2C%22collections%22%3A%5B%2263TU6NVS%22%5D%2C%22dateModified%22%3A%222020-05-19T16%3A16%3A52Z%22%7D%7D%2C%7B%22key%22%3A%228YGNLLUG%22%2C%22library%22%3A%7B%22id%22%3A2503009%7D%2C%22meta%22%3A%7B%22creatorSummary%22%3A%22de%20Lacroix%20de%20Lavalette%20et%20al.%22%2C%22parsedDate%22%3A%222009-07-31%22%2C%22numChildren%22%3A1%7D%2C%22bib%22%3A%22%26lt%3Bdiv%20class%3D%26quot%3Bcsl-bib-body%26quot%3B%20style%3D%26quot%3Bline-height%3A%201.35%3B%20padding-left%3A%201em%3B%20text-indent%3A-1em%3B%26quot%3B%26gt%3B%5Cn%20%20%26lt%3Bdiv%20class%3D%26quot%3Bcsl-entry%26quot%3B%26gt%3Bde%20Lacroix%20de%20Lavalette%2C%20A.%2C%20Barucq%2C%20L.%2C%20Alric%2C%20J.%2C%20Rappaport%2C%20F.%2C%20%26lt%3Bstrong%26gt%3BZito%26lt%3B%5C%2Fstrong%26gt%3B%2C%20F.%2C%202009.%20Is%20the%20redox%20state%20of%20the%20ci%20heme%20of%20the%20cytochrome%20b6f%20complex%20dependent%20on%20the%20occupation%20and%20structure%20of%20the%20Qi%20site%20and%20vice%20versa%3F%20J.%20Biol.%20Chem.%20284%2C%2020822%26%23×2013%3B20829.%20%26lt%3Ba%20class%3D%26%23039%3Bzp-DOIURL%26%23039%3B%20href%3D%26%23039%3Bhttps%3A%5C%2F%5C%2Fdoi.org%5C%2F10.1074%5C%2Fjbc.M109.016709%26%23039%3B%26gt%3Bhttps%3A%5C%2F%5C%2Fdoi.org%5C%2F10.1074%5C%2Fjbc.M109.016709%26lt%3B%5C%2Fa%26gt%3B%26lt%3B%5C%2Fdiv%26gt%3B%5Cn%26lt%3B%5C%2Fdiv%26gt%3B%22%2C%22data%22%3A%7B%22itemType%22%3A%22journalArticle%22%2C%22title%22%3A%22Is%20the%20redox%20state%20of%20the%20ci%20heme%20of%20the%20cytochrome%20b6f%20complex%20dependent%20on%20the%20occupation%20and%20structure%20of%20the%20Qi%20site%20and%20vice%20versa%3F%22%2C%22creators%22%3A%5B%7B%22creatorType%22%3A%22author%22%2C%22firstName%22%3A%22Agn%5Cu00e8s%22%2C%22lastName%22%3A%22de%20Lacroix%20de%20Lavalette%22%7D%2C%7B%22creatorType%22%3A%22author%22%2C%22firstName%22%3A%22Lise%22%2C%22lastName%22%3A%22Barucq%22%7D%2C%7B%22creatorType%22%3A%22author%22%2C%22firstName%22%3A%22Jean%22%2C%22lastName%22%3A%22Alric%22%7D%2C%7B%22creatorType%22%3A%22author%22%2C%22firstName%22%3A%22Fabrice%22%2C%22lastName%22%3A%22Rappaport%22%7D%2C%7B%22creatorType%22%3A%22author%22%2C%22firstName%22%3A%22Francesca%22%2C%22lastName%22%3A%22Zito%22%7D%5D%2C%22abstractNote%22%3A%22Oxidoreductases%20of%20the%20cytochrome%20bc%281%29%5C%2Fb%286%29f%20family%20transfer%20electrons%20from%20a%20liposoluble%20quinol%20to%20a%20soluble%20acceptor%20protein%20and%20contribute%20to%20the%20formation%20of%20a%20transmembrane%20electrochemical%20potential.%20The%20crystal%20structure%20of%20cyt%20b%286%29f%20has%20revealed%20the%20presence%20in%20the%20Q%28i%29%20site%20of%20an%20atypical%20c-type%20heme%2C%20heme%20c%28i%29.%20Surprisingly%2C%20the%20protein%20does%20not%20provide%20any%20axial%20ligand%20to%20the%20iron%20of%20this%20heme%2C%20and%20its%20surrounding%20structure%20suggests%20it%20can%20be%20accessed%20by%20exogenous%20ligand.%20In%20this%20work%20we%20describe%20a%20mutagenesis%20approach%20aimed%20at%20characterizing%20the%20c%28i%29%20heme%20and%20its%20interaction%20with%20the%20Q%28i%29%20site%20environment.%20We%20engineered%20a%20mutant%20of%20Chlamydomonas%20reinhardtii%20in%20which%20Phe%2840%29%20from%20subunit%20IV%20was%20substituted%20by%20a%20tyrosine.%20This%20results%20in%20a%20dramatic%20slowing%20down%20of%20the%20reoxidation%20of%20the%20b%20hemes%20under%20single%20flash%20excitation%2C%20suggesting%20hindered%20accessibility%20of%20the%20heme%20to%20its%20quinone%20substrate.%20This%20modified%20accessibility%20likely%20originates%20from%20the%20ligation%20of%20the%20heme%20iron%20by%20the%20phenol%28ate%29%20side%20chain%20introduced%20by%20the%20mutation.%20Indeed%2C%20it%20also%20results%20in%20a%20marked%20downshift%20of%20the%20c%28i%29%20heme%20midpoint%20potential%20%28from%20%2B100%20mV%20to%20-200%20mV%20at%20pH%207%29.%20Yet%20the%20overall%20turnover%20rate%20of%20the%20mutant%20cytochrome%20b%286%29f%20complex%20under%20continuous%20illumination%20was%20found%20similar%20to%20the%20wild%20type%20one%2C%20both%20in%20vitro%20and%20in%20vivo.%20We%20propose%20that%2C%20in%20the%20mutant%2C%20a%20change%20in%20the%20ligation%20state%20of%20the%20heme%20upon%20its%20reduction%20could%20act%20as%20a%20redox%20switch%20that%20would%20control%20the%20accessibility%20of%20the%20substrate%20to%20the%20heme%20and%20trigger%20the%20catalysis.%22%2C%22date%22%3A%22Jul%2031%2C%202009%22%2C%22section%22%3A%22%22%2C%22partNumber%22%3A%22%22%2C%22partTitle%22%3A%22%22%2C%22DOI%22%3A%2210.1074%5C%2Fjbc.M109.016709%22%2C%22citationKey%22%3A%22%22%2C%22url%22%3A%22%22%2C%22PMID%22%3A%2219478086%22%2C%22PMCID%22%3A%22PMC2742847%22%2C%22ISSN%22%3A%221083-351X%22%2C%22language%22%3A%22eng%22%2C%22collections%22%3A%5B%2263TU6NVS%22%5D%2C%22dateModified%22%3A%222020-05-19T16%3A32%3A49Z%22%7D%7D%2C%7B%22key%22%3A%22XYAWXS66%22%2C%22library%22%3A%7B%22id%22%3A2503009%7D%2C%22meta%22%3A%7B%22creatorSummary%22%3A%22de%20Lacroix%20de%20Lavalette%20et%20al.%22%2C%22parsedDate%22%3A%222008-07%22%2C%22numChildren%22%3A1%7D%2C%22bib%22%3A%22%26lt%3Bdiv%20class%3D%26quot%3Bcsl-bib-body%26quot%3B%20style%3D%26quot%3Bline-height%3A%201.35%3B%20padding-left%3A%201em%3B%20text-indent%3A-1em%3B%26quot%3B%26gt%3B%5Cn%20%20%26lt%3Bdiv%20class%3D%26quot%3Bcsl-entry%26quot%3B%26gt%3Bde%20Lacroix%20de%20Lavalette%2C%20A.%2C%20Barbagallo%2C%20R.P.%2C%20%26lt%3Bstrong%26gt%3BZito%26lt%3B%5C%2Fstrong%26gt%3B%2C%20F.%2C%202008.%20Why%20is%20it%20so%20difficult%20to%20construct%20Q%28i%29%20site%20mutants%20in%20Chlamydomonas%20reinhardtii%3F%20C.%20R.%20Biol.%20331%2C%20510%26%23×2013%3B517.%20%26lt%3Ba%20class%3D%26%23039%3Bzp-DOIURL%26%23039%3B%20href%3D%26%23039%3Bhttps%3A%5C%2F%5C%2Fdoi.org%5C%2F10.1016%5C%2Fj.crvi.2008.04.003%26%23039%3B%26gt%3Bhttps%3A%5C%2F%5C%2Fdoi.org%5C%2F10.1016%5C%2Fj.crvi.2008.04.003%26lt%3B%5C%2Fa%26gt%3B%26lt%3B%5C%2Fdiv%26gt%3B%5Cn%26lt%3B%5C%2Fdiv%26gt%3B%22%2C%22data%22%3A%7B%22itemType%22%3A%22journalArticle%22%2C%22title%22%3A%22Why%20is%20it%20so%20difficult%20to%20construct%20Q%28i%29%20site%20mutants%20in%20Chlamydomonas%20reinhardtii%3F%22%2C%22creators%22%3A%5B%7B%22creatorType%22%3A%22author%22%2C%22firstName%22%3A%22Agn%5Cu00e8s%22%2C%22lastName%22%3A%22de%20Lacroix%20de%20Lavalette%22%7D%2C%7B%22creatorType%22%3A%22author%22%2C%22firstName%22%3A%22Romina%20Paola%22%2C%22lastName%22%3A%22Barbagallo%22%7D%2C%7B%22creatorType%22%3A%22author%22%2C%22firstName%22%3A%22Francesca%22%2C%22lastName%22%3A%22Zito%22%7D%5D%2C%22abstractNote%22%3A%22The%20cytochrome%20b%286%29f%20complex%20catalyses%20electron%20transfer%20from%20plastoquinol%20to%20a%20hydrosoluble%20acceptor%20%28plastocyanin%29%2C%20while%20building%20up%20an%20electrochemical%20proton%20gradient.%20Oxidation%20and%20reduction%20of%20plastoquinol%20occur%20respectively%20at%20the%20Q%28o%29%20site%20%28exposed%20on%20the%20luminal%20side%20of%20the%20thylakoid%20membrane%29%20and%20at%20the%20Q%28i%29%20site%20%28facing%20the%20stroma%29.%20The%20discovery%20of%20an%20additional%20c%26%23039%3B-type%20heme%20in%20the%20Q%28i%29%20site%20has%20cast%20a%20new%20light%20on%20the%20difficulties%20previously%20encountered%20to%20obtain%20mutants%20at%20this%20site.%20In%20this%20work%2C%20we%20critically%20examine%20our%20unsuccessful%20attempts%20to%20obtain%20Q%28i%29%20site%20mutants%20based%20on%20sequence%20and%20structure%20homology%20between%20cytochrome%20b%286%29f%20and%20bc%281%29%20complexes.%22%2C%22date%22%3A%22Jul%202008%22%2C%22section%22%3A%22%22%2C%22partNumber%22%3A%22%22%2C%22partTitle%22%3A%22%22%2C%22DOI%22%3A%2210.1016%5C%2Fj.crvi.2008.04.003%22%2C%22citationKey%22%3A%22%22%2C%22url%22%3A%22%22%2C%22PMID%22%3A%2218558374%22%2C%22PMCID%22%3A%22%22%2C%22ISSN%22%3A%221631-0691%22%2C%22language%22%3A%22eng%22%2C%22collections%22%3A%5B%2263TU6NVS%22%5D%2C%22dateModified%22%3A%222020-05-19T16%3A56%3A17Z%22%7D%7D%2C%7B%22key%22%3A%22YBHWUGDL%22%2C%22library%22%3A%7B%22id%22%3A2503009%7D%2C%22meta%22%3A%7B%22creatorSummary%22%3A%22de%20Lacroix%20de%20Lavalette%20et%20al.%22%2C%22parsedDate%22%3A%222008-05-13%22%2C%22numChildren%22%3A1%7D%2C%22bib%22%3A%22%26lt%3Bdiv%20class%3D%26quot%3Bcsl-bib-body%26quot%3B%20style%3D%26quot%3Bline-height%3A%201.35%3B%20padding-left%3A%201em%3B%20text-indent%3A-1em%3B%26quot%3B%26gt%3B%5Cn%20%20%26lt%3Bdiv%20class%3D%26quot%3Bcsl-entry%26quot%3B%26gt%3Bde%20Lacroix%20de%20Lavalette%2C%20A.%2C%20Finazzi%2C%20G.%2C%20%26lt%3Bstrong%26gt%3BZito%26lt%3B%5C%2Fstrong%26gt%3B%2C%20F.%2C%202008.%20b6f-Associated%20chlorophyll%3A%20structural%20and%20dynamic%20contribution%20to%20the%20different%20cytochrome%20functions.%20Biochemistry%2047%2C%205259%26%23×2013%3B5265.%20%26lt%3Ba%20class%3D%26%23039%3Bzp-DOIURL%26%23039%3B%20href%3D%26%23039%3Bhttps%3A%5C%2F%5C%2Fdoi.org%5C%2F10.1021%5C%2Fbi800179b%26%23039%3B%26gt%3Bhttps%3A%5C%2F%5C%2Fdoi.org%5C%2F10.1021%5C%2Fbi800179b%26lt%3B%5C%2Fa%26gt%3B%26lt%3B%5C%2Fdiv%26gt%3B%5Cn%26lt%3B%5C%2Fdiv%26gt%3B%22%2C%22data%22%3A%7B%22itemType%22%3A%22journalArticle%22%2C%22title%22%3A%22b6f-Associated%20chlorophyll%3A%20structural%20and%20dynamic%20contribution%20to%20the%20different%20cytochrome%20functions%22%2C%22creators%22%3A%5B%7B%22creatorType%22%3A%22author%22%2C%22firstName%22%3A%22Agn%5Cu00e8s%22%2C%22lastName%22%3A%22de%20Lacroix%20de%20Lavalette%22%7D%2C%7B%22creatorType%22%3A%22author%22%2C%22firstName%22%3A%22Giovanni%22%2C%22lastName%22%3A%22Finazzi%22%7D%2C%7B%22creatorType%22%3A%22author%22%2C%22firstName%22%3A%22Francesca%22%2C%22lastName%22%3A%22Zito%22%7D%5D%2C%22abstractNote%22%3A%22Cytochromes%20bc1%5C%2Fb6f%20complexes%20catalyze%20electron%20transfer%20from%20lipid-%20to%20water-soluble%20carriers%20in%20both%20the%20respiratory%20and%20photosynthetic%20processes.%20They%20contain%20several%20common%20redox%20cofactors%2C%20while%20a%20chlorophyll%20a%20molecule%2C%20the%20function%20of%20which%20is%20still%20enigmatic%2C%20is%20only%20present%20in%20b%20b6f-type%20complexes.%20In%20this%20work%2C%20we%20describe%20a%20mutagenesis%20approach%20aimed%20at%20characterizing%20the%20role%20of%20this%20pigment.%20Mutants%20of%20the%20binding%20pocket%20were%20constructed%20to%20obtain%20cytochrome%20%28cyt%29%20b6f%20f%20complexes%20altered%20in%20chlorophyll%20position%20and%5C%2For%20stability.%20On%20the%20basis%20of%20a%20combined%20biochemical%20and%20functional%20analysis%2C%20we%20conclude%20that%20the%20chlorophyll%20plays%20a%20major%20structural%20role%20in%20the%20complex.%20Moreover%2C%20the%20chlorophyll%20and%20its%20binding%20pocket%20may%20also%20be%20implicated%20in%20the%20regulation%20of%20photosynthetic%20state%20transitions%2C%20a%20function%20that%20is%20specific%20to%20cyt%20b6f%20complexes.%22%2C%22date%22%3A%22May%2013%2C%202008%22%2C%22section%22%3A%22%22%2C%22partNumber%22%3A%22%22%2C%22partTitle%22%3A%22%22%2C%22DOI%22%3A%2210.1021%5C%2Fbi800179b%22%2C%22citationKey%22%3A%22%22%2C%22url%22%3A%22%22%2C%22PMID%22%3A%2218407657%22%2C%22PMCID%22%3A%22%22%2C%22ISSN%22%3A%221520-4995%22%2C%22language%22%3A%22eng%22%2C%22collections%22%3A%5B%2263TU6NVS%22%5D%2C%22dateModified%22%3A%222020-05-19T16%3A56%3A22Z%22%7D%7D%2C%7B%22key%22%3A%223LGQJSIY%22%2C%22library%22%3A%7B%22id%22%3A2503009%7D%2C%22meta%22%3A%7B%22creatorSummary%22%3A%22Zoonens%20et%20al.%22%2C%22parsedDate%22%3A%222007-09-11%22%2C%22numChildren%22%3A1%7D%2C%22bib%22%3A%22%26lt%3Bdiv%20class%3D%26quot%3Bcsl-bib-body%26quot%3B%20style%3D%26quot%3Bline-height%3A%201.35%3B%20padding-left%3A%201em%3B%20text-indent%3A-1em%3B%26quot%3B%26gt%3B%5Cn%20%20%26lt%3Bdiv%20class%3D%26quot%3Bcsl-entry%26quot%3B%26gt%3BZoonens%2C%20M.%2C%20Giusti%2C%20F.%2C%20%26lt%3Bstrong%26gt%3BZito%26lt%3B%5C%2Fstrong%26gt%3B%2C%20F.%2C%20Popot%2C%20J.-L.%2C%202007.%20Dynamics%20of%20membrane%20protein%5C%2Famphipol%20association%20studied%20by%20F%26%23xF6%3Brster%20resonance%20energy%20transfer%3A%20implications%20for%20in%20vitro%20studies%20of%20amphipol-stabilized%20membrane%20proteins.%20Biochemistry%2046%2C%2010392%26%23×2013%3B10404.%20%26lt%3Ba%20class%3D%26%23039%3Bzp-DOIURL%26%23039%3B%20href%3D%26%23039%3Bhttps%3A%5C%2F%5C%2Fdoi.org%5C%2F10.1021%5C%2Fbi7007596%26%23039%3B%26gt%3Bhttps%3A%5C%2F%5C%2Fdoi.org%5C%2F10.1021%5C%2Fbi7007596%26lt%3B%5C%2Fa%26gt%3B%26lt%3B%5C%2Fdiv%26gt%3B%5Cn%26lt%3B%5C%2Fdiv%26gt%3B%22%2C%22data%22%3A%7B%22itemType%22%3A%22journalArticle%22%2C%22title%22%3A%22Dynamics%20of%20membrane%20protein%5C%2Famphipol%20association%20studied%20by%20F%5Cu00f6rster%20resonance%20energy%20transfer%3A%20implications%20for%20in%20vitro%20studies%20of%20amphipol-stabilized%20membrane%20proteins%22%2C%22creators%22%3A%5B%7B%22creatorType%22%3A%22author%22%2C%22firstName%22%3A%22Manuela%22%2C%22lastName%22%3A%22Zoonens%22%7D%2C%7B%22creatorType%22%3A%22author%22%2C%22firstName%22%3A%22Fabrice%22%2C%22lastName%22%3A%22Giusti%22%7D%2C%7B%22creatorType%22%3A%22author%22%2C%22firstName%22%3A%22Francesca%22%2C%22lastName%22%3A%22Zito%22%7D%2C%7B%22creatorType%22%3A%22author%22%2C%22firstName%22%3A%22Jean-Luc%22%2C%22lastName%22%3A%22Popot%22%7D%5D%2C%22abstractNote%22%3A%22Amphipols%20%28APols%29%20are%20short%20amphipathic%20polymers%20that%20can%20substitute%20for%20detergents%20to%20keep%20membrane%20proteins%20%28MPs%29%20water-soluble%20while%20stabilizing%20them%20biochemically.%20We%20have%20examined%20the%20factors%20that%20determine%20the%20size%20and%20dispersity%20of%20MP%5C%2FAPol%20complexes%20and%20studied%20the%20dynamics%20of%20the%20association%2C%20taking%20as%20a%20model%20system%20the%20transmembrane%20domain%20of%20Escherichia%20coli%20outer%20membrane%20protein%20A%20%28tOmpA%29%20trapped%20by%20A8-35%2C%20a%20polyacrylate-based%20APol.%20Molecular%20sieving%20indicates%20that%20the%20solution%20properties%20of%20the%20APol%20largely%20determine%20those%20of%20tOmpA%5C%2FAPol%20complexes.%20Achieving%20monodispersity%20depends%20on%20using%20amphipols%20that%20themselves%20form%20monodisperse%20particles%2C%20on%20working%20in%20neutral%20or%20basic%20solutions%2C%20and%20on%20the%20presence%20of%20free%20APols.%20In%20order%20to%20investigate%20the%20role%20of%20the%20latter%2C%20a%20fluorescently%20labeled%20version%20of%20A8-35%20has%20been%20synthesized.%20F%5Cu00f6rster%20resonance%20energy%20transfer%20measurements%20show%20that%20extensive%20dilution%20of%20tOmpA%5C%2FA8-35%20particles%20into%20an%20APol-free%20medium%20does%20not%20entail%20any%20detectable%20desorption%20of%20A8-35%2C%20even%20after%20extended%20periods%20of%20time%20%28hours-days%29.%20The%20fluorescent%20APol%2C%20on%20the%20other%20hand%2C%20readily%20exchanges%20for%20other%20surfactants%2C%20be%20they%20detergent%20or%20unlabeled%20APol.%20These%20findings%20are%20discussed%20in%20the%20contexts%20of%20sample%20optimization%20for%20MP%20solution%20studies%20and%20of%20APol-mediated%20MP%20functionalization.%22%2C%22date%22%3A%22Sep%2011%2C%202007%22%2C%22section%22%3A%22%22%2C%22partNumber%22%3A%22%22%2C%22partTitle%22%3A%22%22%2C%22DOI%22%3A%2210.1021%5C%2Fbi7007596%22%2C%22citationKey%22%3A%22%22%2C%22url%22%3A%22%22%2C%22PMID%22%3A%2217705558%22%2C%22PMCID%22%3A%22%22%2C%22ISSN%22%3A%220006-2960%22%2C%22language%22%3A%22eng%22%2C%22collections%22%3A%5B%2263TU6NVS%22%5D%2C%22dateModified%22%3A%222020-06-11T11%3A26%3A23Z%22%7D%7D%2C%7B%22key%22%3A%22IF4LKI85%22%2C%22library%22%3A%7B%22id%22%3A2503009%7D%2C%22meta%22%3A%7B%22creatorSummary%22%3A%22Park%20et%20al.%22%2C%22parsedDate%22%3A%222007-04-01%22%2C%22numChildren%22%3A1%7D%2C%22bib%22%3A%22%26lt%3Bdiv%20class%3D%26quot%3Bcsl-bib-body%26quot%3B%20style%3D%26quot%3Bline-height%3A%201.35%3B%20padding-left%3A%201em%3B%20text-indent%3A-1em%3B%26quot%3B%26gt%3B%5Cn%20%20%26lt%3Bdiv%20class%3D%26quot%3Bcsl-entry%26quot%3B%26gt%3BPark%2C%20K.-H.%2C%20Berrier%2C%20C.%2C%20Lebaupain%2C%20F.%2C%20Pucci%2C%20B.%2C%20Popot%2C%20J.-L.%2C%20Ghazi%2C%20A.%2C%20%26lt%3Bstrong%26gt%3BZito%26lt%3B%5C%2Fstrong%26gt%3B%2C%20F.%2C%202007.%20Fluorinated%20and%20hemifluorinated%20surfactants%20as%20alternatives%20to%20detergents%20for%20membrane%20protein%20cell-free%20synthesis.%20Biochem.%20J.%20403%2C%20183%26%23×2013%3B187.%20%26lt%3Ba%20class%3D%26%23039%3Bzp-DOIURL%26%23039%3B%20href%3D%26%23039%3Bhttps%3A%5C%2F%5C%2Fdoi.org%5C%2F10.1042%5C%2FBJ20061473%26%23039%3B%26gt%3Bhttps%3A%5C%2F%5C%2Fdoi.org%5C%2F10.1042%5C%2FBJ20061473%26lt%3B%5C%2Fa%26gt%3B%26lt%3B%5C%2Fdiv%26gt%3B%5Cn%26lt%3B%5C%2Fdiv%26gt%3B%22%2C%22data%22%3A%7B%22itemType%22%3A%22journalArticle%22%2C%22title%22%3A%22Fluorinated%20and%20hemifluorinated%20surfactants%20as%20alternatives%20to%20detergents%20for%20membrane%20protein%20cell-free%20synthesis%22%2C%22creators%22%3A%5B%7B%22creatorType%22%3A%22author%22%2C%22firstName%22%3A%22Kyu-Ho%22%2C%22lastName%22%3A%22Park%22%7D%2C%7B%22creatorType%22%3A%22author%22%2C%22firstName%22%3A%22Catherine%22%2C%22lastName%22%3A%22Berrier%22%7D%2C%7B%22creatorType%22%3A%22author%22%2C%22firstName%22%3A%22Florence%22%2C%22lastName%22%3A%22Lebaupain%22%7D%2C%7B%22creatorType%22%3A%22author%22%2C%22firstName%22%3A%22Bernard%22%2C%22lastName%22%3A%22Pucci%22%7D%2C%7B%22creatorType%22%3A%22author%22%2C%22firstName%22%3A%22Jean-Luc%22%2C%22lastName%22%3A%22Popot%22%7D%2C%7B%22creatorType%22%3A%22author%22%2C%22firstName%22%3A%22Alexandre%22%2C%22lastName%22%3A%22Ghazi%22%7D%2C%7B%22creatorType%22%3A%22author%22%2C%22firstName%22%3A%22Francesca%22%2C%22lastName%22%3A%22Zito%22%7D%5D%2C%22abstractNote%22%3A%22Hemifluorinated%20and%20fluorinated%20surfactants%20are%20lipophobic%20and%2C%20as%20such%2C%20non-detergent.%20Although%20they%20do%20not%20solubilize%20biological%20membranes%2C%20they%20can%2C%20after%20conventional%20solubilization%2C%20substitute%20for%20detergents%20to%20keep%20membrane%20proteins%20soluble%2C%20which%20generally%20improves%20their%20stability%20%5BBreyton%2C%20Chabaud%2C%20Chaudier%2C%20Pucci%20and%20Popot%20%282004%29%20FEBS%20Lett.%20564%2C%20312-318%5D.%20In%20the%20present%20study%2C%20we%20show%20that%20%28hemi%29fluorinated%20surfactants%20can%20be%20used%20for%20in%20vitro%20synthesis%20of%20membrane%20proteins%3A%20they%20do%20not%20interfere%20with%20protein%20synthesis%2C%20and%20they%20provide%20a%20suitable%20environment%20for%20MscL%2C%20a%20pentameric%20mechanosensitive%20channel%2C%20to%20fold%20and%20oligomerize%20to%20its%20native%20functional%20state.%20Following%20synthesis%2C%20both%20types%20of%20surfactants%20can%20be%20used%20to%20deliver%20MscL%20directly%20to%20pre-formed%20lipid%20vesicles.%20The%20electrophysiological%20activity%20of%20MscL%20synthesized%20in%20vitro%20in%20the%20presence%20of%20either%20hemi-%20or%20per-fluorinated%20surfactant%20is%20similar%20to%20that%20of%20the%20protein%20expressed%20in%20vivo.%22%2C%22date%22%3A%22Apr%2001%2C%202007%22%2C%22section%22%3A%22%22%2C%22partNumber%22%3A%22%22%2C%22partTitle%22%3A%22%22%2C%22DOI%22%3A%2210.1042%5C%2FBJ20061473%22%2C%22citationKey%22%3A%22%22%2C%22url%22%3A%22%22%2C%22PMID%22%3A%2217176254%22%2C%22PMCID%22%3A%22PMC1828882%22%2C%22ISSN%22%3A%221470-8728%22%2C%22language%22%3A%22eng%22%2C%22collections%22%3A%5B%2263TU6NVS%22%5D%2C%22dateModified%22%3A%222020-06-11T10%3A55%3A43Z%22%7D%7D%2C%7B%22key%22%3A%22JDS5FVYZ%22%2C%22library%22%3A%7B%22id%22%3A2503009%7D%2C%22meta%22%3A%7B%22creatorSummary%22%3A%22Petkova%20et%20al.%22%2C%22parsedDate%22%3A%222007-04-01%22%2C%22numChildren%22%3A0%7D%2C%22bib%22%3A%22%26lt%3Bdiv%20class%3D%26quot%3Bcsl-bib-body%26quot%3B%20style%3D%26quot%3Bline-height%3A%201.35%3B%20padding-left%3A%201em%3B%20text-indent%3A-1em%3B%26quot%3B%26gt%3B%5Cn%20%20%26lt%3Bdiv%20class%3D%26quot%3Bcsl-entry%26quot%3B%26gt%3BPetkova%2C%20V.%2C%20Benattar%2C%20J.-J.%2C%20Zoonens%2C%20M.%2C%20%26lt%3Bstrong%26gt%3BZito%26lt%3B%5C%2Fstrong%26gt%3B%2C%20F.%2C%20Popot%2C%20J.-L.%2C%20Polidori%2C%20A.%2C%20Jasseron%2C%20S.%2C%20Pucci%2C%20B.%2C%202007.%20Free-Standing%20Films%20of%20Fluorinated%20Surfactants%20as%202D%20Matrices%20for%20Organizing%20Detergent-Solubilized%20Membrane%20Proteins.%20Langmuir%2023%2C%204303%26%23×2013%3B4309.%20%26lt%3Ba%20class%3D%26%23039%3Bzp-ItemURL%26%23039%3B%20href%3D%26%23039%3Bhttps%3A%5C%2F%5C%2Fdoi.org%5C%2F10.1021%5C%2Fla063249o%26%23039%3B%26gt%3Bhttps%3A%5C%2F%5C%2Fdoi.org%5C%2F10.1021%5C%2Fla063249o%26lt%3B%5C%2Fa%26gt%3B%26lt%3B%5C%2Fdiv%26gt%3B%5Cn%26lt%3B%5C%2Fdiv%26gt%3B%22%2C%22data%22%3A%7B%22itemType%22%3A%22journalArticle%22%2C%22title%22%3A%22Free-Standing%20Films%20of%20Fluorinated%20Surfactants%20as%202D%20Matrices%20for%20Organizing%20Detergent-Solubilized%20Membrane%20Proteins%22%2C%22creators%22%3A%5B%7B%22creatorType%22%3A%22author%22%2C%22firstName%22%3A%22Vera%22%2C%22lastName%22%3A%22Petkova%22%7D%2C%7B%22creatorType%22%3A%22author%22%2C%22firstName%22%3A%22Jean-Jacques%22%2C%22lastName%22%3A%22Benattar%22%7D%2C%7B%22creatorType%22%3A%22author%22%2C%22firstName%22%3A%22Manuela%22%2C%22lastName%22%3A%22Zoonens%22%7D%2C%7B%22creatorType%22%3A%22author%22%2C%22firstName%22%3A%22Francesca%22%2C%22lastName%22%3A%22Zito%22%7D%2C%7B%22creatorType%22%3A%22author%22%2C%22firstName%22%3A%22Jean-Luc%22%2C%22lastName%22%3A%22Popot%22%7D%2C%7B%22creatorType%22%3A%22author%22%2C%22firstName%22%3A%22Ange%22%2C%22lastName%22%3A%22Polidori%22%7D%2C%7B%22creatorType%22%3A%22author%22%2C%22firstName%22%3A%22Sylvain%22%2C%22lastName%22%3A%22Jasseron%22%7D%2C%7B%22creatorType%22%3A%22author%22%2C%22firstName%22%3A%22Bernard%22%2C%22lastName%22%3A%22Pucci%22%7D%5D%2C%22abstractNote%22%3A%22The%20possibility%20of%20organizing%20detergent-solubilized%20membrane%20proteins%20in%20a%20plane%20within%20the%20core%20of%20Newton%20black%20films%20%28NBFs%29%20formed%20from%20fluorinated%20surfactants%20has%20been%20investigated.%20Fluorinated%20surfactants%20have%20the%20interesting%20characteristics%20of%20being%20poorly%20miscible%20with%20detergents%20and%20highly%20surface-active.%20As%20a%20result%2C%20when%20a%20membrane%20proteinthe%20transmembrane%20domain%20of%20OmpA%20%28tOmpA%29solubilized%20by%20the%20nonionic%20detergent%20C8E4%20%28tetraethylene%20glycol%20monooctyl%20ether%29%20was%20injected%20under%20a%20monolayer%20of%20fluorinated%20surfactant%2C%20C8E4%20and%20tOmpA%5C%2FC8E4%20complexes%20remained%20confined%20to%20the%20subphase.%20Vertical%2C%20macroscopic%20NBFs%20were%20drawn%2C%20and%20their%20structure%20was%20investigated%20by%20means%20of%20X-ray%20reflectivity.%20Depending%20on%20experimental%20conditions%2C%20the%20protein%20was%20shown%20to%20organize%20into%20either%20one%20or%20two%20monolayers%20stabilized%20by%20two%20monolayers%20of%20fluorinated%20surfactant.%20Two%20different%20mechanisms%20of%20protein%20insertion%20were%20investigated%3A%5Cu2009%20%28i%29%20attachment%20of%20polyhistidine-tagged%20tOmpA%5C%2FC8E4%20complexes%20to%20nickel-bearing%20polar%20groups%20born%20by%20a%20fluorinated%20surfactant%20and%20%28ii%29%20spontaneous%20diffusion%20into%20the%20surfactant%20films.%20Possible%20applications%20are%20discussed.%22%2C%22date%22%3A%222007-04-01%22%2C%22section%22%3A%22%22%2C%22partNumber%22%3A%22%22%2C%22partTitle%22%3A%22%22%2C%22DOI%22%3A%2210.1021%5C%2Fla063249o%22%2C%22citationKey%22%3A%22%22%2C%22url%22%3A%22https%3A%5C%2F%5C%2Fdoi.org%5C%2F10.1021%5C%2Fla063249o%22%2C%22PMID%22%3A%22%22%2C%22PMCID%22%3A%22%22%2C%22ISSN%22%3A%220743-7463%22%2C%22language%22%3A%22%22%2C%22collections%22%3A%5B%2263TU6NVS%22%5D%2C%22dateModified%22%3A%222020-06-11T10%3A56%3A31Z%22%7D%7D%2C%7B%22key%22%3A%224CI3QDXF%22%2C%22library%22%3A%7B%22id%22%3A2503009%7D%2C%22meta%22%3A%7B%22creatorSummary%22%3A%22de%20Vitry%20et%20al.%22%2C%22parsedDate%22%3A%222004-04-06%22%2C%22numChildren%22%3A1%7D%2C%22bib%22%3A%22%26lt%3Bdiv%20class%3D%26quot%3Bcsl-bib-body%26quot%3B%20style%3D%26quot%3Bline-height%3A%201.35%3B%20padding-left%3A%201em%3B%20text-indent%3A-1em%3B%26quot%3B%26gt%3B%5Cn%20%20%26lt%3Bdiv%20class%3D%26quot%3Bcsl-entry%26quot%3B%26gt%3Bde%20Vitry%2C%20C.%2C%20Desbois%2C%20A.%2C%20Redeker%2C%20V.%2C%20%26lt%3Bstrong%26gt%3BZito%26lt%3B%5C%2Fstrong%26gt%3B%2C%20F.%2C%20Wollman%2C%20F.-A.%2C%202004.%20Biochemical%20and%20spectroscopic%20characterization%20of%20the%20covalent%20binding%20of%20heme%20to%20cytochrome%20b6.%20Biochemistry%2043%2C%203956%26%23×2013%3B3968.%20%26lt%3Ba%20class%3D%26%23039%3Bzp-DOIURL%26%23039%3B%20href%3D%26%23039%3Bhttps%3A%5C%2F%5C%2Fdoi.org%5C%2F10.1021%5C%2Fbi036093p%26%23039%3B%26gt%3Bhttps%3A%5C%2F%5C%2Fdoi.org%5C%2F10.1021%5C%2Fbi036093p%26lt%3B%5C%2Fa%26gt%3B%26lt%3B%5C%2Fdiv%26gt%3B%5Cn%26lt%3B%5C%2Fdiv%26gt%3B%22%2C%22data%22%3A%7B%22itemType%22%3A%22journalArticle%22%2C%22title%22%3A%22Biochemical%20and%20spectroscopic%20characterization%20of%20the%20covalent%20binding%20of%20heme%20to%20cytochrome%20b6%22%2C%22creators%22%3A%5B%7B%22creatorType%22%3A%22author%22%2C%22firstName%22%3A%22Catherine%22%2C%22lastName%22%3A%22de%20Vitry%22%7D%2C%7B%22creatorType%22%3A%22author%22%2C%22firstName%22%3A%22Alain%22%2C%22lastName%22%3A%22Desbois%22%7D%2C%7B%22creatorType%22%3A%22author%22%2C%22firstName%22%3A%22Virginie%22%2C%22lastName%22%3A%22Redeker%22%7D%2C%7B%22creatorType%22%3A%22author%22%2C%22firstName%22%3A%22Francesca%22%2C%22lastName%22%3A%22Zito%22%7D%2C%7B%22creatorType%22%3A%22author%22%2C%22firstName%22%3A%22Francis-Andr%5Cu00e9%22%2C%22lastName%22%3A%22Wollman%22%7D%5D%2C%22abstractNote%22%3A%22The%20three-dimensional%20structure%20of%20the%20cytochrome%20b%286%29f%20complex%20disclosed%20the%20unexpected%20presence%20of%20a%20new%20heme%20c%28i%29%20%5BStroebel%2C%20D.%2C%20Choquet%2C%20Y.%2C%20Popot%2C%20J.-L.%2C%20and%20Picot%2C%20D.%20%282003%29%20Nature%20426%2C%20413-418%3B%20Kurisu%2C%20G.%2C%20Zhang%2C%20H.%2C%20Smith%2C%20J.%20L.%2C%20and%20Cramer%2C%20W.%20A.%20%282003%29%20Science%20302%2C%201009-1014%5D.%20Here%20we%20present%20a%20biochemical%2C%20spectroscopic%2C%20and%20mutagenesis%20study%20of%20this%20unusual%20heme%20binding%20in%20Chlamydomonas%20reinhardtii.%20As%20predicted%20by%20the%20structure%20data%2C%20we%20identify%20a%20Cys%2835%29-containing%20proteolytic%20fragment%20%28Tyr%2825%29-Lys%28111%29%29%20from%20cytochrome%20b%286%29%20as%20a%20peptide%20that%20covalently%20binds%20a%20heme.%20Resonance%20Raman%20spectra%20of%20cyt%20b%286%29f%20complexes%20show%20particular%20frequencies%20in%20nu%282%29%2C%20nu%283%29%2C%20nu%284%29%2C%20and%20nu%288%29%20regions%20that%20identify%20this%20extra%20heme%20as%20a%20ferrous%20c%26%23039%3B-like%20heme%20under%20a%20five-coordinated%20high-spin%20state.%20The%20set%20of%20frequencies%20is%20consistent%20with%20a%20coordination%20by%20either%20a%20water%20molecule%20or%20a%20hydroxide%20ion.%20Other%20changes%20in%20resonance%20Raman%20bands%2C%20observed%20in%20the%20mid-%20and%20low-frequency%20regions%2C%20point%20to%20a%20modification%20in%20conformation%20and%5C%2For%20environment%20of%20at%20least%20one%20b%20heme%20methyl%20and%5C%2For%20propionate%20group.%20Site-directed%20mutagenesis%20of%20apocytochrome%20b%286%29%2C%20leading%20to%20a%20Cys%2835%29Val%20substitution%2C%20generates%20Chlamydomonas%20strains%20that%20are%20unable%20to%20assemble%20cytochrome%20b%286%29f%20complexes.%20On%20the%20basis%20of%20the%20mutant%20phenotype%2C%20we%20discuss%20the%20participation%2C%20in%20the%20covalent%20binding%20of%20heme%20c%28i%29%2C%20of%20the%20nuclear%20CCB%20factors%20that%20we%20identified%20previously%20as%20controlling%20the%20apo%20to%20holo%20conversion%20of%20cytochrome%20b%286%29%20%5BKuras%2C%20R.%2C%20de%20Vitry%2C%20C.%2C%20Choquet%2C%20Y.%2C%20Girard-Bascou%2C%20J.%2C%20Culler%2C%20D.%2C%20B%5Cu00fcschlen%2C%20S.%2C%20Merchant%2C%20S.%2C%20and%20Wollman%2C%20F.-A.%20%281997%29%20J.%20Biol.%20Chem.%20272%2C%2032427-32435%5D.%22%2C%22date%22%3A%22Apr%2006%2C%202004%22%2C%22section%22%3A%22%22%2C%22partNumber%22%3A%22%22%2C%22partTitle%22%3A%22%22%2C%22DOI%22%3A%2210.1021%5C%2Fbi036093p%22%2C%22citationKey%22%3A%22%22%2C%22url%22%3A%22%22%2C%22PMID%22%3A%2215049703%22%2C%22PMCID%22%3A%22%22%2C%22ISSN%22%3A%220006-2960%22%2C%22language%22%3A%22eng%22%2C%22collections%22%3A%5B%22GF75VWB8%22%5D%2C%22dateModified%22%3A%222020-05-25T11%3A49%3A25Z%22%7D%7D%2C%7B%22key%22%3A%229DVDGTNC%22%2C%22library%22%3A%7B%22id%22%3A2503009%7D%2C%22meta%22%3A%7B%22creatorSummary%22%3A%22Popot%20et%20al.%22%2C%22parsedDate%22%3A%222003-08%22%2C%22numChildren%22%3A1%7D%2C%22bib%22%3A%22%26lt%3Bdiv%20class%3D%26quot%3Bcsl-bib-body%26quot%3B%20style%3D%26quot%3Bline-height%3A%201.35%3B%20padding-left%3A%201em%3B%20text-indent%3A-1em%3B%26quot%3B%26gt%3B%5Cn%20%20%26lt%3Bdiv%20class%3D%26quot%3Bcsl-entry%26quot%3B%26gt%3BPopot%2C%20J.-L.%2C%20Berry%2C%20E.A.%2C%20Charvolin%2C%20D.%2C%20Creuzenet%2C%20C.%2C%20Ebel%2C%20C.%2C%20Engelman%2C%20D.M.%2C%20Fl%26%23xF6%3Btenmeyer%2C%20M.%2C%20Giusti%2C%20F.%2C%20Gohon%2C%20Y.%2C%20Hong%2C%20Q.%2C%20Lakey%2C%20J.H.%2C%20Leonard%2C%20K.%2C%20Shuman%2C%20H.A.%2C%20Timmins%2C%20P.%2C%20Warschawski%2C%20D.E.%2C%20%26lt%3Bstrong%26gt%3BZito%26lt%3B%5C%2Fstrong%26gt%3B%2C%20F.%2C%20Zoonens%2C%20M.%2C%20Pucci%2C%20B.%2C%20Tribet%2C%20C.%2C%202003.%20Amphipols%3A%20polymeric%20surfactants%20for%20membrane%20biology%20research.%20Cell.%20Mol.%20Life%20Sci.%2060%2C%201559%26%23×2013%3B1574.%26lt%3B%5C%2Fdiv%26gt%3B%5Cn%26lt%3B%5C%2Fdiv%26gt%3B%22%2C%22data%22%3A%7B%22itemType%22%3A%22journalArticle%22%2C%22title%22%3A%22Amphipols%3A%20polymeric%20surfactants%20for%20membrane%20biology%20research%22%2C%22creators%22%3A%5B%7B%22creatorType%22%3A%22author%22%2C%22firstName%22%3A%22J.-L.%22%2C%22lastName%22%3A%22Popot%22%7D%2C%7B%22creatorType%22%3A%22author%22%2C%22firstName%22%3A%22E.%20A.%22%2C%22lastName%22%3A%22Berry%22%7D%2C%7B%22creatorType%22%3A%22author%22%2C%22firstName%22%3A%22D.%22%2C%22lastName%22%3A%22Charvolin%22%7D%2C%7B%22creatorType%22%3A%22author%22%2C%22firstName%22%3A%22C.%22%2C%22lastName%22%3A%22Creuzenet%22%7D%2C%7B%22creatorType%22%3A%22author%22%2C%22firstName%22%3A%22C.%22%2C%22lastName%22%3A%22Ebel%22%7D%2C%7B%22creatorType%22%3A%22author%22%2C%22firstName%22%3A%22D.%20M.%22%2C%22lastName%22%3A%22Engelman%22%7D%2C%7B%22creatorType%22%3A%22author%22%2C%22firstName%22%3A%22M.%22%2C%22lastName%22%3A%22Fl%5Cu00f6tenmeyer%22%7D%2C%7B%22creatorType%22%3A%22author%22%2C%22firstName%22%3A%22F.%22%2C%22lastName%22%3A%22Giusti%22%7D%2C%7B%22creatorType%22%3A%22author%22%2C%22firstName%22%3A%22Y.%22%2C%22lastName%22%3A%22Gohon%22%7D%2C%7B%22creatorType%22%3A%22author%22%2C%22firstName%22%3A%22Q.%22%2C%22lastName%22%3A%22Hong%22%7D%2C%7B%22creatorType%22%3A%22author%22%2C%22firstName%22%3A%22J.%20H.%22%2C%22lastName%22%3A%22Lakey%22%7D%2C%7B%22creatorType%22%3A%22author%22%2C%22firstName%22%3A%22K.%22%2C%22lastName%22%3A%22Leonard%22%7D%2C%7B%22creatorType%22%3A%22author%22%2C%22firstName%22%3A%22H.%20A.%22%2C%22lastName%22%3A%22Shuman%22%7D%2C%7B%22creatorType%22%3A%22author%22%2C%22firstName%22%3A%22P.%22%2C%22lastName%22%3A%22Timmins%22%7D%2C%7B%22creatorType%22%3A%22author%22%2C%22firstName%22%3A%22D.%20E.%22%2C%22lastName%22%3A%22Warschawski%22%7D%2C%7B%22creatorType%22%3A%22author%22%2C%22firstName%22%3A%22F.%22%2C%22lastName%22%3A%22Zito%22%7D%2C%7B%22creatorType%22%3A%22author%22%2C%22firstName%22%3A%22M.%22%2C%22lastName%22%3A%22Zoonens%22%7D%2C%7B%22creatorType%22%3A%22author%22%2C%22firstName%22%3A%22B.%22%2C%22lastName%22%3A%22Pucci%22%7D%2C%7B%22creatorType%22%3A%22author%22%2C%22firstName%22%3A%22C.%22%2C%22lastName%22%3A%22Tribet%22%7D%5D%2C%22abstractNote%22%3A%22Membrane%20proteins%20classically%20are%20handled%20in%20aqueous%20solutions%20as%20complexes%20with%20detergents.%20The%20dissociating%20character%20of%20detergents%2C%20combined%20with%20the%20need%20to%20maintain%20an%20excess%20of%20them%2C%20frequently%20results%20in%20more%20or%20less%20rapid%20inactivation%20of%20the%20protein%20under%20study.%20Over%20the%20past%20few%20years%2C%20we%20have%20endeavored%20to%20develop%20a%20novel%20family%20of%20surfactants%2C%20dubbed%20amphipols%20%28APs%29.%20APs%20are%20amphiphilic%20polymers%20that%20bind%20to%20the%20transmembrane%20surface%20of%20the%20protein%20in%20a%20noncovalent%20but%2C%20in%20the%20absence%20of%20a%20competing%20surfactant%2C%20quasi-irreversible%20manner.%20Membrane%20proteins%20complexed%20by%20APs%20are%20in%20their%20native%20state%2C%20stable%2C%20and%20they%20remain%20water-soluble%20in%20the%20absence%20of%20detergent%20or%20free%20APs.%20An%20update%20is%20presented%20of%20the%20current%20knowledge%20about%20these%20compounds%20and%20their%20demonstrated%20or%20putative%20uses%20in%20membrane%20biology.%22%2C%22date%22%3A%22Aug%202003%22%2C%22section%22%3A%22%22%2C%22partNumber%22%3A%22%22%2C%22partTitle%22%3A%22%22%2C%22DOI%22%3A%22%22%2C%22citationKey%22%3A%22%22%2C%22url%22%3A%22%22%2C%22PMID%22%3A%2214513831%22%2C%22PMCID%22%3A%22%22%2C%22ISSN%22%3A%221420-682X%22%2C%22language%22%3A%22eng%22%2C%22collections%22%3A%5B%2263TU6NVS%22%5D%2C%22dateModified%22%3A%222020-05-25T12%3A34%3A54Z%22%7D%7D%2C%7B%22key%22%3A%226YYDENGU%22%2C%22library%22%3A%7B%22id%22%3A2503009%7D%2C%22meta%22%3A%7B%22creatorSummary%22%3A%22Choquet%20et%20al.%22%2C%22parsedDate%22%3A%222003-06%22%2C%22numChildren%22%3A1%7D%2C%22bib%22%3A%22%26lt%3Bdiv%20class%3D%26quot%3Bcsl-bib-body%26quot%3B%20style%3D%26quot%3Bline-height%3A%201.35%3B%20padding-left%3A%201em%3B%20text-indent%3A-1em%3B%26quot%3B%26gt%3B%5Cn%20%20%26lt%3Bdiv%20class%3D%26quot%3Bcsl-entry%26quot%3B%26gt%3BChoquet%2C%20Y.%2C%20%26lt%3Bstrong%26gt%3BZito%26lt%3B%5C%2Fstrong%26gt%3B%2C%20F.%2C%20Wostrikoff%2C%20K.%2C%20Wollman%2C%20F.-A.%2C%202003.%20Cytochrome%20f%20translation%20in%20Chlamydomonas%20chloroplast%20is%20autoregulated%20by%20its%20carboxyl-terminal%20domain.%20Plant%20Cell%2015%2C%201443%26%23×2013%3B1454.%20%26lt%3Ba%20class%3D%26%23039%3Bzp-DOIURL%26%23039%3B%20href%3D%26%23039%3Bhttps%3A%5C%2F%5C%2Fdoi.org%5C%2F10.1105%5C%2Ftpc.011692%26%23039%3B%26gt%3Bhttps%3A%5C%2F%5C%2Fdoi.org%5C%2F10.1105%5C%2Ftpc.011692%26lt%3B%5C%2Fa%26gt%3B%26lt%3B%5C%2Fdiv%26gt%3B%5Cn%26lt%3B%5C%2Fdiv%26gt%3B%22%2C%22data%22%3A%7B%22itemType%22%3A%22journalArticle%22%2C%22title%22%3A%22Cytochrome%20f%20translation%20in%20Chlamydomonas%20chloroplast%20is%20autoregulated%20by%20its%20carboxyl-terminal%20domain%22%2C%22creators%22%3A%5B%7B%22creatorType%22%3A%22author%22%2C%22firstName%22%3A%22Yves%22%2C%22lastName%22%3A%22Choquet%22%7D%2C%7B%22creatorType%22%3A%22author%22%2C%22firstName%22%3A%22Francesca%22%2C%22lastName%22%3A%22Zito%22%7D%2C%7B%22creatorType%22%3A%22author%22%2C%22firstName%22%3A%22Katia%22%2C%22lastName%22%3A%22Wostrikoff%22%7D%2C%7B%22creatorType%22%3A%22author%22%2C%22firstName%22%3A%22Francis-Andr%5Cu00e9%22%2C%22lastName%22%3A%22Wollman%22%7D%5D%2C%22abstractNote%22%3A%22The%20rate%20of%20synthesis%20of%20cytochrome%20f%20is%20decreased%20approximately%2010-fold%20when%20it%20does%20not%20assemble%20with%20the%20other%20subunits%20of%20the%20cytochrome%20b%286%29f%20complex%20in%20Chlamydomonas%20reinhardtii%20chloroplasts.%20This%20assembly-mediated%20regulation%20of%20cytochrome%20f%20synthesis%20corresponds%20to%20a%20regulation%20of%20petA%20mRNA%20initiation%20of%20translation.%20Here%2C%20we%20demonstrate%20that%20cytochrome%20f%20translation%20is%20autoregulated%20by%20its%20C-terminal%20domain.%20Five%20cytochrome%20f%20residues%20conserved%20throughout%20all%20chloroplast%20genomes-residue%20Gln-297%20in%20the%20transmembrane%20helix%20and%20a%20cluster%20of%20four%20amino%20acids%2C%20Lys-Gln-Phe-Glu%2C%20at%20positions%20305%20to%20308%2C%20in%20the%20stromal%20extension-participate%20in%20the%20formation%20of%20a%20translation%20repressor%20motif.%20By%20contrast%2C%20positively%20charged%20residues%20in%20the%20stromal%20extension%20have%20little%20influence%20on%20the%20autoregulation%20process.%20These%20results%20do%20not%20favor%20a%20direct%20interaction%20between%20the%20repressor%20motif%20and%20the%20petA%205%26%23039%3B%20untranslated%20region%20but%20suggest%20the%20participation%20of%20a%20membrane-bound%20ternary%20effector.%22%2C%22date%22%3A%22Jun%202003%22%2C%22section%22%3A%22%22%2C%22partNumber%22%3A%22%22%2C%22partTitle%22%3A%22%22%2C%22DOI%22%3A%2210.1105%5C%2Ftpc.011692%22%2C%22citationKey%22%3A%22%22%2C%22url%22%3A%22%22%2C%22PMID%22%3A%2212782735%22%2C%22PMCID%22%3A%22PMC156378%22%2C%22ISSN%22%3A%221040-4651%22%2C%22language%22%3A%22eng%22%2C%22collections%22%3A%5B%2263TU6NVS%22%5D%2C%22dateModified%22%3A%222020-05-25T12%3A34%3A35Z%22%7D%7D%2C%7B%22key%22%3A%227QJV74NA%22%2C%22library%22%3A%7B%22id%22%3A2503009%7D%2C%22meta%22%3A%7B%22creatorSummary%22%3A%22Pierre%20et%20al.%22%2C%22parsedDate%22%3A%222003-02-04%22%2C%22numChildren%22%3A1%7D%2C%22bib%22%3A%22%26lt%3Bdiv%20class%3D%26quot%3Bcsl-bib-body%26quot%3B%20style%3D%26quot%3Bline-height%3A%201.35%3B%20padding-left%3A%201em%3B%20text-indent%3A-1em%3B%26quot%3B%26gt%3B%5Cn%20%20%26lt%3Bdiv%20class%3D%26quot%3Bcsl-entry%26quot%3B%26gt%3BPierre%2C%20Y.%2C%20Chabaud%2C%20E.%2C%20Herv%26%23xE9%3B%2C%20P.%2C%20%26lt%3Bstrong%26gt%3BZito%26lt%3B%5C%2Fstrong%26gt%3B%2C%20F.%2C%20Popot%2C%20J.-L.%2C%202003.%20Site-directed%20photochemical%20coupling%20of%20cytochrome%20b6f-associated%20chlorophyll.%20Biochemistry%2042%2C%201031%26%23×2013%3B1041.%20%26lt%3Ba%20class%3D%26%23039%3Bzp-DOIURL%26%23039%3B%20href%3D%26%23039%3Bhttps%3A%5C%2F%5C%2Fdoi.org%5C%2F10.1021%5C%2Fbi026934c%26%23039%3B%26gt%3Bhttps%3A%5C%2F%5C%2Fdoi.org%5C%2F10.1021%5C%2Fbi026934c%26lt%3B%5C%2Fa%26gt%3B%26lt%3B%5C%2Fdiv%26gt%3B%5Cn%26lt%3B%5C%2Fdiv%26gt%3B%22%2C%22data%22%3A%7B%22itemType%22%3A%22journalArticle%22%2C%22title%22%3A%22Site-directed%20photochemical%20coupling%20of%20cytochrome%20b6f-associated%20chlorophyll%22%2C%22creators%22%3A%5B%7B%22creatorType%22%3A%22author%22%2C%22firstName%22%3A%22Yves%22%2C%22lastName%22%3A%22Pierre%22%7D%2C%7B%22creatorType%22%3A%22author%22%2C%22firstName%22%3A%22Elodie%22%2C%22lastName%22%3A%22Chabaud%22%7D%2C%7B%22creatorType%22%3A%22author%22%2C%22firstName%22%3A%22Paulette%22%2C%22lastName%22%3A%22Herv%5Cu00e9%22%7D%2C%7B%22creatorType%22%3A%22author%22%2C%22firstName%22%3A%22Francesca%22%2C%22lastName%22%3A%22Zito%22%7D%2C%7B%22creatorType%22%3A%22author%22%2C%22firstName%22%3A%22Jean-Luc%22%2C%22lastName%22%3A%22Popot%22%7D%5D%2C%22abstractNote%22%3A%22Cytochrome%20b%286%29f%20complexes%20contain%20a%20molecule%20of%20chlorophyll%20a%20%28Chla%29%2C%20which%2C%20in%20Chlamydomonas%20reinhardtii%2C%20can%20be%20exchanged%20for%20extraneous%20chlorophyll%20during%20protracted%20incubation%20of%20the%20purified%20complex%20in%20detergent%20solution.%20The%20specificity%20of%20the%20site%20and%20its%20location%20in%20the%20complex%20have%20been%20studied%20by%20photochemical%20coupling%20and%20circular%20dichroism%20spectroscopy.%20Following%20substitution%20of%20the%20original%20chlorophyll%20with%20%5B%283%29H%5DChla%2C%20the%20complex%20was%20irradiated%20in%20the%20Soret%20absorption%20band%20of%20Chla%20to%20complete%20bleaching%20and%20the%20amount%20of%20radioactivity%20covalently%20bound%20to%20each%20b%286%29f%20subunit%20determined.%20Strong%20labeling%20was%20found%20to%20be%20associated%20with%20cytochrome%20f.%20The%20labeling%20originates%20from%20%5B%283%29H%5DChla%20molecules%20bound%20to%20a%20slowly%20exchanging%20site%20and%20showing%20the%20properties%20of%20the%20endogenous%20Chl%2C%20not%20from%20molecules%20dissolved%20in%20the%20detergent%20belt%20surrounding%20the%20complex.%20Chlorophyll%20b%20%28Chlb%29%20can%20compete%20with%20Chla%2C%20albeit%20with%20a%20lower%20affinity.%20Irradiation%20of%20%5B%283%29H%5DChlb%20introduced%20into%20the%20slowly%20exchanging%20site%20yielded%20the%20same%20labeling%20pattern%20that%20was%20observed%20with%20%5B%283%29H%5DChla.%20Proteolytic%20cleavage%20showed%20%5B%283%29H%5DChla%20labeling%20to%20be%20strictly%20restricted%20to%20the%20C-terminal%20region%20of%20cytochrome%20f.%20Circular%20dichroism%20spectra%20of%20the%20native%20complex%20revealed%20a%20bilobed%20signal%20characteristic%20of%20excitonic%20interaction%20between%20chlorophylls.%20The%20structural%20and%20evolutionary%20implications%20of%20these%20findings%20are%20discussed.%22%2C%22date%22%3A%22Feb%2004%2C%202003%22%2C%22section%22%3A%22%22%2C%22partNumber%22%3A%22%22%2C%22partTitle%22%3A%22%22%2C%22DOI%22%3A%2210.1021%5C%2Fbi026934c%22%2C%22citationKey%22%3A%22%22%2C%22url%22%3A%22%22%2C%22PMID%22%3A%2212549924%22%2C%22PMCID%22%3A%22%22%2C%22ISSN%22%3A%220006-2960%22%2C%22language%22%3A%22eng%22%2C%22collections%22%3A%5B%2263TU6NVS%22%5D%2C%22dateModified%22%3A%222020-05-25T12%3A34%3A47Z%22%7D%7D%2C%7B%22key%22%3A%22SH4KM579%22%2C%22library%22%3A%7B%22id%22%3A2503009%7D%2C%22meta%22%3A%7B%22creatorSummary%22%3A%22Chaudier%20et%20al.%22%2C%22parsedDate%22%3A%222002-06-17%22%2C%22numChildren%22%3A1%7D%2C%22bib%22%3A%22%26lt%3Bdiv%20class%3D%26quot%3Bcsl-bib-body%26quot%3B%20style%3D%26quot%3Bline-height%3A%201.35%3B%20padding-left%3A%201em%3B%20text-indent%3A-1em%3B%26quot%3B%26gt%3B%5Cn%20%20%26lt%3Bdiv%20class%3D%26quot%3Bcsl-entry%26quot%3B%26gt%3BChaudier%2C%20Y.%2C%20%26lt%3Bstrong%26gt%3BZito%26lt%3B%5C%2Fstrong%26gt%3B%2C%20F.%2C%20Barth%26%23xE9%3Bl%26%23xE9%3Bmy%2C%20P.%2C%20Stroebel%2C%20D.%2C%20Am%26%23xE9%3Bduri%2C%20B.%2C%20Popot%2C%20J.-L.%2C%20Pucci%2C%20B.%2C%202002.%20Synthesis%20and%20preliminary%20biochemical%20assessment%20of%20ethyl-terminated%20perfluoroalkylamine%20oxide%20surfactants.%20Bioorg.%20Med.%20Chem.%20Lett.%2012%2C%201587%26%23×2013%3B1590.%20%26lt%3Ba%20class%3D%26%23039%3Bzp-DOIURL%26%23039%3B%20href%3D%26%23039%3Bhttps%3A%5C%2F%5C%2Fdoi.org%5C%2F10.1016%5C%2Fs0960-894x%2802%2900242-1%26%23039%3B%26gt%3Bhttps%3A%5C%2F%5C%2Fdoi.org%5C%2F10.1016%5C%2Fs0960-894x%2802%2900242-1%26lt%3B%5C%2Fa%26gt%3B%26lt%3B%5C%2Fdiv%26gt%3B%5Cn%26lt%3B%5C%2Fdiv%26gt%3B%22%2C%22data%22%3A%7B%22itemType%22%3A%22journalArticle%22%2C%22title%22%3A%22Synthesis%20and%20preliminary%20biochemical%20assessment%20of%20ethyl-terminated%20perfluoroalkylamine%20oxide%20surfactants%22%2C%22creators%22%3A%5B%7B%22creatorType%22%3A%22author%22%2C%22firstName%22%3A%22Yann%22%2C%22lastName%22%3A%22Chaudier%22%7D%2C%7B%22creatorType%22%3A%22author%22%2C%22firstName%22%3A%22Francesca%22%2C%22lastName%22%3A%22Zito%22%7D%2C%7B%22creatorType%22%3A%22author%22%2C%22firstName%22%3A%22Philippe%22%2C%22lastName%22%3A%22Barth%5Cu00e9l%5Cu00e9my%22%7D%2C%7B%22creatorType%22%3A%22author%22%2C%22firstName%22%3A%22David%22%2C%22lastName%22%3A%22Stroebel%22%7D%2C%7B%22creatorType%22%3A%22author%22%2C%22firstName%22%3A%22Bruno%22%2C%22lastName%22%3A%22Am%5Cu00e9duri%22%7D%2C%7B%22creatorType%22%3A%22author%22%2C%22firstName%22%3A%22Jean-Luc%22%2C%22lastName%22%3A%22Popot%22%7D%2C%7B%22creatorType%22%3A%22author%22%2C%22firstName%22%3A%22Bernard%22%2C%22lastName%22%3A%22Pucci%22%7D%5D%2C%22abstractNote%22%3A%22The%20synthesis%20and%20usefulness%20in%20membrane%20biochemistry%20of%20a%20new%20class%20of%20surfactants%20have%20been%20investigated.%201-Ethyl-2-dimethylamine%20oxide%20polar%20heads%20were%20grafted%20onto%20a%20hydrocarbon%2C%20a%20fluorocarbon%20or%20an%20ethyl-capped%20fluorocarbon%20hydrophobic%20tail.%20The%20ability%20of%20the%20resulting%20surfactants%20to%20extract%20and%5C%2For%20to%20stabilize%20in%20aqueous%20solution%20a%20test%20membrane%20protein%2C%20cytochrome%20b%286%29f%2C%20was%20evaluated.%20While%20it%20is%20not%20a%20detergent%2C%20the%20hemifluorinated%20derivative%20efficiently%20kept%20purified%20cytochrome%20b%286%29f%20soluble%2C%20native%20and%20functional.%20The%20data%20suggest%20that%20alkyl-capped%20fluorocarbon%20surfactants%20provide%20an%20interesting%20alternative%20to%20classical%20detergents%20for%20handling%20membrane%20proteins%20in%20aqueous%20solutions%20under%20non-dissociating%20conditions.%22%2C%22date%22%3A%22Jun%2017%2C%202002%22%2C%22section%22%3A%22%22%2C%22partNumber%22%3A%22%22%2C%22partTitle%22%3A%22%22%2C%22DOI%22%3A%2210.1016%5C%2Fs0960-894x%2802%2900242-1%22%2C%22citationKey%22%3A%22%22%2C%22url%22%3A%22%22%2C%22PMID%22%3A%2212039568%22%2C%22PMCID%22%3A%22%22%2C%22ISSN%22%3A%220960-894X%22%2C%22language%22%3A%22eng%22%2C%22collections%22%3A%5B%2263TU6NVS%22%5D%2C%22dateModified%22%3A%222020-05-25T14%3A58%3A14Z%22%7D%7D%2C%7B%22key%22%3A%22NM73SWWN%22%2C%22library%22%3A%7B%22id%22%3A2503009%7D%2C%22meta%22%3A%7B%22creatorSummary%22%3A%22Zito%20et%20al.%22%2C%22parsedDate%22%3A%222002-04-05%22%2C%22numChildren%22%3A1%7D%2C%22bib%22%3A%22%26lt%3Bdiv%20class%3D%26quot%3Bcsl-bib-body%26quot%3B%20style%3D%26quot%3Bline-height%3A%201.35%3B%20padding-left%3A%201em%3B%20text-indent%3A-1em%3B%26quot%3B%26gt%3B%5Cn%20%20%26lt%3Bdiv%20class%3D%26quot%3Bcsl-entry%26quot%3B%26gt%3B%26lt%3Bstrong%26gt%3BZito%26lt%3B%5C%2Fstrong%26gt%3B%2C%20F.%2C%20Vinh%2C%20J.%2C%20Popot%2C%20J.-L.%2C%20Finazzi%2C%20G.%2C%202002.%20Chimeric%20fusions%20of%20subunit%20IV%20and%20PetL%20in%20the%20b6f%20complex%20of%20Chlamydomonas%20reinhardtii%3A%20structural%20implications%20and%20consequences%20on%20state%20transitions.%20J.%20Biol.%20Chem.%20277%2C%2012446%26%23×2013%3B12455.%20%26lt%3Ba%20class%3D%26%23039%3Bzp-DOIURL%26%23039%3B%20href%3D%26%23039%3Bhttps%3A%5C%2F%5C%2Fdoi.org%5C%2F10.1074%5C%2Fjbc.M110914200%26%23039%3B%26gt%3Bhttps%3A%5C%2F%5C%2Fdoi.org%5C%2F10.1074%5C%2Fjbc.M110914200%26lt%3B%5C%2Fa%26gt%3B%26lt%3B%5C%2Fdiv%26gt%3B%5Cn%26lt%3B%5C%2Fdiv%26gt%3B%22%2C%22data%22%3A%7B%22itemType%22%3A%22journalArticle%22%2C%22title%22%3A%22Chimeric%20fusions%20of%20subunit%20IV%20and%20PetL%20in%20the%20b6f%20complex%20of%20Chlamydomonas%20reinhardtii%3A%20structural%20implications%20and%20consequences%20on%20state%20transitions%22%2C%22creators%22%3A%5B%7B%22creatorType%22%3A%22author%22%2C%22firstName%22%3A%22Francesca%22%2C%22lastName%22%3A%22Zito%22%7D%2C%7B%22creatorType%22%3A%22author%22%2C%22firstName%22%3A%22Joelle%22%2C%22lastName%22%3A%22Vinh%22%7D%2C%7B%22creatorType%22%3A%22author%22%2C%22firstName%22%3A%22Jean-Luc%22%2C%22lastName%22%3A%22Popot%22%7D%2C%7B%22creatorType%22%3A%22author%22%2C%22firstName%22%3A%22Giovanni%22%2C%22lastName%22%3A%22Finazzi%22%7D%5D%2C%22abstractNote%22%3A%22The%20cytochrome%20b%286%29f%20complex%20of%20Chlamydomonas%20reinhardtii%20contains%20four%20large%20subunits%20and%20at%20least%20three%20small%20ones%2C%20PetG%2C%20PetL%2C%20and%20PetM%2C%20whose%20role%20and%20location%20are%20unknown.%20Chimeric%20proteins%20have%20been%20constructed%2C%20in%20which%20the%20C%20terminus%20of%20subunit%20IV%20is%20fused%20to%20either%20one%20or%20the%20other%20of%20the%20two%20putative%20N%20termini%20of%20PetL.%20Biochemical%20and%20functional%20analysis%20of%20the%20chimeras%20together%20with%20mass%20spectrometry%20analysis%20of%20the%20wild-type%20%28WT%29%20complex%20led%20to%20the%20following%20conclusions%3A%20%28i%29%20neither%20a%20free%20subunit%20IV%20C%20terminus%20nor%20a%20free%20PetL%20N%20terminus%20is%20required%20for%20assembly%20of%20the%20b%286%29f%20complex%3B%20%28ii%29%20the%20first%20AUG%20codon%20in%20the%20sequence%20of%20the%20gene%20petL%20is%20used%20for%20initiation%3B%20%28iii%29%20the%20N%20terminus%20of%20WT%20PetL%20lies%20in%20the%20lumen%3B%20%28iv%29%20in%20the%20WT%20complex%2C%20the%20N%20terminus%20of%20PetL%20and%20the%20C%20terminus%20of%20subunit%20IV%20are%20within%20reach%20of%20each%20other%3B%20%28v%29%20the%20purified%20b%286%29f%20complex%20from%20C.%20reinhardtii%20contains%20an%20eighth%2C%20hitherto%20unrecognized%20subunit%2C%20PetN%3B%20and%20%28vi%29%20the%20ability%20to%20perform%20state%20transitions%20is%20lost%20in%20the%20chimeric%20mutants%2C%20although%20%28vii%29%20the%20Q-cycle%20is%20unaffected.%20A%20structural%20hypothesis%20is%20presented%20to%20account%20for%20this%20peculiar%20phenotype.%22%2C%22date%22%3A%22Apr%2005%2C%202002%22%2C%22section%22%3A%22%22%2C%22partNumber%22%3A%22%22%2C%22partTitle%22%3A%22%22%2C%22DOI%22%3A%2210.1074%5C%2Fjbc.M110914200%22%2C%22citationKey%22%3A%22%22%2C%22url%22%3A%22%22%2C%22PMID%22%3A%2211796719%22%2C%22PMCID%22%3A%22%22%2C%22ISSN%22%3A%220021-9258%22%2C%22language%22%3A%22eng%22%2C%22collections%22%3A%5B%2263TU6NVS%22%5D%2C%22dateModified%22%3A%222020-06-11T11%3A26%3A10Z%22%7D%7D%2C%7B%22key%22%3A%22B79B8RVC%22%2C%22library%22%3A%7B%22id%22%3A2503009%7D%2C%22meta%22%3A%7B%22creatorSummary%22%3A%22Finazzi%20et%20al.%22%2C%22parsedDate%22%3A%222002-03%22%2C%22numChildren%22%3A1%7D%2C%22bib%22%3A%22%26lt%3Bdiv%20class%3D%26quot%3Bcsl-bib-body%26quot%3B%20style%3D%26quot%3Bline-height%3A%201.35%3B%20padding-left%3A%201em%3B%20text-indent%3A-1em%3B%26quot%3B%26gt%3B%5Cn%20%20%26lt%3Bdiv%20class%3D%26quot%3Bcsl-entry%26quot%3B%26gt%3BFinazzi%2C%20G.%2C%20Rappaport%2C%20F.%2C%20Furia%2C%20A.%2C%20Fleischmann%2C%20M.%2C%20Rochaix%2C%20J.-D.%2C%20%26lt%3Bstrong%26gt%3BZito%26lt%3B%5C%2Fstrong%26gt%3B%2C%20F.%2C%20Forti%2C%20G.%2C%202002.%20Involvement%20of%20state%20transitions%20in%20the%20switch%20between%20linear%20and%20cyclic%20electron%20flow%20in%20Chlamydomonas%20reinhardtii.%20EMBO%20Rep.%203%2C%20280%26%23×2013%3B285.%20%26lt%3Ba%20class%3D%26%23039%3Bzp-DOIURL%26%23039%3B%20href%3D%26%23039%3Bhttps%3A%5C%2F%5C%2Fdoi.org%5C%2F10.1093%5C%2Fembo-reports%5C%2Fkvf047%26%23039%3B%26gt%3Bhttps%3A%5C%2F%5C%2Fdoi.org%5C%2F10.1093%5C%2Fembo-reports%5C%2Fkvf047%26lt%3B%5C%2Fa%26gt%3B%26lt%3B%5C%2Fdiv%26gt%3B%5Cn%26lt%3B%5C%2Fdiv%26gt%3B%22%2C%22data%22%3A%7B%22itemType%22%3A%22journalArticle%22%2C%22title%22%3A%22Involvement%20of%20state%20transitions%20in%20the%20switch%20between%20linear%20and%20cyclic%20electron%20flow%20in%20Chlamydomonas%20reinhardtii%22%2C%22creators%22%3A%5B%7B%22creatorType%22%3A%22author%22%2C%22firstName%22%3A%22Giovanni%22%2C%22lastName%22%3A%22Finazzi%22%7D%2C%7B%22creatorType%22%3A%22author%22%2C%22firstName%22%3A%22Fabrice%22%2C%22lastName%22%3A%22Rappaport%22%7D%2C%7B%22creatorType%22%3A%22author%22%2C%22firstName%22%3A%22Alberto%22%2C%22lastName%22%3A%22Furia%22%7D%2C%7B%22creatorType%22%3A%22author%22%2C%22firstName%22%3A%22Mark%22%2C%22lastName%22%3A%22Fleischmann%22%7D%2C%7B%22creatorType%22%3A%22author%22%2C%22firstName%22%3A%22Jean-David%22%2C%22lastName%22%3A%22Rochaix%22%7D%2C%7B%22creatorType%22%3A%22author%22%2C%22firstName%22%3A%22Francesca%22%2C%22lastName%22%3A%22Zito%22%7D%2C%7B%22creatorType%22%3A%22author%22%2C%22firstName%22%3A%22Giorgio%22%2C%22lastName%22%3A%22Forti%22%7D%5D%2C%22abstractNote%22%3A%22The%20energetic%20metabolism%20of%20photosynthetic%20organisms%20is%20profoundly%20influenced%20by%20state%20transitions%20and%20cyclic%20electron%20flow%20around%20photosystem%20I.%20The%20former%20involve%20a%20reversible%20redistribution%20of%20the%20light-harvesting%20antenna%20between%20photosystem%20I%20and%20photosystem%20II%20and%20optimize%20light%20energy%20utilization%20in%20photosynthesis%20whereas%20the%20latter%20process%20modulates%20the%20photosynthetic%20yield.%20We%20have%20used%20the%20wild-type%20and%20three%20mutant%20strains%20of%20the%20green%20alga%20Chlamydomonas%20reinhardtii–locked%20in%20state%20I%20%28stt7%29%2C%20lacking%20the%20photosystem%20II%20outer%20antennae%20%28bf4%29%20or%20accumulating%20low%20amounts%20of%20cytochrome%20b6f%20complex%20%28A-AUU%29–and%20measured%20electron%20flow%20though%20the%20cytochrome%20b6f%20complex%2C%20oxygen%20evolution%20rates%20and%20fluorescence%20emission%20during%20state%20transitions.%20The%20results%20demonstrate%20that%20the%20transition%20from%20state%201%20to%20state%202%20induces%20a%20switch%20from%20linear%20to%20cyclic%20electron%20flow%20in%20this%20alga%20and%20reveal%20a%20strict%20cause-effect%20relationship%20between%20the%20redistribution%20of%20antenna%20complexes%20during%20state%20transitions%20and%20the%20onset%20of%20cyclic%20electron%20flow.%22%2C%22date%22%3A%22Mar%202002%22%2C%22section%22%3A%22%22%2C%22partNumber%22%3A%22%22%2C%22partTitle%22%3A%22%22%2C%22DOI%22%3A%2210.1093%5C%2Fembo-reports%5C%2Fkvf047%22%2C%22citationKey%22%3A%22%22%2C%22url%22%3A%22%22%2C%22PMID%22%3A%2211850400%22%2C%22PMCID%22%3A%22PMC1084013%22%2C%22ISSN%22%3A%221469-221X%22%2C%22language%22%3A%22eng%22%2C%22collections%22%3A%5B%2263TU6NVS%22%5D%2C%22dateModified%22%3A%222020-05-25T14%3A58%3A20Z%22%7D%7D%2C%7B%22key%22%3A%222PKFRYLW%22%2C%22library%22%3A%7B%22id%22%3A2503009%7D%2C%22meta%22%3A%7B%22creatorSummary%22%3A%22Choquet%20et%20al.%22%2C%22parsedDate%22%3A%222001-08%22%2C%22numChildren%22%3A1%7D%2C%22bib%22%3A%22%26lt%3Bdiv%20class%3D%26quot%3Bcsl-bib-body%26quot%3B%20style%3D%26quot%3Bline-height%3A%201.35%3B%20padding-left%3A%201em%3B%20text-indent%3A-1em%3B%26quot%3B%26gt%3B%5Cn%20%20%26lt%3Bdiv%20class%3D%26quot%3Bcsl-entry%26quot%3B%26gt%3BChoquet%2C%20Y.%2C%20Wostrikoff%2C%20K.%2C%20Rimbault%2C%20B.%2C%20%26lt%3Bstrong%26gt%3BZito%26lt%3B%5C%2Fstrong%26gt%3B%2C%20F.%2C%20Girard-Bascou%2C%20J.%2C%20Drapier%2C%20D.%2C%20Wollman%2C%20F.A.%2C%202001.%20Assembly-controlled%20regulation%20of%20chloroplast%20gene%20translation.%20Biochem.%20Soc.%20Trans.%2029%2C%20421%26%23×2013%3B426.%20%26lt%3Ba%20class%3D%26%23039%3Bzp-DOIURL%26%23039%3B%20href%3D%26%23039%3Bhttps%3A%5C%2F%5C%2Fdoi.org%5C%2F10.1042%5C%2Fbst0290421%26%23039%3B%26gt%3Bhttps%3A%5C%2F%5C%2Fdoi.org%5C%2F10.1042%5C%2Fbst0290421%26lt%3B%5C%2Fa%26gt%3B%26lt%3B%5C%2Fdiv%26gt%3B%5Cn%26lt%3B%5C%2Fdiv%26gt%3B%22%2C%22data%22%3A%7B%22itemType%22%3A%22journalArticle%22%2C%22title%22%3A%22Assembly-controlled%20regulation%20of%20chloroplast%20gene%20translation%22%2C%22creators%22%3A%5B%7B%22creatorType%22%3A%22author%22%2C%22firstName%22%3A%22Y.%22%2C%22lastName%22%3A%22Choquet%22%7D%2C%7B%22creatorType%22%3A%22author%22%2C%22firstName%22%3A%22K.%22%2C%22lastName%22%3A%22Wostrikoff%22%7D%2C%7B%22creatorType%22%3A%22author%22%2C%22firstName%22%3A%22B.%22%2C%22lastName%22%3A%22Rimbault%22%7D%2C%7B%22creatorType%22%3A%22author%22%2C%22firstName%22%3A%22F.%22%2C%22lastName%22%3A%22Zito%22%7D%2C%7B%22creatorType%22%3A%22author%22%2C%22firstName%22%3A%22J.%22%2C%22lastName%22%3A%22Girard-Bascou%22%7D%2C%7B%22creatorType%22%3A%22author%22%2C%22firstName%22%3A%22D.%22%2C%22lastName%22%3A%22Drapier%22%7D%2C%7B%22creatorType%22%3A%22author%22%2C%22firstName%22%3A%22F.%20A.%22%2C%22lastName%22%3A%22Wollman%22%7D%5D%2C%22abstractNote%22%3A%22Studies%20of%20the%20biogenesis%20of%20the%20photosynthetic%20protein%20complexes%20in%20the%20unicellular%20green%20alga%20Chlamydomonas%20reinhardtii%20have%20pointed%20to%20the%20importance%20of%20the%20concerted%20expression%20of%20nuclear%20and%20chloroplast%20genomes.%20The%20accumulation%20of%20chloroplast-%20and%20nuclear-encoded%20subunits%20is%20concerted%2C%20most%20often%20as%20a%20result%20of%20the%20rapid%20proteolytic%20disposal%20of%20unassembled%20subunits%2C%20but%20the%20rate%20of%20synthesis%20of%20some%20chloroplast-encoded%20subunits%20from%20photosynthetic%20protein%20complexes%2C%20designed%20as%20CES%20proteins%20%28Controlled%20by%20Epistasy%20of%20Synthesis%29%2C%20is%20regulated%20by%20the%20availability%20of%20their%20assembly%20partners%20from%20the%20same%20complex.%20Cytochrome%20f%2C%20a%20major%20subunit%20of%20the%20cytochrome%20b%286%29f%20complex%20is%20a%20model%20protein%20for%20the%20study%20of%20the%20CES%20process.%20In%20the%20absence%20of%20subunit%20IV%2C%20another%20subunit%20of%20the%20cytochrome%20b%286%29f%20complex%2C%20its%20synthesis%20is%20decreased%20by%2090%25.%20This%20results%20from%20a%20negative%20autoregulation%20of%20cytochrome%20f%20translation%20initiation%2C%20mediated%20by%20a%20regulatory%20motif%20carried%20by%20the%20C-terminal%20domain%20of%20the%20unassembled%20protein%20%5BChoquet%2C%20Stern%2C%20Wostrikoff%2C%20Kuras%2C%20Girard-Bascou%20and%20Wollman%20%281998%29%20Proc.%20Natl.%20Acad.%20Sci.%20U.S.A.%2095%2C%204380-4385%5D.%20Using%20site-directed%20mutagenesis%2C%20we%20have%20characterized%20this%20regulatory%20motif.%20We%20discuss%20the%20possible%20implications%20regarding%20the%20mechanism%20of%20the%20CES%20process%20for%20cytochrome%20f%20expression.%20We%20have%20studied%20the%20possible%20generalization%20of%20this%20mechanism%20to%20other%20CES%20proteins.%22%2C%22date%22%3A%22Aug%202001%22%2C%22section%22%3A%22%22%2C%22partNumber%22%3A%22%22%2C%22partTitle%22%3A%22%22%2C%22DOI%22%3A%2210.1042%5C%2Fbst0290421%22%2C%22citationKey%22%3A%22%22%2C%22url%22%3A%22%22%2C%22PMID%22%3A%2211498001%22%2C%22PMCID%22%3A%22%22%2C%22ISSN%22%3A%220300-5127%22%2C%22language%22%3A%22eng%22%2C%22collections%22%3A%5B%2263TU6NVS%22%5D%2C%22dateModified%22%3A%222020-05-25T15%3A16%3A56Z%22%7D%7D%2C%7B%22key%22%3A%223X4XE7Z6%22%2C%22library%22%3A%7B%22id%22%3A2503009%7D%2C%22meta%22%3A%7B%22creatorSummary%22%3A%22Finazzi%20et%20al.%22%2C%22parsedDate%22%3A%222001-03-30%22%2C%22numChildren%22%3A1%7D%2C%22bib%22%3A%22%26lt%3Bdiv%20class%3D%26quot%3Bcsl-bib-body%26quot%3B%20style%3D%26quot%3Bline-height%3A%201.35%3B%20padding-left%3A%201em%3B%20text-indent%3A-1em%3B%26quot%3B%26gt%3B%5Cn%20%20%26lt%3Bdiv%20class%3D%26quot%3Bcsl-entry%26quot%3B%26gt%3BFinazzi%2C%20G.%2C%20%26lt%3Bstrong%26gt%3BZito%26lt%3B%5C%2Fstrong%26gt%3B%2C%20F.%2C%20Barbagallo%2C%20R.P.%2C%20Wollman%2C%20F.A.%2C%202001.%20Contrasted%20effects%20of%20inhibitors%20of%20cytochrome%20b6f%20complex%20on%20state%20transitions%20in%20Chlamydomonas%20reinhardtii%3A%20the%20role%20of%20Qo%20site%20occupancy%20in%20LHCII%20kinase%20activation.%20J.%20Biol.%20Chem.%20276%2C%209770%26%23×2013%3B9774.%20%26lt%3Ba%20class%3D%26%23039%3Bzp-DOIURL%26%23039%3B%20href%3D%26%23039%3Bhttps%3A%5C%2F%5C%2Fdoi.org%5C%2F10.1074%5C%2Fjbc.M010092200%26%23039%3B%26gt%3Bhttps%3A%5C%2F%5C%2Fdoi.org%5C%2F10.1074%5C%2Fjbc.M010092200%26lt%3B%5C%2Fa%26gt%3B%26lt%3B%5C%2Fdiv%26gt%3B%5Cn%26lt%3B%5C%2Fdiv%26gt%3B%22%2C%22data%22%3A%7B%22itemType%22%3A%22journalArticle%22%2C%22title%22%3A%22Contrasted%20effects%20of%20inhibitors%20of%20cytochrome%20b6f%20complex%20on%20state%20transitions%20in%20Chlamydomonas%20reinhardtii%3A%20the%20role%20of%20Qo%20site%20occupancy%20in%20LHCII%20kinase%20activation%22%2C%22creators%22%3A%5B%7B%22creatorType%22%3A%22author%22%2C%22firstName%22%3A%22G.%22%2C%22lastName%22%3A%22Finazzi%22%7D%2C%7B%22creatorType%22%3A%22author%22%2C%22firstName%22%3A%22F.%22%2C%22lastName%22%3A%22Zito%22%7D%2C%7B%22creatorType%22%3A%22author%22%2C%22firstName%22%3A%22R.%20P.%22%2C%22lastName%22%3A%22Barbagallo%22%7D%2C%7B%22creatorType%22%3A%22author%22%2C%22firstName%22%3A%22F.%20A.%22%2C%22lastName%22%3A%22Wollman%22%7D%5D%2C%22abstractNote%22%3A%22We%20have%20investigated%20the%20relationship%20between%20the%20occupancy%20of%20the%20Q%28o%29%20site%20in%20the%20cytochrome%20b%286%29f%20complex%20and%20the%20activation%20of%20the%20LHCII%20protein%20kinase%20that%20controls%20state%20transitions.%20To%20this%20aim%2C%20fluorescence%20emission%20and%20LHCII%20phosphorylation%20patterns%20were%20studied%20in%20whole%20cells%20of%20Chlamydomonas%20reinhardtii%20treated%20with%20different%20plastoquinone%20analogues.%20The%20analysis%20of%20fluorescence%20induction%20at%20room%20temperature%20indicates%20that%20stigmatellin%20consistently%20prevented%20transition%20to%20State%202%2C%20whereas%202%2C5-dibromo-3-methyl-6-isopropyl-p-benzoquinone%20behaved%20as%20an%20inhibitor%20of%20state%20transitions%20only%20after%20the%20cells%20were%20preilluminated.%20The%20same%20effects%20were%20observed%20on%20the%20phosphorylation%20patterns%20of%20the%20LHCII%20proteins%2C%20while%20subunit%20V%20of%20the%20cytochrome%20b%286%29f%20complex%20showed%20a%20different%20behavior.%20These%20findings%20are%20discussed%20on%20the%20basis%20of%20a%20dynamic%20structural%20model%20of%20cytochrome%20b%286%29f%20that%20relates%20the%20activation%20of%20the%20LHCII%20kinase%20to%20the%20occupancy%20of%20the%20Q%28o%29%20site%20and%20the%20movement%20of%20the%20Rieske%20protein.%22%2C%22date%22%3A%22Mar%2030%2C%202001%22%2C%22section%22%3A%22%22%2C%22partNumber%22%3A%22%22%2C%22partTitle%22%3A%22%22%2C%22DOI%22%3A%2210.1074%5C%2Fjbc.M010092200%22%2C%22citationKey%22%3A%22%22%2C%22url%22%3A%22%22%2C%22PMID%22%3A%2211134032%22%2C%22PMCID%22%3A%22%22%2C%22ISSN%22%3A%220021-9258%22%2C%22language%22%3A%22eng%22%2C%22collections%22%3A%5B%22GF75VWB8%22%5D%2C%22dateModified%22%3A%222020-05-25T15%3A11%3A30Z%22%7D%7D%2C%7B%22key%22%3A%22YJQQ8MDQ%22%2C%22library%22%3A%7B%22id%22%3A2503009%7D%2C%22meta%22%3A%7B%22creatorSummary%22%3A%22Zito%20et%20al.%22%2C%22parsedDate%22%3A%221999-06-01%22%2C%22numChildren%22%3A1%7D%2C%22bib%22%3A%22%26lt%3Bdiv%20class%3D%26quot%3Bcsl-bib-body%26quot%3B%20style%3D%26quot%3Bline-height%3A%201.35%3B%20padding-left%3A%201em%3B%20text-indent%3A-1em%3B%26quot%3B%26gt%3B%5Cn%20%20%26lt%3Bdiv%20class%3D%26quot%3Bcsl-entry%26quot%3B%26gt%3B%26lt%3Bstrong%26gt%3BZito%26lt%3B%5C%2Fstrong%26gt%3B%2C%20F.%2C%20Finazzi%2C%20G.%2C%20Delosme%2C%20R.%2C%20Nitschke%2C%20W.%2C%20Picot%2C%20D.%2C%20Wollman%2C%20F.A.%2C%201999.%20The%20Qo%20site%20of%20cytochrome%20b6f%20complexes%20controls%20the%20activation%20of%20the%20LHCII%20kinase.%20EMBO%20J.%2018%2C%202961%26%23×2013%3B2969.%20%26lt%3Ba%20class%3D%26%23039%3Bzp-DOIURL%26%23039%3B%20href%3D%26%23039%3Bhttps%3A%5C%2F%5C%2Fdoi.org%5C%2F10.1093%5C%2Femboj%5C%2F18.11.2961%26%23039%3B%26gt%3Bhttps%3A%5C%2F%5C%2Fdoi.org%5C%2F10.1093%5C%2Femboj%5C%2F18.11.2961%26lt%3B%5C%2Fa%26gt%3B%26lt%3B%5C%2Fdiv%26gt%3B%5Cn%26lt%3B%5C%2Fdiv%26gt%3B%22%2C%22data%22%3A%7B%22itemType%22%3A%22journalArticle%22%2C%22title%22%3A%22The%20Qo%20site%20of%20cytochrome%20b6f%20complexes%20controls%20the%20activation%20of%20the%20LHCII%20kinase%22%2C%22creators%22%3A%5B%7B%22creatorType%22%3A%22author%22%2C%22firstName%22%3A%22F.%22%2C%22lastName%22%3A%22Zito%22%7D%2C%7B%22creatorType%22%3A%22author%22%2C%22firstName%22%3A%22G.%22%2C%22lastName%22%3A%22Finazzi%22%7D%2C%7B%22creatorType%22%3A%22author%22%2C%22firstName%22%3A%22R.%22%2C%22lastName%22%3A%22Delosme%22%7D%2C%7B%22creatorType%22%3A%22author%22%2C%22firstName%22%3A%22W.%22%2C%22lastName%22%3A%22Nitschke%22%7D%2C%7B%22creatorType%22%3A%22author%22%2C%22firstName%22%3A%22D.%22%2C%22lastName%22%3A%22Picot%22%7D%2C%7B%22creatorType%22%3A%22author%22%2C%22firstName%22%3A%22F.%20A.%22%2C%22lastName%22%3A%22Wollman%22%7D%5D%2C%22abstractNote%22%3A%22We%20created%20a%20Qo%20pocket%20mutant%20by%20site-directed%20mutagenesis%20of%20the%20chloroplast%20petD%20gene%20in%20Chlamydomonas%20reinhardtii.%20We%20mutated%20the%20conserved%20PEWY%20sequence%20in%20the%20EF%20loop%20of%20subunit%20IV%20into%20PWYE.%20The%20pwye%20mutant%20did%20not%20grow%20in%20phototrophic%20conditions%20although%20it%20assembled%20wild-type%20levels%20of%20cytochrome%20b6f%20complexes.%20We%20demonstrated%20a%20complete%20block%20in%20electron%20transfer%20through%20the%20cytochrome%20b6f%20complex%20and%20a%20loss%20of%20plastoquinol%20binding%20at%20Qo.%20The%20accumulation%20of%20cytochrome%20b6f%20complexes%20lacking%20affinity%20for%20plastoquinol%20enabled%20us%20to%20investigate%20the%20role%20of%20plastoquinol%20binding%20at%20Qo%20in%20the%20activation%20of%20the%20light-harvesting%20complex%20II%20%28LHCII%29%20kinase%20during%20state%20transitions.%20We%20detected%20no%20fluorescence%20quenching%20at%20room%20temperature%20in%20state%20II%20conditions%20relative%20to%20that%20in%20state%20I.%20The%20quantum%20yield%20spectrum%20of%20photosystem%20I%20charge%20separation%20in%20the%20two%20state%20conditions%20displayed%20a%20trough%20in%20the%20absorption%20region%20of%20the%20major%20chlorophyll%20a%5C%2Fb%20proteins%2C%20demonstrating%20that%20the%20cells%20remained%20locked%20in%20state%20I.%2033Pi%20labeling%20of%20the%20phosphoproteins%20in%20vivo%20demonstrated%20that%20the%20antenna%20proteins%20remained%20poorly%20phosphorylated%20in%20both%20state%20conditions.%20Thus%2C%20the%20absence%20of%20state%20transitions%20in%20the%20pwye%20mutant%20demonstrates%20directly%20that%20plastoquinol%20binding%20in%20the%20Qo%20pocket%20is%20required%20for%20LHCII%20kinase%20activation.%22%2C%22date%22%3A%22Jun%2001%2C%201999%22%2C%22section%22%3A%22%22%2C%22partNumber%22%3A%22%22%2C%22partTitle%22%3A%22%22%2C%22DOI%22%3A%2210.1093%5C%2Femboj%5C%2F18.11.2961%22%2C%22citationKey%22%3A%22%22%2C%22url%22%3A%22%22%2C%22PMID%22%3A%2210357809%22%2C%22PMCID%22%3A%22PMC1171378%22%2C%22ISSN%22%3A%220261-4189%22%2C%22language%22%3A%22eng%22%2C%22collections%22%3A%5B%2263TU6NVS%22%5D%2C%22dateModified%22%3A%222020-05-27T11%3A04%3A04Z%22%7D%7D%5D%7D
Kareya, M.S., Royes, J., Angius, F., Szczepaniak, F., Boldrin, F., Hamon, M., Talbot, P., Ilioaia, O., Madigou, C., Tribet, C., Dehez, F., Waltz, F., Zito, F., Miroux, B., 2026. F1F0-ATP-synthase subunit b head-to-head interactions shape intracellular membranes in Escherichia coli. https://doi.org/10.64898/2026.03.03.708934
Riché, A., Dumas, L., Malesinski, S., Bossan, G., Madigou, C., Zito, F., Alric, J., 2024. The stromal side of the cytochrome b6f complex regulates state transitions. Plant Cell koae190. https://doi.org/10.1093/plcell/koae190
Royes, J., Talbot, P., Le Bon, C., Moncoq, K., Uzan, M., Zito, F., Miroux, B., 2022. Membrane Protein Production in Escherichia coli: Protocols and Rules. Methods Mol Biol 2507, 19–39. https://doi.org/10.1007/978-1-0716-2368-8_2
Robescu, M.S., Rubini, R., Beneventi, E., Tavanti, M., Lonigro, C., Zito, F., Filippini, F., Cendron, L., Bergantino, E., 2020. From the Amelioration of a NADP+-dependent Formate Dehydrogenase to the Discovery of a New Enzyme: Round Trip from Theory to Practice. ChemCatChem 12, 2478–2487. https://doi.org/10.1002/cctc.201902089
Romoli, O., Mukherjee, S., Mohid, S.A., Dutta, A., Montali, A., Franzolin, E., Brady, D., Zito, F., Bergantino, E., Rampazzo, C., Tettamanti, G., Bhunia, A., Sandrelli, F., 2019. Enhanced Silkworm Cecropin B Antimicrobial Activity against Pseudomonas aeruginosa from Single Amino Acid Variation. ACS Infect Dis 5, 1200–1213. https://doi.org/10.1021/acsinfecdis.9b00042
Angius, F., Ilioaia, O., Amrani, A., Suisse, A., Rosset, L., Legrand, A., Abou-Hamdan, A., Uzan, M., Zito, F., Miroux, B., 2018. A novel regulation mechanism of the T7 RNA polymerase based expression system improves overproduction and folding of membrane proteins. Sci Rep 8, 8572. https://doi.org/10.1038/s41598-018-26668-y
Dumas, L., Zito, F., Auroy, P., Johnson, X., Peltier, G., Alric, J., 2018. Structure-function analysis of chloroplast proteins via random mutagenesis using error-prone PCR. Plant Physiology 177, 465–475. https://doi.org/10.1104/pp.17.01618
Dumas, L., Zito, F., Blangy, S., Auroy, P., Johnson, X., Peltier, G., Alric, J., 2017. A stromal region of cytochrome b6f subunit IV is involved in the activation of the Stt7 kinase in Chlamydomonas. PNAS 201713343. https://doi.org/10.1073/pnas.1713343114
Zito, F., 2016. Silent or Not Silent? Consequences of the Human mt-cyb Polymorphism. Hum. Mutat. 37, 833. https://doi.org/10.1002/humu.22885
Zito, F., Alric, J., 2016. Heme ci or cn of the Cytochrome b6f Complex, A Short Retrospective, in: Cytochrome Complexes: Evolution, Structures, Energy Transduction, and Signaling, Advances in Photosynthesis and Respiration. Springer, Dordrecht, pp. 295–306. https://doi.org/10.1007/978-94-017-7481-9_15
Arnold, A.A., Genard, B., Zito, F., Tremblay, R., Warschawski, D.E., Marcotte, I., 2015. Identification of lipid and saccharide constituents of whole microalgal cells by 13C solid-state NMR. Biochim. Biophys. Acta 1848, 369–377. https://doi.org/10.1016/j.bbamem.2014.07.017
Arnold, A.A., Genard, B., Silva, A.L.D.A.G.D., Tremblay, R., Warschawski, D.E., Zito, F., Marcotte, I., 2014. Screening the Dynamics of Membrane Constituents in Intact Microalgal Cells by Solid-State NMR. Biophysical Journal 106, 508a. https://doi.org/10.1016/j.bpj.2013.11.2842
Zoonens, M., Zito, F., Martinez, K.L., Popot, J.-L., 2014. Amphipols: A General Introduction and Some Protocols, in: Mus-Veteau, I. (Ed.), Membrane Proteins Production for Structural Analysis. Springer New York, pp. 173–203.
Santabarbara, S., Casazza, A.P., Ali, K., Economou, C.K., Wannathong, T., Zito, F., Redding, K.E., Rappaport, F., Purton, S., 2013. The requirement for carotenoids in the assembly and function of the photosynthetic complexes in Chlamydomonas reinhardtii. Plant Physiol. 161, 535–546. https://doi.org/10.1104/pp.112.205260
Bechara, C., Bolbach, G., Bazzaco, P., Sharma, K.S., Durand, G., Popot, J.-L., Zito, F., Sagan, S., 2012. MALDI-TOF mass spectrometry analysis of amphipol-trapped membrane proteins. Anal. Chem. 84, 6128–6135. https://doi.org/10.1021/ac301035r
Bazzacco, P., Billon-Denis, E., Sharma, K.S., Catoire, L.J., Mary, S., Le Bon, C., Point, E., Banères, J.-L., Durand, G., Zito, F., Pucci, B., Popot, J.-L., 2012. Nonionic homopolymeric amphipols: application to membrane protein folding, cell-free synthesis, and solution nuclear magnetic resonance. Biochemistry 51, 1416–1430. https://doi.org/10.1021/bi201862v
Park, K.-H., Billon-Denis, E., Dahmane, T., Lebaupain, F., Pucci, B., Breyton, C., Zito, F., 2011. In the cauldron of cell-free synthesis of membrane proteins: playing with new surfactants. N Biotechnol 28, 255–261. https://doi.org/10.1016/j.nbt.2010.08.008
Popot, J.-L., Althoff, T., Bagnard, D., Banères, J.-L., Bazzacco, P., Billon-Denis, E., Catoire, L.J., Champeil, P., Charvolin, D., Cocco, M.J., Crémel, G., Dahmane, T., de la Maza, L.M., Ebel, C., Gabel, F., Giusti, F., Gohon, Y., Goormaghtigh, E., Guittet, E., Kleinschmidt, J.H., Kühlbrandt, W., Le Bon, C., Martinez, K.L., Picard, M., Pucci, B., Sachs, J.N., Tribet, C., van Heijenoort, C., Wien, F., Zito, F., Zoonens, M., 2011. Amphipols from A to Z. Annu Rev Biophys 40, 379–408. https://doi.org/10.1146/annurev-biophys-042910-155219
de Lacroix de Lavalette, A., Barucq, L., Alric, J., Rappaport, F., Zito, F., 2009. Is the redox state of the ci heme of the cytochrome b6f complex dependent on the occupation and structure of the Qi site and vice versa? J. Biol. Chem. 284, 20822–20829. https://doi.org/10.1074/jbc.M109.016709
de Lacroix de Lavalette, A., Barbagallo, R.P., Zito, F., 2008. Why is it so difficult to construct Q(i) site mutants in Chlamydomonas reinhardtii? C. R. Biol. 331, 510–517. https://doi.org/10.1016/j.crvi.2008.04.003
de Lacroix de Lavalette, A., Finazzi, G., Zito, F., 2008. b6f-Associated chlorophyll: structural and dynamic contribution to the different cytochrome functions. Biochemistry 47, 5259–5265. https://doi.org/10.1021/bi800179b
Zoonens, M., Giusti, F., Zito, F., Popot, J.-L., 2007. Dynamics of membrane protein/amphipol association studied by Förster resonance energy transfer: implications for in vitro studies of amphipol-stabilized membrane proteins. Biochemistry 46, 10392–10404. https://doi.org/10.1021/bi7007596
Park, K.-H., Berrier, C., Lebaupain, F., Pucci, B., Popot, J.-L., Ghazi, A., Zito, F., 2007. Fluorinated and hemifluorinated surfactants as alternatives to detergents for membrane protein cell-free synthesis. Biochem. J. 403, 183–187. https://doi.org/10.1042/BJ20061473
Petkova, V., Benattar, J.-J., Zoonens, M., Zito, F., Popot, J.-L., Polidori, A., Jasseron, S., Pucci, B., 2007. Free-Standing Films of Fluorinated Surfactants as 2D Matrices for Organizing Detergent-Solubilized Membrane Proteins. Langmuir 23, 4303–4309. https://doi.org/10.1021/la063249o
de Vitry, C., Desbois, A., Redeker, V., Zito, F., Wollman, F.-A., 2004. Biochemical and spectroscopic characterization of the covalent binding of heme to cytochrome b6. Biochemistry 43, 3956–3968. https://doi.org/10.1021/bi036093p
Popot, J.-L., Berry, E.A., Charvolin, D., Creuzenet, C., Ebel, C., Engelman, D.M., Flötenmeyer, M., Giusti, F., Gohon, Y., Hong, Q., Lakey, J.H., Leonard, K., Shuman, H.A., Timmins, P., Warschawski, D.E., Zito, F., Zoonens, M., Pucci, B., Tribet, C., 2003. Amphipols: polymeric surfactants for membrane biology research. Cell. Mol. Life Sci. 60, 1559–1574.
Choquet, Y., Zito, F., Wostrikoff, K., Wollman, F.-A., 2003. Cytochrome f translation in Chlamydomonas chloroplast is autoregulated by its carboxyl-terminal domain. Plant Cell 15, 1443–1454. https://doi.org/10.1105/tpc.011692
Pierre, Y., Chabaud, E., Hervé, P., Zito, F., Popot, J.-L., 2003. Site-directed photochemical coupling of cytochrome b6f-associated chlorophyll. Biochemistry 42, 1031–1041. https://doi.org/10.1021/bi026934c
Chaudier, Y., Zito, F., Barthélémy, P., Stroebel, D., Améduri, B., Popot, J.-L., Pucci, B., 2002. Synthesis and preliminary biochemical assessment of ethyl-terminated perfluoroalkylamine oxide surfactants. Bioorg. Med. Chem. Lett. 12, 1587–1590. https://doi.org/10.1016/s0960-894x(02)00242-1
Zito, F., Vinh, J., Popot, J.-L., Finazzi, G., 2002. Chimeric fusions of subunit IV and PetL in the b6f complex of Chlamydomonas reinhardtii: structural implications and consequences on state transitions. J. Biol. Chem. 277, 12446–12455. https://doi.org/10.1074/jbc.M110914200
Finazzi, G., Rappaport, F., Furia, A., Fleischmann, M., Rochaix, J.-D., Zito, F., Forti, G., 2002. Involvement of state transitions in the switch between linear and cyclic electron flow in Chlamydomonas reinhardtii. EMBO Rep. 3, 280–285. https://doi.org/10.1093/embo-reports/kvf047
Choquet, Y., Wostrikoff, K., Rimbault, B., Zito, F., Girard-Bascou, J., Drapier, D., Wollman, F.A., 2001. Assembly-controlled regulation of chloroplast gene translation. Biochem. Soc. Trans. 29, 421–426. https://doi.org/10.1042/bst0290421
Finazzi, G., Zito, F., Barbagallo, R.P., Wollman, F.A., 2001. Contrasted effects of inhibitors of cytochrome b6f complex on state transitions in Chlamydomonas reinhardtii: the role of Qo site occupancy in LHCII kinase activation. J. Biol. Chem. 276, 9770–9774. https://doi.org/10.1074/jbc.M010092200
Zito, F., Finazzi, G., Delosme, R., Nitschke, W., Picot, D., Wollman, F.A., 1999. The Qo site of cytochrome b6f complexes controls the activation of the LHCII kinase. EMBO J. 18, 2961–2969. https://doi.org/10.1093/emboj/18.11.2961